> Antigen, Antibodies, ELISA, Western Blot > Primary Antibody > Monoclonal Antibodies > Stat-2 AntibodyBrand |
Leading Biology | Catalog Number |
AMM08013G |
Product Type |
Monoclonal Antibodies | Field of Research |
|
Product Overview |
We constantly strive to ensure we provide our customers with the best antibodies. As a result of this work we offer this antibody in purified format.
We are in the process of updating our datasheets. If you have any questions regarding this update, please feel free to contact our technical support team.
This product is a high quality Stat-2 antibody.
|
||
Molecular Weight |
97916 Da
|
||
Cellular Localization |
Antigen Cellular Localization:
Cytoplasm. Nucleus. Note=Translocated into the nucleus upon activation by IFN-alpha/beta
|
||
Host |
Rabbit
|
||
Species Reactivity |
Human, Rat
|
||
Target |
A synthetic peptide corresponding to residues near N-terminus of human Stat-2 was used as immunogen. This antibody detects both long and short forms of Stat-2.
|
||
Clone |
Y141
|
||
GeneID |
|||
UniProt ID |
|||
Function |
Signal transducer and activator of transcription that mediates signaling by type I IFNs (IFN-alpha and IFN-beta). Following type I IFN binding to cell surface receptors, Jak kinases (TYK2 and JAK1) are activated, leading to tyrosine phosphorylation of STAT1 and STAT2. The phosphorylated STATs dimerize, associate with IRF9/ISGF3G to form a complex termed ISGF3 transcription factor, that enters the nucleus. ISGF3 binds to the IFN stimulated response element (ISRE) to activate the transcription of interferon stimulated genes, which drive the cell in an antiviral state.
|
||
Summary |
Stat-2 is a latent transcription factor that functions both as a signal transducer in the cytoplasm and an activator of transcription in the nucleus. Stat-2 is one of seven members of the Signal transducer and activators of transcription (Stats) family. Stat-2 is phosphorylated at Tyr690 by JAKs(1-3). Additionally, upon activation, Stat-2 will form a multiprotein DNA-binding complex with Stat-1 and ISGF3γp48 (4). This activation subsequently allows the complex to translocate to the nucleus & bind specific enhancer elements.
|
||
Form |
50 mM Tris-Glycine (pH 7.4), 0.15 M NaCl, 40% Glycerol, 0.01% sodium azide and 0.05% BSA. |
||
Storage & Stability |
Store at +4°C short term. For long-term storage, aliquot and store at -20°C or below. Stable for 12 months at -20°C. Avoid repeated freeze-thaw cycles.
|
||
Applications |
WB, IHC
|
||
Dilution |
WB~~1:500
IHC~~1:100~250
|
||
Synonyms |
Signal transducer and activator of transcription 2, p113, STAT2
|
||
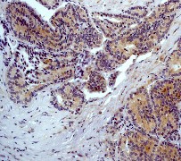
Images |
A. Western blot analysis on K562 cell lysate using anti-Stat-2 RabMAb (Cat. AMM08013G), dilution 1:500.
B. Immunohistochemical analysis of paraffin-embedded human thyroid cancer using anti-Stat-2 RabMAb (Cat. AMM08013G). |
||
Specification |
|||
Quantity |
|
||
| Select | Brand | Catalog No. | Product Name | Pack Size | Type | Field of Research | Specification | Quantity | Price(USD) | |
| 1 | Leading Biology | APG02467G | CCK4 / PTK7 Antibody (clone 4F9) | 50 μl | Monoclonal Antibodies |
|
$495.00 | Add Ask | ||
| 2 | Leading Biology | AMM04683G | GALT Antibody (clone 4C11) | 50 μg | Monoclonal Antibodies |
|
$545.00 | Add Ask | ||
| 3 | Leading Biology | AMM01402G | Vimentin (Mesenchymal Cell Marker) Antibody - With BSA and Azide | 50 ug | Monoclonal Antibodies |
|
$395.00 | Add Ask | ||
| 4 | Leading Biology | APR08280G | LTA4H / LTA4 Antibody (clone 9G8) | 50 μl | Monoclonal Antibodies |
|
$495.00 | Add Ask | ||
| 5 | Leading Biology | AMM00172G | CD1a / HTA1 (Mature Langerhans Cells Marker) Antibody - With BSA and Azide | 50 ug | Monoclonal Antibodies |
|
$395.00 | Add Ask | ||
| 6 | Leading Biology | AMM05750G | CEBPA Antibody | 100 μl | Monoclonal Antibodies |
|
$545.00 | Add Ask |
Leading Biology Inc.
2600 Hilltop DR, Building G, B Suite C138
Richmond, CA, 94806
Tel: 1-661-524(LBI)-0262
Email: info@leadingbiology.com
Complete this form and click send to ask us a question, request a quote or simply say hello.

You have 0 item in your cart

You have 0 item in your inquiry list