> Antigen, Antibodies, ELISA, Western Blot > Primary Antibody > Monoclonal Antibodies > CDw75 (B-Cell Marker) Antibody - Without BSA and AzideBrand |
Leading Biology | Catalog Number |
APR14462G |
Product Type |
Monoclonal Antibodies | Field of Research |
|
Product Overview |
We constantly strive to ensure we provide our customers with the best antibodies. As a result of this work we offer this antibody in purified format.
We are in the process of updating our datasheets. If you have any questions regarding this update, please feel free to contact our technical support team.
This product is a high quality CDw75 (B-Cell Marker) antibody - Without BSA and Azide.
|
||
Molecular Weight |
46kDa
|
||
Cellular Localization |
Antigen Cellular Localization:
Golgi apparatus, Golgi stack membrane; Single-pass type II membrane protein. Secreted. Note=Membrane- bound form in trans cisternae of Golgi. Secreted into the body fluid
|
||
Host |
Mouse
|
||
Species Reactivity |
Human
|
||
Clone |
LN-1
|
||
Isotype |
Mouse / IgM, kappa
|
||
Symbol |
SIAT1
|
||
GeneID |
|||
UniProt ID |
|||
Function |
Transfers sialic acid from CMP-sialic acid to galactose- containing acceptor substrates.
|
||
Summary |
Recognizes a neuraminidase-sensitive sialoprotein (CDw75), present on cell membrane and cytoplasm of germinal center B-cells and derived lymphomas. This MAb reacts with RBC precursors of bone marrow, ductal and ciliated epithelial cells of kidney, breast, prostate, pancreas, lung, and with glioblastomas, astrocytomas, and Reed Sternberg cells in lymphocyte predominant Hodgkin s disease. It is shown to be a helpful antibody for ascribing a B-cell phenotype in known lymphoid tissues.
|
||
Form |
Liquid |
||
Storage & Stability |
Store at +4°C short term. For long-term storage, aliquot and store at -20°C or below. Stable for 12 months at -20°C. Avoid repeated freeze-thaw cycles.
|
||
Applications |
IHC, IF, FC
|
||
Synonyms |
Beta-galactoside alpha-2, 6-sialyltransferase 1, Alpha 2, 6-ST 1, 2.4.99.1, B-cell antigen CD75, CMP-N-acetylneuraminate-beta-galactosamide-alpha-2, 6-sialyltransferase 1, ST6Gal I, ST6GalI, Sialyltransferase 1, ST6GAL1, SIAT1
|
||
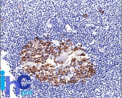
Images |
Formalin-fixed, paraffin-embedded normal human Spleen stained with CDw75 Monoclonal Antibody (LN-1).
Surface staining of human lymphocytes with CDw75 Monoclonal Antibody (LN-1) (red) and isotype control (green). PPI negative population analyzed. |
||
Specification |
|||
Quantity |
|
||
| Select | Brand | Catalog No. | Product Name | Pack Size | Type | Field of Research | Specification | Quantity | Price(USD) | |
| 1 | Leading Biology | APG02467G | CCK4 / PTK7 Antibody (clone 4F9) | 50 μl | Monoclonal Antibodies |
|
$495.00 | Add Ask | ||
| 2 | Leading Biology | AMM04683G | GALT Antibody (clone 4C11) | 50 μg | Monoclonal Antibodies |
|
$545.00 | Add Ask | ||
| 3 | Leading Biology | AMM01402G | Vimentin (Mesenchymal Cell Marker) Antibody - With BSA and Azide | 50 ug | Monoclonal Antibodies |
|
$395.00 | Add Ask | ||
| 4 | Leading Biology | APR08280G | LTA4H / LTA4 Antibody (clone 9G8) | 50 μl | Monoclonal Antibodies |
|
$495.00 | Add Ask | ||
| 5 | Leading Biology | AMM00172G | CD1a / HTA1 (Mature Langerhans Cells Marker) Antibody - With BSA and Azide | 50 ug | Monoclonal Antibodies |
|
$395.00 | Add Ask | ||
| 6 | Leading Biology | AMM05750G | CEBPA Antibody | 100 μl | Monoclonal Antibodies |
|
$545.00 | Add Ask |
Leading Biology Inc.
2600 Hilltop DR, Building G, B Suite C138
Richmond, CA, 94806
Tel: 1-661-524(LBI)-0262
Email: info@leadingbiology.com
Complete this form and click send to ask us a question, request a quote or simply say hello.

You have 0 item in your cart

You have 0 item in your inquiry list