> Antigen, Antibodies, ELISA, Western Blot > Primary Antibody > Monoclonal Antibodies > BLK AntibodyBrand |
Leading Biology | Catalog Number |
AMM05617G |
Product Type |
Monoclonal Antibodies | Field of Research |
|
Product Overview |
We constantly strive to ensure we provide our customers with the best antibodies. As a result of this work we offer this antibody in purified format.
We are in the process of updating our datasheets. If you have any questions regarding this update, please feel free to contact our technical support team.
This product is a high quality BLK antibody.
|
||
Molecular Weight |
57706 Da
|
||
Cellular Localization |
Antigen Cellular Localization:
Cell membrane; Lipid-anchor. Note=Present and active in lipid rafts. Membrane location is required for the phosphorylation of CD79A and CD79B (By similarity).
|
||
Host |
Mouse
|
||
Species Reactivity |
Human
|
||
Clone |
9D10B7H6; 9D10A8F8
|
||
Isotype |
IgG1
|
||
GeneID |
|||
UniProt ID |
|||
Function |
Non-receptor tyrosine kinase involved in B-lymphocyte development, differentiation and signaling. B-cell receptor (BCR) signaling requires a tight regulation of several protein tyrosine kinases and phosphatases, and associated coreceptors. Binding of antigen to the B-cell antigen receptor (BCR) triggers signaling that ultimately leads to B-cell activation. Signaling through BLK plays an important role in transmitting signals through surface immunoglobulins and supports the pro-B to pre-B transition, as well as the signaling for growth arrest and apoptosis downstream of B-cell receptor. Specifically binds and phosphorylates CD79A at 'Tyr-188'and 'Tyr-199', as well as CD79B at 'Tyr-196' and 'Tyr- 207'. Phosphorylates also the immunoglobulin G receptors FCGR2A, FCGR2B and FCGR2C. With FYN and LYN, plays an essential role in pre-B-cell receptor (pre-BCR)-mediated NF-kappa-B activation. Contributes also to BTK activation by indirectly stimulating BTK intramolecular autophosphorylation. In pancreatic islets, acts as a modulator of beta-cells function through the up-regulation of PDX1 and NKX6-1 and consequent stimulation of insulin secretion in response to glucose.
|
||
Form |
Liquid. In PBS containing 0.02% sodium azide. |
||
Storage & Stability |
Store at +4°C short term. For long-term storage, aliquot and store at -20°C or below. Stable for 12 months at -20°C. Avoid repeated freeze-thaw cycles.
|
||
Applications |
WB, IHC, E
|
||
Dilution |
WB~~1/500 - 1/2000
IHC~~1/200 - 1/1000
|
||
Synonyms |
Tyrosine-protein kinase Blk, 2.7.10.2, B lymphocyte kinase, p55-Blk, BLK
|
||
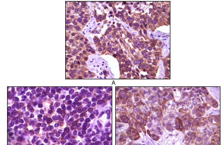
Images |
Figure 1: Western blot analysis using BLK mouse mAb against truncated BLK recombinant protein.
Figure 2: Immunohistochemical analysis of paraffin-embedded human lung carcinoma (A), lymph tissue (B) and skin carcinoma (C), showing membrane localization using BLK mouse mAb with DAB staining. |
||
Specification |
|||
Quantity |
|
||
| Select | Brand | Catalog No. | Product Name | Pack Size | Type | Field of Research | Specification | Quantity | Price(USD) | |
| 1 | Leading Biology | APG02467G | CCK4 / PTK7 Antibody (clone 4F9) | 50 μl | Monoclonal Antibodies |
|
$495.00 | Add Ask | ||
| 2 | Leading Biology | AMM04683G | GALT Antibody (clone 4C11) | 50 μg | Monoclonal Antibodies |
|
$545.00 | Add Ask | ||
| 3 | Leading Biology | AMM01402G | Vimentin (Mesenchymal Cell Marker) Antibody - With BSA and Azide | 50 ug | Monoclonal Antibodies |
|
$395.00 | Add Ask | ||
| 4 | Leading Biology | APR08280G | LTA4H / LTA4 Antibody (clone 9G8) | 50 μl | Monoclonal Antibodies |
|
$495.00 | Add Ask | ||
| 5 | Leading Biology | AMM00172G | CD1a / HTA1 (Mature Langerhans Cells Marker) Antibody - With BSA and Azide | 50 ug | Monoclonal Antibodies |
|
$395.00 | Add Ask | ||
| 6 | Leading Biology | AMM05750G | CEBPA Antibody | 100 μl | Monoclonal Antibodies |
|
$545.00 | Add Ask |
Leading Biology Inc.
2600 Hilltop DR, Building G, B Suite C138
Richmond, CA, 94806
Tel: 1-661-524(LBI)-0262
Email: info@leadingbiology.com
Complete this form and click send to ask us a question, request a quote or simply say hello.

You have 0 item in your cart

You have 0 item in your inquiry list