> Antigen, Antibodies, ELISA, Western Blot > Primary Antibody > Monoclonal Antibodies > CAD AntibodyBrand |
Leading Biology | Catalog Number |
APG02330G |
Product Type |
Monoclonal Antibodies | Field of Research |
|
Product Overview |
We constantly strive to ensure we provide our customers with the best antibodies. As a result of this work we offer this antibody in purified format.
We are in the process of updating our datasheets. If you have any questions regarding this update, please feel free to contact our technical support team.
This product is a high quality CAD antibody.
|
||
Molecular Weight |
242984 Da
|
||
Cellular Localization |
Antigen Cellular Localization:
Cytoplasm. Nucleus. Note=Cytosolic and unphosphorylated in resting cells, translocates to the nucleus in response to EGF stimulation, nuclear import promotes optimal cell growth
|
||
Host |
Rabbit
|
||
Species Reactivity |
Human
|
||
Target |
A synthetic peptide corresponding to residues near the C-terminus of humanCAD was used as immunogen.
|
||
Clone |
EP711Y
|
||
GeneID |
|||
UniProt ID |
|||
Function |
This protein is a "fusion" protein encoding four enzymatic activities of the pyrimidine pathway (GATase, CPSase, ATCase and DHOase).
|
||
Summary |
Carbamoyl phosphate synthetase-aspartate carbamoyltransferase-dihydroorotase (CAD) is a multifunctional protein that initiates and regulates mammalian de novo pyrimidine biosynthesis (1). This trifunctional protein which is associated with the enzymatic activities of the first 3 enzymes in the 6-step pathway of pyrimidine biosynthesis is the rate-limiting step in the de novo pyrimidine synthetic pathway (2). Although most of the CAD protein in the cell is cytosolic, phosphorylation at threonine 456 localizes the protein to the nucleus (3). While MAPK and EGF phosphorylate CAD at threonine 456, MAPK and c-myc have been found to induce over-expression of CAD (4-5).
|
||
Form |
50 mM Tris-Glycine (pH 7.4), 0.15 M NaCl, 40% Glycerol, 0.01% sodium azide and 0.05% BSA. |
||
Storage & Stability |
Store at +4°C short term. For long-term storage, aliquot and store at -20°C or below. Stable for 12 months at -20°C. Avoid repeated freeze-thaw cycles.
|
||
Applications |
WB, IHC
|
||
Dilution |
WB~~1:1000~10000
IHC~~1:100~250
|
||
Synonyms |
CAD protein, Glutamine-dependent carbamoyl-phosphate synthase, Aspartate carbamoyltransferase, Dihydroorotase, CAD
|
||
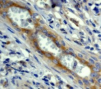
Images |
A. Western blot analysis on 293 cell lysate using anti-CAD RabMAb (Cat. APG02330G).
B. Immunohistochemical analysis of paraffin-embedded human breast carcinoma using anti-CAD RabMAb (Cat. APG02330G). |
||
Specification |
|||
Quantity |
|
||
| Select | Brand | Catalog No. | Product Name | Pack Size | Type | Field of Research | Specification | Quantity | Price(USD) | |
| 1 | Leading Biology | APG02467G | CCK4 / PTK7 Antibody (clone 4F9) | 50 μl | Monoclonal Antibodies |
|
$495.00 | Add Ask | ||
| 2 | Leading Biology | AMM04683G | GALT Antibody (clone 4C11) | 50 μg | Monoclonal Antibodies |
|
$545.00 | Add Ask | ||
| 3 | Leading Biology | AMM01402G | Vimentin (Mesenchymal Cell Marker) Antibody - With BSA and Azide | 50 ug | Monoclonal Antibodies |
|
$395.00 | Add Ask | ||
| 4 | Leading Biology | APR08280G | LTA4H / LTA4 Antibody (clone 9G8) | 50 μl | Monoclonal Antibodies |
|
$495.00 | Add Ask | ||
| 5 | Leading Biology | AMM00172G | CD1a / HTA1 (Mature Langerhans Cells Marker) Antibody - With BSA and Azide | 50 ug | Monoclonal Antibodies |
|
$395.00 | Add Ask | ||
| 6 | Leading Biology | AMM05750G | CEBPA Antibody | 100 μl | Monoclonal Antibodies |
|
$545.00 | Add Ask |
Leading Biology Inc.
2600 Hilltop DR, Building G, B Suite C138
Richmond, CA, 94806
Tel: 1-661-524(LBI)-0262
Email: info@leadingbiology.com
Complete this form and click send to ask us a question, request a quote or simply say hello.

You have 0 item in your cart

You have 0 item in your inquiry list