> Antigen, Antibodies, ELISA, Western Blot > Primary Antibody > Monoclonal Antibodies > NDUFAF1 AntibodyBrand |
Leading Biology | Catalog Number |
APR08657G |
Product Type |
Monoclonal Antibodies | Field of Research |
|
Product Overview |
We constantly strive to ensure we provide our customers with the best antibodies. As a result of this work we offer this antibody in purified format.
We are in the process of updating our datasheets. If you have any questions regarding this update, please feel free to contact our technical support team.
This product is a high quality NDUFAF1 antibody.
|
||
Molecular Weight |
37764 Da
|
||
Cellular Localization |
Antigen Cellular Localization:
Mitochondrion.
|
||
Host |
Rabbit
|
||
Species Reactivity |
Human, Mouse, Rat
|
||
Target |
A synthetic peptide corresponding to residues at the C terminus of human NDUFAF1 was used as an immunogen.
|
||
Clone |
EPR2796
|
||
Symbol |
CIA30
|
||
GeneID |
|||
UniProt ID |
|||
Function |
Chaperone protein involved in the assembly of the mitochondrial NADH:ubiquinone oxidoreductase complex (complex I).
|
||
Summary |
NDUFAF1 (CIA30) is a chaperone protein involved in the assembly of the mitochondrial NADH:ubiquinone oxidoreductase complex (complex 1) (1). Complex I is the largest multiprotein enzyme located in the inner mitochondrial membrane that catalyzes the transfer of electrons from NADH to coenzyme Q (CoQ). Little is known about the assembly process of the subunits into the mature complex, however, NDUFAF1 is one of two proteins found to be involved. NDUFAF1 expression is ubiquitous with a slightly higher expression in various heart tissues, kidney, lung and liver (2).
|
||
Form |
50 mM Tris-Glycine (pH 7.4), 0.15 M NaCl, 40% Glycerol, 0.01% sodium azide and 0.05% BSA. |
||
Storage & Stability |
Store at +4°C short term. For long-term storage, aliquot and store at -20°C or below. Stable for 12 months at -20°C. Avoid repeated freeze-thaw cycles.
|
||
Applications |
WB, IHC, IF
|
||
Dilution |
WB~~1:1000~2000
IHC~~1:100~250
|
||
Synonyms |
Complex I intermediate-associated protein 30, mitochondrial, NADH dehydrogenase [ubiquinone] 1 alpha subcomplex assembly factor 1, NDUFAF1, CIA30
|
||
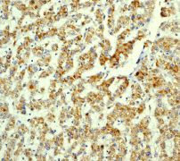
Images |
A. Western blot analysis on (A) HeLa, (B) Jurkat and (C) human heart lysates using anti-NDUFAF1 RabMAb (Cat. APR08657G).
B. Immunohistochemical analysis of paraffin-embedded human liver using anti-NDUFAF1 RabMAb (Cat. APR08657G).
C. Immunofluorescent staining of HeLa cells using anti-NDUFAF1 RabMAb (Cat. APR08657G). |
||
Specification |
|||
Quantity |
|
||
| Select | Brand | Catalog No. | Product Name | Pack Size | Type | Field of Research | Specification | Quantity | Price(USD) | |
| 1 | Leading Biology | APG02467G | CCK4 / PTK7 Antibody (clone 4F9) | 50 μl | Monoclonal Antibodies |
|
$495.00 | Add Ask | ||
| 2 | Leading Biology | AMM04683G | GALT Antibody (clone 4C11) | 50 μg | Monoclonal Antibodies |
|
$545.00 | Add Ask | ||
| 3 | Leading Biology | AMM01402G | Vimentin (Mesenchymal Cell Marker) Antibody - With BSA and Azide | 50 ug | Monoclonal Antibodies |
|
$395.00 | Add Ask | ||
| 4 | Leading Biology | APR08280G | LTA4H / LTA4 Antibody (clone 9G8) | 50 μl | Monoclonal Antibodies |
|
$495.00 | Add Ask | ||
| 5 | Leading Biology | AMM00172G | CD1a / HTA1 (Mature Langerhans Cells Marker) Antibody - With BSA and Azide | 50 ug | Monoclonal Antibodies |
|
$395.00 | Add Ask | ||
| 6 | Leading Biology | AMM05750G | CEBPA Antibody | 100 μl | Monoclonal Antibodies |
|
$545.00 | Add Ask |
Leading Biology Inc.
2600 Hilltop DR, Building G, B Suite C138
Richmond, CA, 94806
Tel: 1-661-524(LBI)-0262
Email: info@leadingbiology.com
Complete this form and click send to ask us a question, request a quote or simply say hello.

You have 0 item in your cart

You have 0 item in your inquiry list