> Antigen, Antibodies, ELISA, Western Blot > Primary Antibody > Monoclonal Antibodies > CK1 AntibodyBrand |
Leading Biology | Catalog Number |
APR11588G |
Product Type |
Monoclonal Antibodies | Field of Research |
|
Product Overview |
We constantly strive to ensure we provide our customers with the best antibodies. As a result of this work we offer this antibody in purified format.
We are in the process of updating our datasheets. If you have any questions regarding this update, please feel free to contact our technical support team.
This product is a high quality CK1 antibody.
|
||
Molecular Weight |
66039 Da
|
||
Cellular Localization |
Antigen Cellular Localization:
Cell membrane. Note=Located on plasma membrane of neuroblastoma NMB7 cells
|
||
Host |
Mouse
|
||
Species Reactivity |
Human
|
||
Clone |
3C10F7; 3C10G5; PMC01; 4D12B3; 3C10F7C11
|
||
Isotype |
IgG1
|
||
Symbol |
KRTA
|
||
GeneID |
|||
UniProt ID |
|||
Function |
May regulate the activity of kinases such as PKC and SRC via binding to integrin beta-1 (ITB1) and the receptor of activated protein kinase C (RACK1/GNB2L1). In complex with C1QBP is a high affinity receptor for kininogen-1/HMWK.
|
||
Form |
Liquid. In PBS containing 0.02% sodium azide. |
||
Storage & Stability |
Store at +4°C short term. For long-term storage, aliquot and store at -20°C or below. Stable for 12 months at -20°C. Avoid repeated freeze-thaw cycles.
|
||
Applications |
WB, IHC, E
|
||
Dilution |
WB~~1/500 - 1/2000
IHC~~1/200 - 1/1000
|
||
Synonyms |
Keratin, type II cytoskeletal 1, 67 kDa cytokeratin, Cytokeratin-1, CK-1, Hair alpha protein, Keratin-1, K1, Type-II keratin Kb1, KRT1, KRTA
|
||
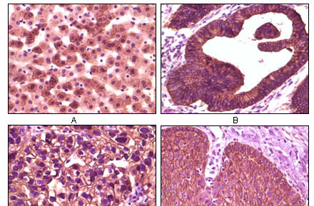
Images |
Figure 1: Western blot analysis using CK1 mouse mAb against truncated CK1 recombinant protein.
Figure 2: Immunohistochemical analysis of paraffin-embedded human liver tissue (A), colon carcinoma (B), lung carcinoma (C) and esophagus tissue (D), showing membrane localization using CK1 mouse mAb with DAB staining. |
||
Specification |
|||
Quantity |
|
||
| Select | Brand | Catalog No. | Product Name | Pack Size | Type | Field of Research | Specification | Quantity | Price(USD) | |
| 1 | Leading Biology | APG02467G | CCK4 / PTK7 Antibody (clone 4F9) | 50 μl | Monoclonal Antibodies |
|
$495.00 | Add Ask | ||
| 2 | Leading Biology | AMM04683G | GALT Antibody (clone 4C11) | 50 μg | Monoclonal Antibodies |
|
$545.00 | Add Ask | ||
| 3 | Leading Biology | AMM01402G | Vimentin (Mesenchymal Cell Marker) Antibody - With BSA and Azide | 50 ug | Monoclonal Antibodies |
|
$395.00 | Add Ask | ||
| 4 | Leading Biology | APR08280G | LTA4H / LTA4 Antibody (clone 9G8) | 50 μl | Monoclonal Antibodies |
|
$495.00 | Add Ask | ||
| 5 | Leading Biology | AMM00172G | CD1a / HTA1 (Mature Langerhans Cells Marker) Antibody - With BSA and Azide | 50 ug | Monoclonal Antibodies |
|
$395.00 | Add Ask | ||
| 6 | Leading Biology | AMM05750G | CEBPA Antibody | 100 μl | Monoclonal Antibodies |
|
$545.00 | Add Ask |
Leading Biology Inc.
2600 Hilltop DR, Building G, B Suite C138
Richmond, CA, 94806
Tel: 1-661-524(LBI)-0262
Email: info@leadingbiology.com
Complete this form and click send to ask us a question, request a quote or simply say hello.

You have 0 item in your cart

You have 0 item in your inquiry list