> Antigen, Antibodies, ELISA, Western Blot > Primary Antibody > Monoclonal Antibodies > KSHV ORF26 AntibodyBrand |
Leading Biology | Catalog Number |
APR08112G |
Product Type |
Monoclonal Antibodies | Field of Research |
|
Product Overview |
We constantly strive to ensure we provide our customers with the best antibodies. As a result of this work we offer this antibody in purified format.
We are in the process of updating our datasheets. If you have any questions regarding this update, please feel free to contact our technical support team.
This product is a high quality KSHV ORF26 antibody.
|
||
Molecular Weight |
34373 Da
|
||
Cellular Localization |
Antigen Cellular Localization:
Virion. Host nucleus
|
||
Host |
Mouse
|
||
Species Reactivity |
Human
|
||
Clone |
2F6B8
|
||
Isotype |
IgG1
|
||
GeneID |
|||
UniProt ID |
|||
Function |
Structural component of the T=16 icosahedral capsid. The capsid is composed of pentamers and hexamers of the major capsid protein, which are linked together by heterotrimers called triplex. These triplex are formed by a single molecule of VP19C and two copies of VP23 which bridge major capsid protein multimers together. Triplexes occupy the local threeflod positions between capsid hexamers and pentamers. Additionally, VP19C is required for efficient transport of VP23 to the nucleus, which is the site of capsid assembly (By similarity).
|
||
Form |
Liquid. In PBS containing 0.02% sodium azide. |
||
Storage & Stability |
Store at +4°C short term. For long-term storage, aliquot and store at -20°C or below. Stable for 12 months at -20°C. Avoid repeated freeze-thaw cycles.
|
||
Applications |
WB, E
|
||
Dilution |
WB~~1/500 - 1/2000
IHC~~1:200~~1000
IF~~1:200~1000.
|
||
Synonyms |
Triplex capsid protein VP23 homolog, ORF26
|
||
Images |
Figure 1: Western blot analysis using KSHV ORF26 mouse mAb against TPA induced BCBL-1 cell lysate.
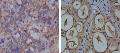
Figure 2: Immunohistochemical analysis of paraffin-embedded human breast carcinoma (left) and kidney carcinoma (right), showing cytoplasmic localization using GAPDH mouse mAb with DAB staining.
Figure 3: Confocal immunofluorescence analysis of methanol-fixed HepG2 (left) and Hela (right) cells using anti-GAPDH mAb (green), showing cytoplasmic localization. Blue: DRAQ5 fluorescent DNA dye. |
||
Specification |
|||
Quantity |
|
||
| Select | Brand | Catalog No. | Product Name | Pack Size | Type | Field of Research | Specification | Quantity | Price(USD) | |
| 1 | Leading Biology | APG02467G | CCK4 / PTK7 Antibody (clone 4F9) | 50 μl | Monoclonal Antibodies |
|
$495.00 | Add Ask | ||
| 2 | Leading Biology | AMM04683G | GALT Antibody (clone 4C11) | 50 μg | Monoclonal Antibodies |
|
$545.00 | Add Ask | ||
| 3 | Leading Biology | AMM01402G | Vimentin (Mesenchymal Cell Marker) Antibody - With BSA and Azide | 50 ug | Monoclonal Antibodies |
|
$395.00 | Add Ask | ||
| 4 | Leading Biology | APR08280G | LTA4H / LTA4 Antibody (clone 9G8) | 50 μl | Monoclonal Antibodies |
|
$495.00 | Add Ask | ||
| 5 | Leading Biology | AMM00172G | CD1a / HTA1 (Mature Langerhans Cells Marker) Antibody - With BSA and Azide | 50 ug | Monoclonal Antibodies |
|
$395.00 | Add Ask | ||
| 6 | Leading Biology | AMM05750G | CEBPA Antibody | 100 μl | Monoclonal Antibodies |
|
$545.00 | Add Ask |
Leading Biology Inc.
2600 Hilltop DR, Building G, B Suite C138
Richmond, CA, 94806
Tel: 1-661-524(LBI)-0262
Email: info@leadingbiology.com
Complete this form and click send to ask us a question, request a quote or simply say hello.

You have 0 item in your cart

You have 0 item in your inquiry list