> Antigen, Antibodies, ELISA, Western Blot > Primary Antibody > Monoclonal Antibodies > PKA, RII Antibody (C-term)Brand |
Leading Biology | Catalog Number |
AMR09297G |
Product Type |
Monoclonal Antibodies | Field of Research |
|
Product Overview |
We constantly strive to ensure we provide our customers with the best antibodies. As a result of this work we offer this antibody in purified format.
We are in the process of updating our datasheets. If you have any questions regarding this update, please feel free to contact our technical support team.
This product is a high quality PKA, RII antibody (C-term).
|
||
Molecular Weight |
45518 Da
|
||
Cellular Localization |
Antigen Cellular Localization:
Cytoplasm. Cell membrane. Note=Colocalizes with PJA2 in the cytoplasm and the cell membrane
|
||
Host |
Rabbit
|
||
Species Reactivity |
Human, Mouse
|
||
Target |
A synthetic peptide corresponding to residues in the C-terminus of human cAMP-dependent protein kinase type II-alpha regulatory subunit was used as immunogen. The antibody does not cross-react with other cAMP-dependent kinase.
|
||
Clone |
Y116
|
||
Symbol |
PKR2, PRKAR2
|
||
GeneID |
|||
UniProt ID |
|||
Function |
Regulatory subunit of the cAMP-dependent protein kinases involved in cAMP signaling in cells. Type II regulatory chains mediate membrane association by binding to anchoring proteins, including the MAP2 kinase.
|
||
Summary |
PKA (or cAPK) is a cyclic AMP-dependent protein kinase. When activated by the second messenger cAMP, PKA mediates diverse cellular mechanisms, including proliferation, ion transport, regulation of metabolism, and gene transcription (1,2). PKA is comprised of two dimers of two subunits, R (regulatory) and C (catalytic). Two families of R subunits (RI and RII) have been identified, each possessing distinct cAMP binding properties and resulting in different phosphorylation states (2,3).
|
||
Form |
50 mM Tris-Glycine (pH 7.4), 0.15 M NaCl, 40% Glycerol, 0.01% sodium azide and 0.05% BSA. |
||
Storage & Stability |
Store at +4°C short term. For long-term storage, aliquot and store at -20°C or below. Stable for 12 months at -20°C. Avoid repeated freeze-thaw cycles.
|
||
Applications |
WB, IHC, IF
|
||
Dilution |
WB~~1:500~1000
IHC~~1:100~250
|
||
Synonyms |
cAMP-dependent protein kinase type II-alpha regulatory subunit, PRKAR2A, PKR2, PRKAR2
|
||
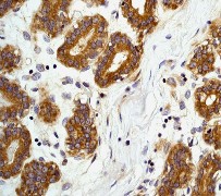
Images |
A. Western blot analysis on K562 cell lysate using anti- PKA RII (C-term) RabMAb (Cat. AMR09297G), dilution 50,000
B. Immunohistochemical analysis of paraffin-embedded human normal breast tissue using anti-PKA RII (C-term) RabMAb (Cat. AMR09297G).
C. Immunofluorescent staining of HeLa cells using anti-PKA RII (C-term) RabMAb (Cat. AMR09297G). |
||
Specification |
|||
Quantity |
|
||
| Select | Brand | Catalog No. | Product Name | Pack Size | Type | Field of Research | Specification | Quantity | Price(USD) | |
| 1 | Leading Biology | APG02467G | CCK4 / PTK7 Antibody (clone 4F9) | 50 μl | Monoclonal Antibodies |
|
$495.00 | Add Ask | ||
| 2 | Leading Biology | AMM04683G | GALT Antibody (clone 4C11) | 50 μg | Monoclonal Antibodies |
|
$545.00 | Add Ask | ||
| 3 | Leading Biology | AMM01402G | Vimentin (Mesenchymal Cell Marker) Antibody - With BSA and Azide | 50 ug | Monoclonal Antibodies |
|
$395.00 | Add Ask | ||
| 4 | Leading Biology | APR08280G | LTA4H / LTA4 Antibody (clone 9G8) | 50 μl | Monoclonal Antibodies |
|
$495.00 | Add Ask | ||
| 5 | Leading Biology | AMM00172G | CD1a / HTA1 (Mature Langerhans Cells Marker) Antibody - With BSA and Azide | 50 ug | Monoclonal Antibodies |
|
$395.00 | Add Ask | ||
| 6 | Leading Biology | AMM05750G | CEBPA Antibody | 100 μl | Monoclonal Antibodies |
|
$545.00 | Add Ask |
Leading Biology Inc.
2600 Hilltop DR, Building G, B Suite C138
Richmond, CA, 94806
Tel: 1-661-524(LBI)-0262
Email: info@leadingbiology.com
Complete this form and click send to ask us a question, request a quote or simply say hello.

You have 0 item in your cart

You have 0 item in your inquiry list