> Antigen, Antibodies, ELISA, Western Blot > Primary Antibody > Monoclonal Antibodies > GnRH-Receptor / LH-RH Receptor AntibodyBrand |
Leading Biology | Catalog Number |
APR11314G |
Product Type |
Monoclonal Antibodies | Field of Research |
|
Product Overview |
We constantly strive to ensure we provide our customers with the best antibodies. As a result of this work we offer this antibody in purified format.
We are in the process of updating our datasheets. If you have any questions regarding this update, please feel free to contact our technical support team.
This product is a high quality GnRH-Receptor / LH-RH Receptor antibody.
|
||
Molecular Weight |
54-60kDa
|
||
Cellular Localization |
Antigen Cellular Localization:
Cell membrane; Multi-pass membrane protein.
|
||
Host |
Mouse
|
||
Species Reactivity |
Human, Rat, Rabbit, Pig
|
||
Clone |
F1G4; same as GNRH03
|
||
Isotype |
Mouse / IgG1, kappa
|
||
Symbol |
GRHR
|
||
GeneID |
|||
UniProt ID |
|||
Function |
Receptor for gonadotropin releasing hormone (GnRH) that mediates the action of GnRH to stimulate the secretion of the gonadotropic hormones luteinizing hormone (LH) and follicle- stimulating hormone (FSH). This receptor mediates its action by association with G-proteins that activate a phosphatidylinositol- calcium second messenger system. Isoform 2 may act as an inhibitor of GnRH-R signaling.
|
||
Summary |
Recognizes an epitope on the extracellular domain of gonadotropin releasing hormone (GnRH) receptor or luteinizing hormone receptor (LHCGR). Lutropin (also designated luteinizing hormone) plays a role in spermatogenesis and ovulation by stimulating the testes and ovaries to produce steroids. Gonadotropin (also designated choriogonadotropin) production in the placenta maintains estrogen and progesterone levels during the first trimester of pregnancy. Ovaries and testes abundantly express luteinizing hormone/choriogonadotropin receptor. GnRH receptor contains seven hydrophobic transmembrane domains connected by hydrophilic extracellular and intracellular loops characteristic of G-protein coupled receptors. GnRH stimulates the gonadotrophs of the anterior pituitary to secrete luteinizing hormone (LH) as well as follicle-stimulating hormone (FSH). GnRH influences the protective effect of pregnancy and Gonadotropin against breast cancer. The expression of GnRH on breast carcinoma correlates in part to the degree of tumor differentiation. GnRH-positive breast tumors occur more frequently in tumors with greater cell differentiation in premenopausal women. GnRH is present in luteal and granulosa cells as well as in ovarian cell membrane preparations.
|
||
Form |
Liquid. In PBS containing 0.02% sodium azide. |
||
Storage & Stability |
Store at +4°C short term. For long-term storage, aliquot and store at -20°C or below. Stable for 12 months at -20°C. Avoid repeated freeze-thaw cycles.
|
||
Applications |
IHC, IF, FC
|
||
Synonyms |
Gonadotropin-releasing hormone receptor, GnRH receptor, GnRH-R, GNRHR, GRHR
|
||
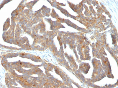
Images |
Formalin-fixed, paraffin-embedded human Ovarian Carcinoma stained with GnRH-Receptor Monoclonal Antibody (F1G4) |
||
Specification |
|||
Quantity |
|
||
| Select | Brand | Catalog No. | Product Name | Pack Size | Type | Field of Research | Specification | Quantity | Price(USD) | |
| 1 | Leading Biology | APG02467G | CCK4 / PTK7 Antibody (clone 4F9) | 50 μl | Monoclonal Antibodies |
|
$495.00 | Add Ask | ||
| 2 | Leading Biology | AMM04683G | GALT Antibody (clone 4C11) | 50 μg | Monoclonal Antibodies |
|
$545.00 | Add Ask | ||
| 3 | Leading Biology | AMM01402G | Vimentin (Mesenchymal Cell Marker) Antibody - With BSA and Azide | 50 ug | Monoclonal Antibodies |
|
$395.00 | Add Ask | ||
| 4 | Leading Biology | APR08280G | LTA4H / LTA4 Antibody (clone 9G8) | 50 μl | Monoclonal Antibodies |
|
$495.00 | Add Ask | ||
| 5 | Leading Biology | AMM00172G | CD1a / HTA1 (Mature Langerhans Cells Marker) Antibody - With BSA and Azide | 50 ug | Monoclonal Antibodies |
|
$395.00 | Add Ask | ||
| 6 | Leading Biology | AMM05750G | CEBPA Antibody | 100 μl | Monoclonal Antibodies |
|
$545.00 | Add Ask |
Leading Biology Inc.
2600 Hilltop DR, Building G, B Suite C138
Richmond, CA, 94806
Tel: 1-661-524(LBI)-0262
Email: info@leadingbiology.com
Complete this form and click send to ask us a question, request a quote or simply say hello.

You have 0 item in your cart

You have 0 item in your inquiry list