> Antigen, Antibodies, ELISA, Western Blot > Primary Antibody > Monoclonal Antibodies > p190-B RhoGAP AntibodyBrand |
Leading Biology | Catalog Number |
APR17708G |
Product Type |
Monoclonal Antibodies | Field of Research |
|
Product Overview |
We constantly strive to ensure we provide our customers with the best antibodies. As a result of this work we offer this antibody in purified format.
We are in the process of updating our datasheets. If you have any questions regarding this update, please feel free to contact our technical support team.
This product is a high quality p190-B RhoGAP antibody.
|
||
Molecular Weight |
172460 Da
|
||
Cellular Localization |
Antigen Cellular Localization:
Cytoplasm. Membrane; Peripheral membrane protein. Note=Also membrane-associated when found in fibrillar patterns that colocalize with the alpha5-beta1 integrin receptor (ITGA5/ITGB1) for fibronectin
|
||
Host |
Rabbit
|
||
Species Reactivity |
Human, Mouse, Rat
|
||
Target |
A synthetic peptide corresponding to residues in human p190-B RhoGAP was used as immunogen.
|
||
Clone |
EP489Y
|
||
Symbol |
RHOGAP5
|
||
GeneID |
|||
UniProt ID |
|||
Function |
GTPase-activating protein for Rho family members. May play a role in the reduction of the p21rasGTPase-activating potential of RASA1/p120GAP.
|
||
Summary |
The p190 Rho GTPase activating protein RhoGAP) family includes two closely related proteins, p190-A and p190-B. p190-B contains an N-terminal GTPase domain and a C-terminal Rho-GAP domain (1). p190-B can be directly phosphorylated on a single identified tyrosine residue by the activated insulin and IGF-1 receptors. This phosphorylation causes p190-B to translocate to the lipid rafts of the plasma membrane, where it can facilitate the inactivation of the Rho GTPase. P190-B also has been shown to be tyrosine phosphorylated by c-Src and v-Src. Additionall; the GAP domain of p190-B as shown to attenuate signal-transducing activity of Rac, Rho and CDC42 (2-3).
|
||
Form |
50 mM Tris-Glycine (pH 7.4), 0.15 M NaCl, 40% Glycerol, 0.01% sodium azide and 0.05% BSA. |
||
Storage & Stability |
Store at +4°C short term. For long-term storage, aliquot and store at -20°C or below. Stable for 12 months at -20°C. Avoid repeated freeze-thaw cycles.
|
||
Applications |
WB, IHC
|
||
Dilution |
WB~~1:500
IHC~~1:100~250
|
||
Synonyms |
Rho GTPase-activating protein 5, Rho-type GTPase-activating protein 5, p190-B, ARHGAP5, RHOGAP5
|
||
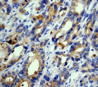
Images |
A. Western blot analysis of anti-p190-B RhoGAP RabMAb (Cat. APR17708G) 1:500 dilution A-Hela B-Jurkat C-MCF-7 D-K562 E-A431 F-293 G-NIH 3T3 H-PC12
B. Immunohistochemical analysis of paraffin-embedded human stomach carcinoma using anti-p190-B RhoGAP RabMAb (Cat. APR17708G). |
||
Specification |
|||
Quantity |
|
||
| Select | Brand | Catalog No. | Product Name | Pack Size | Type | Field of Research | Specification | Quantity | Price(USD) | |
| 1 | Leading Biology | APG02467G | CCK4 / PTK7 Antibody (clone 4F9) | 50 μl | Monoclonal Antibodies |
|
$495.00 | Add Ask | ||
| 2 | Leading Biology | AMM04683G | GALT Antibody (clone 4C11) | 50 μg | Monoclonal Antibodies |
|
$545.00 | Add Ask | ||
| 3 | Leading Biology | AMM01402G | Vimentin (Mesenchymal Cell Marker) Antibody - With BSA and Azide | 50 ug | Monoclonal Antibodies |
|
$395.00 | Add Ask | ||
| 4 | Leading Biology | APR08280G | LTA4H / LTA4 Antibody (clone 9G8) | 50 μl | Monoclonal Antibodies |
|
$495.00 | Add Ask | ||
| 5 | Leading Biology | AMM00172G | CD1a / HTA1 (Mature Langerhans Cells Marker) Antibody - With BSA and Azide | 50 ug | Monoclonal Antibodies |
|
$395.00 | Add Ask | ||
| 6 | Leading Biology | AMM05750G | CEBPA Antibody | 100 μl | Monoclonal Antibodies |
|
$545.00 | Add Ask |
Leading Biology Inc.
2600 Hilltop DR, Building G, B Suite C138
Richmond, CA, 94806
Tel: 1-661-524(LBI)-0262
Email: info@leadingbiology.com
Complete this form and click send to ask us a question, request a quote or simply say hello.

You have 0 item in your cart

You have 0 item in your inquiry list