> Antigen, Antibodies, ELISA, Western Blot > Primary Antibody > Monoclonal Antibodies > GLG1 (Golgi Glycoprotein 1) (Marker for Human Cells) AntibodyBrand |
Leading Biology | Catalog Number |
APR14649G |
Product Type |
Monoclonal Antibodies | Field of Research |
|
Product Overview |
We constantly strive to ensure we provide our customers with the best antibodies. As a result of this work we offer this antibody in purified format.
We are in the process of updating our datasheets. If you have any questions regarding this update, please feel free to contact our technical support team.
This product is a high quality GLG1 (Golgi Glycoprotein 1) (Marker for Human Cells) antibody.
|
||
Molecular Weight |
134kDa
|
||
Cellular Localization |
Antigen Cellular Localization:
Golgi apparatus membrane; Single-pass type I membrane protein
|
||
Host |
Mouse
|
||
Species Reactivity |
Human
|
||
Clone |
GLG1/970
|
||
Isotype |
Mouse / IgG1, kappa
|
||
Symbol |
CFR1, ESL1, MG160
|
||
GeneID |
|||
UniProt ID |
|||
Function |
Binds fibroblast growth factor and E-selectin (cell- adhesion lectin on endothelial cells mediating the binding of neutrophils).
|
||
Summary |
This MAb recognizes a protein of 134kDa, which binds fibroblast growth factor and E-selectin (cell-adhesion lectin on endothelial cells mediating the binding of neutrophils). Fucosylation is essential for binding to E-selectin. It contains sialic acid residues and 16 Cys-rich GLG1 repeats. This MAb can be used to stain the Golgi complex in cell or tissue preparations and can be used as a Golgi marker in subcellular fractions. It produces a diffuse staining pattern of the Golgi zone in normal and malignant cells. This MAb is an excellent marker for human cells in xenographic model research. It reacts specifically with human cells. The Golgi apparatus is an organelle present in all eukaryotic cells that forms a part of the endomembrane system. The primary function of the Golgi apparatus is to process and package macromolecules synthesized by the cell for exocytosis or use within the cell. The Golgi is made up of a stack of flattened, membrane-bound sacs known as cisternae, with three functional regions: the cis face, medial region and trans face. Each region consists of various enzymes that selectively modify the macromolecules passing though them, depending on where they are destined to reside. Several spherical vesicles that have budded off of the Golgi are present surrounding the main cisternae. The Golgi tends to be more pronounced and numerous in cells that make and secrete many substances such as plasma B cells.
|
||
Form |
Liquid. In PBS containing 0.02% sodium azide. |
||
Storage & Stability |
Store at +4°C short term. For long-term storage, aliquot and store at -20°C or below. Stable for 12 months at -20°C. Avoid repeated freeze-thaw cycles.
|
||
Applications |
WB, IHC, IF, FC, ICC
|
||
Synonyms |
Golgi apparatus protein 1, CFR-1, Cysteine-rich fibroblast growth factor receptor, E-selectin ligand 1, ESL-1, Golgi sialoglycoprotein MG-160, GLG1, CFR1, ESL1, MG160
|
||
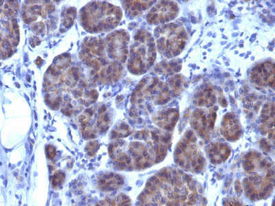
Images |
Formalin-fixed, paraffin-embedded human Pancreas stained with GLG1 Monoclonal Antibody (GLG1/970). |
||
Specification |
|||
Quantity |
|
||
| Select | Brand | Catalog No. | Product Name | Pack Size | Type | Field of Research | Specification | Quantity | Price(USD) | |
| 1 | Leading Biology | APG02467G | CCK4 / PTK7 Antibody (clone 4F9) | 50 μl | Monoclonal Antibodies |
|
$495.00 | Add Ask | ||
| 2 | Leading Biology | AMM04683G | GALT Antibody (clone 4C11) | 50 μg | Monoclonal Antibodies |
|
$545.00 | Add Ask | ||
| 3 | Leading Biology | AMM01402G | Vimentin (Mesenchymal Cell Marker) Antibody - With BSA and Azide | 50 ug | Monoclonal Antibodies |
|
$395.00 | Add Ask | ||
| 4 | Leading Biology | APR08280G | LTA4H / LTA4 Antibody (clone 9G8) | 50 μl | Monoclonal Antibodies |
|
$495.00 | Add Ask | ||
| 5 | Leading Biology | AMM00172G | CD1a / HTA1 (Mature Langerhans Cells Marker) Antibody - With BSA and Azide | 50 ug | Monoclonal Antibodies |
|
$395.00 | Add Ask | ||
| 6 | Leading Biology | AMM05750G | CEBPA Antibody | 100 μl | Monoclonal Antibodies |
|
$545.00 | Add Ask |
Leading Biology Inc.
2600 Hilltop DR, Building G, B Suite C138
Richmond, CA, 94806
Tel: 1-661-524(LBI)-0262
Email: info@leadingbiology.com
Complete this form and click send to ask us a question, request a quote or simply say hello.

You have 0 item in your cart

You have 0 item in your inquiry list