> Antigen, Antibodies, ELISA, Western Blot > Primary Antibody > Monoclonal Antibodies > Sex Hormone Binding Globulin (SHBG) Antibody - Without BSA and AzideBrand |
Leading Biology | Catalog Number |
APG01271G |
Product Type |
Monoclonal Antibodies | Field of Research |
|
Product Overview |
We constantly strive to ensure we provide our customers with the best antibodies. As a result of this work we offer this antibody in purified format.
We are in the process of updating our datasheets. If you have any questions regarding this update, please feel free to contact our technical support team.
This product is a high quality Sex Hormone Binding Globulin (SHBG) antibody - Without BSA and Azide.
|
||
Molecular Weight |
45kDa
|
||
Cellular Localization |
Antigen Cellular Localization:
Secreted. Note=In testis, it is synthesized by the Sertoli cells, secreted into the lumen of the seminiferous tubule and transported to the epididymis
|
||
Host |
Mouse
|
||
Species Reactivity |
Human
|
||
Clone |
SPM605
|
||
Isotype |
Mouse / IgG1
|
||
GeneID |
|||
UniProt ID |
|||
Function |
Functions as an androgen transport protein, but may also be involved in receptor mediated processes. Each dimer binds one molecule of steroid. Specific for 5-alpha-dihydrotestosterone, testosterone, and 17-beta-estradiol. Regulates the plasma metabolic clearance rate of steroid hormones by controlling their plasma concentration.
|
||
Summary |
Recognizes a protein of 45kDa, identified as SHBG. It functions as an androgen transport protein, but may also be involved in receptor-mediated processes. Each dimer binds one molecule of steroid. It is specific for 5-alpha-dihydrotestosterone, testosterone, and 17-beta-estradiol. SHBG regulates the plasma metabolic clearance rate of steroid hormones by controlling their plasma concentration. In testis, it is synthesized by the Sertoli cells, secreted into the lumen of the seminiferous tubule and transported to the epididymis.
|
||
Form |
Liquid |
||
Storage & Stability |
Store at +4°C short term. For long-term storage, aliquot and store at -20°C or below. Stable for 12 months at -20°C. Avoid repeated freeze-thaw cycles.
|
||
Applications |
IHC, IF, FC
|
||
Synonyms |
Sex hormone-binding globulin, SHBG, Sex steroid-binding protein, SBP, Testis-specific androgen-binding protein, ABP, Testosterone-estradiol-binding globulin, TeBG, Testosterone-estrogen-binding globulin, SHBG
|
||
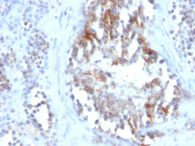
Images |
Formalin-fixed, paraffin-embedded human Testicular Carcinoma stained with SHBG Monoclonal Antibody (SPM605) |
||
Specification |
|||
Quantity |
|
||
| Select | Brand | Catalog No. | Product Name | Pack Size | Type | Field of Research | Specification | Quantity | Price(USD) | |
| 1 | Leading Biology | APG02467G | CCK4 / PTK7 Antibody (clone 4F9) | 50 μl | Monoclonal Antibodies |
|
$495.00 | Add Ask | ||
| 2 | Leading Biology | AMM04683G | GALT Antibody (clone 4C11) | 50 μg | Monoclonal Antibodies |
|
$545.00 | Add Ask | ||
| 3 | Leading Biology | AMM01402G | Vimentin (Mesenchymal Cell Marker) Antibody - With BSA and Azide | 50 ug | Monoclonal Antibodies |
|
$395.00 | Add Ask | ||
| 4 | Leading Biology | APR08280G | LTA4H / LTA4 Antibody (clone 9G8) | 50 μl | Monoclonal Antibodies |
|
$495.00 | Add Ask | ||
| 5 | Leading Biology | AMM00172G | CD1a / HTA1 (Mature Langerhans Cells Marker) Antibody - With BSA and Azide | 50 ug | Monoclonal Antibodies |
|
$395.00 | Add Ask | ||
| 6 | Leading Biology | AMM05750G | CEBPA Antibody | 100 μl | Monoclonal Antibodies |
|
$545.00 | Add Ask |
Leading Biology Inc.
2600 Hilltop DR, Building G, B Suite C138
Richmond, CA, 94806
Tel: 1-661-524(LBI)-0262
Email: info@leadingbiology.com
Complete this form and click send to ask us a question, request a quote or simply say hello.

You have 0 item in your cart

You have 0 item in your inquiry list