> Antigen, Antibodies, ELISA, Western Blot > Primary Antibody > Monoclonal Antibodies > ACHE Antibody (C-term)Brand |
Leading Biology | Catalog Number |
APG03116G |
Product Type |
Monoclonal Antibodies | Field of Research |
|
Product Overview |
We constantly strive to ensure we provide our customers with the best antibodies. As a result of this work we offer this antibody in purified format.
We are in the process of updating our datasheets. If you have any questions regarding this update, please feel free to contact our technical support team.
This product is a high quality ACHE antibody (C-term).
|
||
Molecular Weight |
67796 Da
|
||
Cellular Localization |
Antigen Cellular Localization:
Cell junction, synapse Secreted. Cell membrane; Peripheral membrane protein Isoform H: Cell membrane; Lipid-anchor, GPI-anchor; Extracellular side
|
||
Host |
Mouse
|
||
Species Reactivity |
Human, Mouse, Rat, African Green Monkey
|
||
Immunogen |
587-611 aa
|
||
Target |
This ACHE antibody is generated from mouse immunized with a KLH conjugated synthetic peptide between 587-611 amino acids from the C-terminal region of human ACHE.
|
||
Clone |
684CT8.3.4
|
||
Isotype |
IgG1
|
||
GeneID |
|||
UniProt ID |
|||
Function |
Terminates signal transduction at the neuromuscular junction by rapid hydrolysis of the acetylcholine released into the synaptic cleft. Role in neuronal apoptosis.
|
||
Summary |
Terminates signal transduction at the neuromuscular junction by rapid hydrolysis of the acetylcholine released into the synaptic cleft. Role in neuronal apoptosis.
|
||
Form |
Purified monoclonal antibody supplied in PBS with 0.09% (W/V) sodium azide. This antibody is purified through a protein G column, followed by dialysis against PBS. |
||
Storage & Stability |
Store at +4°C short term. For long-term storage, aliquot and store at -20°C or below. Stable for 12 months at -20°C. Avoid repeated freeze-thaw cycles.
|
||
Applications |
WB, E
|
||
Dilution |
WB~~1:2000
|
||
Synonyms |
Acetylcholinesterase, AChE, ACHE
|
||
Images |
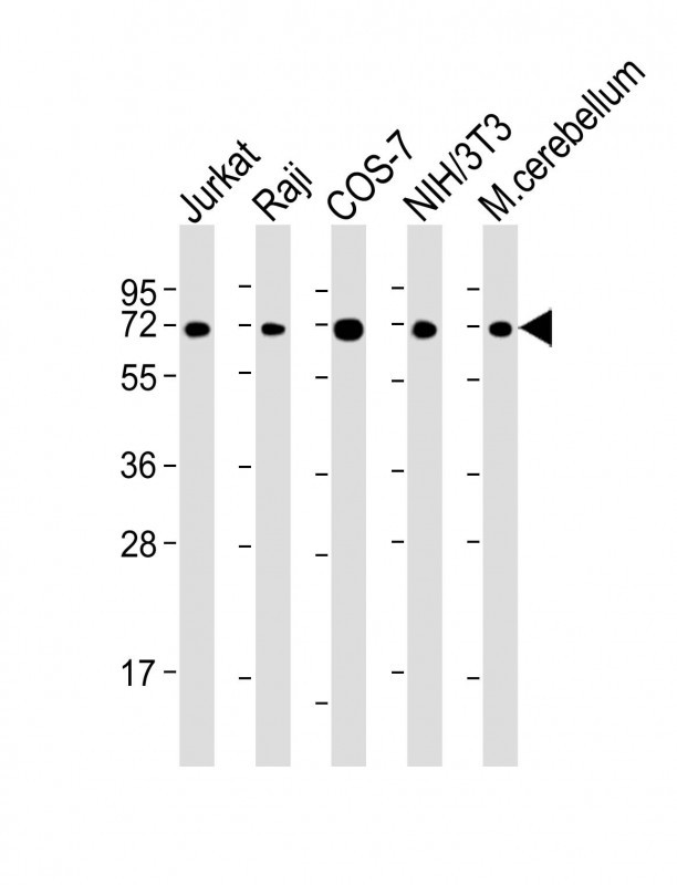
All lanes : Anti-ACHE Antibody (C-term) at 1:2000 dilution Lane 1: Jurkat whole cell lysate Lane 2: Raji whole cell lysate Lane 3: COS-7 whole cell lysate Lane 4: NIH/3T3 whole cell lysate Lane 5: mouse cerebellum lysate Lysates/proteins at 20 μg per lane. Secondary Goat Anti-mouse IgG, (H+L), Peroxidase conjugated at 1/10000 dilution. Predicted band size : 68 kDa Blocking/Dilution buffer: 5% NFDM/TBST.
ACHE Antibody (C-term) (Cat. APG03116G) western blot analysis in Raji,Jurkat,COS7,mouse NIH/3T3 cell line and mouse cerebellum,rat cerebellum tissue lysates (35μg/lane).This demonstrates the ACHE antibody detected the ACHE protein (arrow). |
||
Specification |
|||
Quantity |
|
||
| Select | Brand | Catalog No. | Product Name | Pack Size | Type | Field of Research | Specification | Quantity | Price(USD) | |
| 1 | Leading Biology | APG02467G | CCK4 / PTK7 Antibody (clone 4F9) | 50 μl | Monoclonal Antibodies |
|
$495.00 | Add Ask | ||
| 2 | Leading Biology | AMM04683G | GALT Antibody (clone 4C11) | 50 μg | Monoclonal Antibodies |
|
$545.00 | Add Ask | ||
| 3 | Leading Biology | AMM01402G | Vimentin (Mesenchymal Cell Marker) Antibody - With BSA and Azide | 50 ug | Monoclonal Antibodies |
|
$395.00 | Add Ask | ||
| 4 | Leading Biology | APR08280G | LTA4H / LTA4 Antibody (clone 9G8) | 50 μl | Monoclonal Antibodies |
|
$495.00 | Add Ask | ||
| 5 | Leading Biology | AMM00172G | CD1a / HTA1 (Mature Langerhans Cells Marker) Antibody - With BSA and Azide | 50 ug | Monoclonal Antibodies |
|
$395.00 | Add Ask | ||
| 6 | Leading Biology | AMM05750G | CEBPA Antibody | 100 μl | Monoclonal Antibodies |
|
$545.00 | Add Ask |
Leading Biology Inc.
2600 Hilltop DR, Building G, B Suite C138
Richmond, CA, 94806
Tel: 1-661-524(LBI)-0262
Email: info@leadingbiology.com
Complete this form and click send to ask us a question, request a quote or simply say hello.

You have 0 item in your cart

You have 0 item in your inquiry list