> Antigen, Antibodies, ELISA, Western Blot > Primary Antibody > Monoclonal Antibodies > Na+/K+ ATPase AntibodyBrand |
Leading Biology | Catalog Number |
APR07138G |
Product Type |
Monoclonal Antibodies | Field of Research |
|
Product Overview |
We constantly strive to ensure we provide our customers with the best antibodies. As a result of this work we offer this antibody in purified format.
We are in the process of updating our datasheets. If you have any questions regarding this update, please feel free to contact our technical support team.
This product is a high quality Na+/K+ ATPase antibody.
|
||
Molecular Weight |
112896 Da
|
||
Cellular Localization |
Antigen Cellular Localization:
Cell membrane; Multi-pass membrane protein. Melanosome. Note=Identified by mass spectrometry in melanosome fractions from stage I to stage IV
|
||
Host |
Rabbit
|
||
Species Reactivity |
Human, Mouse, Rat
|
||
Target |
A synthetic peptide corresponding to residues near the N-terminus of human Na+/K+ ATPase α was used as an immungen.
|
||
Clone |
EP1845Y
|
||
GeneID |
|||
UniProt ID |
|||
Function |
This is the catalytic component of the active enzyme, which catalyzes the hydrolysis of ATP coupled with the exchange of sodium and potassium ions across the plasma membrane. This action creates the electrochemical gradient of sodium and potassium ions, providing the energy for active transport of various nutrients.
|
||
Summary |
Na+, K+-ATPase is a heterodimeric enzyme responsible for the active maintenance of sodium and potassium gradients across the plasma membrane (1). The sodium- and potassium-dependent adenosine triphosphatase (Na+,K(+)-ATPase) maintains the transmembrane Na+ gradient to which is coupled all active cellular transport systems (2). It is well accepted that inhibition of the Na,K-ATPase in the heart, through effects on the Na/Ca exchanger, raises the intracellular Ca2+ concentration and strengthens cardiac contraction. Assessing the phenotypes of mouse hearts with genetically reduced levels of Na,K-ATPase alpha 1 or alpha 2 isoforms clearly demonstrates different functional roles for these isoforms in vivo. Results definitively illustrate a specific role for the alpha 2 Na,K-ATPase isoform in Ca2+ signaling during cardiac contraction (3).
|
||
Form |
50 mM Tris-Glycine (pH 7.4), 0.15 M NaCl, 40% Glycerol, 0.01% sodium azide and 0.05% BSA. |
||
Storage & Stability |
Store at +4°C short term. For long-term storage, aliquot and store at -20°C or below. Stable for 12 months at -20°C. Avoid repeated freeze-thaw cycles.
|
||
Applications |
WB, IHC
|
||
Dilution |
WB~~1:10000~50000
IHC~~1:100~250
|
||
Synonyms |
Sodium/potassium-transporting ATPase subunit alpha-1, Na(+)/K(+) ATPase alpha-1 subunit, Sodium pump subunit alpha-1, ATP1A1
|
||
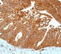
Images |
A. Western blot analysis on HeLa cell lysate using anti-Na+/K+ ATPase alpha RabMAb (Cat. APR07138G), dilution 1:20,000.
B. Immunohistochemical staining of paraffin-embedded human stomach carcinoma using anti- Na+/K+ ATPase alpha RabMAb |
||
Specification |
|||
Quantity |
|
||
| Select | Brand | Catalog No. | Product Name | Pack Size | Type | Field of Research | Specification | Quantity | Price(USD) | |
| 1 | Leading Biology | APG02467G | CCK4 / PTK7 Antibody (clone 4F9) | 50 μl | Monoclonal Antibodies |
|
$495.00 | Add Ask | ||
| 2 | Leading Biology | AMM04683G | GALT Antibody (clone 4C11) | 50 μg | Monoclonal Antibodies |
|
$545.00 | Add Ask | ||
| 3 | Leading Biology | AMM01402G | Vimentin (Mesenchymal Cell Marker) Antibody - With BSA and Azide | 50 ug | Monoclonal Antibodies |
|
$395.00 | Add Ask | ||
| 4 | Leading Biology | APR08280G | LTA4H / LTA4 Antibody (clone 9G8) | 50 μl | Monoclonal Antibodies |
|
$495.00 | Add Ask | ||
| 5 | Leading Biology | AMM00172G | CD1a / HTA1 (Mature Langerhans Cells Marker) Antibody - With BSA and Azide | 50 ug | Monoclonal Antibodies |
|
$395.00 | Add Ask | ||
| 6 | Leading Biology | AMM05750G | CEBPA Antibody | 100 μl | Monoclonal Antibodies |
|
$545.00 | Add Ask |
Leading Biology Inc.
2600 Hilltop DR, Building G, B Suite C138
Richmond, CA, 94806
Tel: 1-661-524(LBI)-0262
Email: info@leadingbiology.com
Complete this form and click send to ask us a question, request a quote or simply say hello.

You have 0 item in your cart

You have 0 item in your inquiry list