> Antigen, Antibodies, ELISA, Western Blot > Primary Antibody > Monoclonal Antibodies > LDH-B AntibodyBrand |
Leading Biology | Catalog Number |
APR08169G |
Product Type |
Monoclonal Antibodies | Field of Research |
|
Product Overview |
We constantly strive to ensure we provide our customers with the best antibodies. As a result of this work we offer this antibody in purified format.
We are in the process of updating our datasheets. If you have any questions regarding this update, please feel free to contact our technical support team.
This product is a high quality LDH-B antibody.
|
||
Molecular Weight |
36638 Da
|
||
Cellular Localization |
Antigen Cellular Localization:
Cytoplasm.
|
||
Host |
Rabbit
|
||
Species Reactivity |
Human
|
||
Target |
A synthetic peptide corresponding to residues near the N-terminus of human LDH-B was used as an immunogen.
|
||
Clone |
EP1565Y
|
||
GeneID |
|||
UniProt ID |
|||
Summary |
Lactate dehydrogenase (LDH) is an ubiquitous enzyme commonly found in wide variety of organisms, including plants and microbes. LDH is involved in the interconversion of the pyruvate and NADH to lactate and NAD+. It is also called Hydroxybutyrate Dehydrogenase (HBD), because it can catalyze the oxidation of hydroxybutyrate (1). In mammals, three types of LDH subunits (35 kDa) are encoded by the genes Ldh-A, Ldh-B, and Ldh-C. All LDH subunits can combine to form various terameric isoenzymes (140 kDa). Lactate dehydrogenase B (LDH-B, heart subunit, LDH-H) is involved in the conversion of L-lactate and NAD to pryruvate and NADH and it is predominantly localized in the heart tissue. Similar to other LDH subunit, LDH-B is considered to be an important marker for germ cell tumor (2).
|
||
Form |
50 mM Tris-Glycine (pH 7.4), 0.15 M NaCl, 40% Glycerol, 0.01% sodium azide and 0.05% BSA. |
||
Storage & Stability |
Store at +4°C short term. For long-term storage, aliquot and store at -20°C or below. Stable for 12 months at -20°C. Avoid repeated freeze-thaw cycles.
|
||
Applications |
WB, IHC
|
||
Dilution |
WB~~1:1000~10000
IHC~~1:100~250
|
||
Synonyms |
L-lactate dehydrogenase B chain, LDH-B, LDH heart subunit, LDH-H, Renal carcinoma antigen NY-REN-46, LDHB
|
||
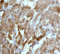
Images |
A. Western blot analysis on HeLa cell lysate using anti-LDH-B RabMAb (Cat. APR08169G).
B. Immunohistochemical staining of paraffin-embedded human heart muscle using anti-LDH-B RabMAb (Cat. APR08169G). |
||
Specification |
|||
Quantity |
|
||
| Select | Brand | Catalog No. | Product Name | Pack Size | Type | Field of Research | Specification | Quantity | Price(USD) | |
| 1 | Leading Biology | APG02467G | CCK4 / PTK7 Antibody (clone 4F9) | 50 μl | Monoclonal Antibodies |
|
$495.00 | Add Ask | ||
| 2 | Leading Biology | AMM04683G | GALT Antibody (clone 4C11) | 50 μg | Monoclonal Antibodies |
|
$545.00 | Add Ask | ||
| 3 | Leading Biology | AMM01402G | Vimentin (Mesenchymal Cell Marker) Antibody - With BSA and Azide | 50 ug | Monoclonal Antibodies |
|
$395.00 | Add Ask | ||
| 4 | Leading Biology | APR08280G | LTA4H / LTA4 Antibody (clone 9G8) | 50 μl | Monoclonal Antibodies |
|
$495.00 | Add Ask | ||
| 5 | Leading Biology | AMM00172G | CD1a / HTA1 (Mature Langerhans Cells Marker) Antibody - With BSA and Azide | 50 ug | Monoclonal Antibodies |
|
$395.00 | Add Ask | ||
| 6 | Leading Biology | AMM05750G | CEBPA Antibody | 100 μl | Monoclonal Antibodies |
|
$545.00 | Add Ask |
Leading Biology Inc.
2600 Hilltop DR, Building G, B Suite C138
Richmond, CA, 94806
Tel: 1-661-524(LBI)-0262
Email: info@leadingbiology.com
Complete this form and click send to ask us a question, request a quote or simply say hello.

You have 0 item in your cart

You have 0 item in your inquiry list