> Antigen, Antibodies, ELISA, Western Blot > Primary Antibody > Monoclonal Antibodies > C1q Antibody (subunit C)Brand |
Leading Biology | Catalog Number |
AMM05650G |
Product Type |
Monoclonal Antibodies | Field of Research |
|
Product Overview |
We constantly strive to ensure we provide our customers with the best antibodies. As a result of this work we offer this antibody in purified format.
We are in the process of updating our datasheets. If you have any questions regarding this update, please feel free to contact our technical support team.
This product is a high quality C1q antibody (subunit C).
|
||
Molecular Weight |
25774 Da
|
||
Cellular Localization |
Antigen Cellular Localization:
Secreted.
|
||
Host |
Rabbit
|
||
Species Reactivity |
Human
|
||
Target |
A synthetic peptide corresponding to residues in human C1q (subunit C) was used as an immunogen.
|
||
Clone |
EPR2983
|
||
Symbol |
C1QG
|
||
GeneID |
|||
UniProt ID |
|||
Function |
C1q associates with the proenzymes C1r and C1s to yield C1, the first component of the serum complement system. The collagen-like regions of C1q interact with the Ca(2+)-dependent C1r(2)C1s(2) proenzyme complex, and efficient activation of C1 takes place on interaction of the globular heads of C1q with the Fc regions of IgG or IgM antibody present in immune complexes.
|
||
Summary |
The complement component C1 is a protein complex that consists of six subunits of C1q. Each C1q subunit of the complex is known to bind to immune complexes, which often are deposited in basement membrane. C1q consists of three different species of chains called A, B and C. It is a versatile recognition protein that triggers activation of the classical pathway of complement, where the first step involves the binding of the globular domain of Clq to the Fc regions of aggregated IgG or IgM. The C1q globular domain is a heterotrimer of the C-terminal halves of one A, one B, and one C chain, held together mainly by non-polar interactions, with a Ca2+ ion bound at the top. A modular organization has been suggested of the globular domain, consistent with the view that A, B, and C chains are functionally autonomous modules and have distinct and differential ligand-binding properties (1-3).
|
||
Form |
50 mM Tris-Glycine (pH 7.4), 0.15 M NaCl, 40% Glycerol, 0.01% sodium azide and 0.05% BSA. |
||
Storage & Stability |
Store at +4°C short term. For long-term storage, aliquot and store at -20°C or below. Stable for 12 months at -20°C. Avoid repeated freeze-thaw cycles.
|
||
Applications |
WB, IHC
|
||
Dilution |
WB~~1:2500~5000
IHC~~1:100~250
|
||
Synonyms |
Complement C1q subcomponent subunit C, C1QC, C1QG
|
||
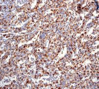
Images |
A. Western blot analysis on (A) human plasma, (B) human spleen and (C) fetal marrow lysates using anti-C1q (subunit C) RabMAb (Cat. AMM05650G), dilution 1:5000.
B.Immunohistochemical analysis of paraffin-embedded human spleen tissue using anti-Complement C1q RabMAb (Cat. AMM05650G). |
||
Specification |
|||
Quantity |
|
||
| Select | Brand | Catalog No. | Product Name | Pack Size | Type | Field of Research | Specification | Quantity | Price(USD) | |
| 1 | Leading Biology | APG02467G | CCK4 / PTK7 Antibody (clone 4F9) | 50 μl | Monoclonal Antibodies |
|
$495.00 | Add Ask | ||
| 2 | Leading Biology | AMM04683G | GALT Antibody (clone 4C11) | 50 μg | Monoclonal Antibodies |
|
$545.00 | Add Ask | ||
| 3 | Leading Biology | AMM01402G | Vimentin (Mesenchymal Cell Marker) Antibody - With BSA and Azide | 50 ug | Monoclonal Antibodies |
|
$395.00 | Add Ask | ||
| 4 | Leading Biology | APR08280G | LTA4H / LTA4 Antibody (clone 9G8) | 50 μl | Monoclonal Antibodies |
|
$495.00 | Add Ask | ||
| 5 | Leading Biology | AMM00172G | CD1a / HTA1 (Mature Langerhans Cells Marker) Antibody - With BSA and Azide | 50 ug | Monoclonal Antibodies |
|
$395.00 | Add Ask | ||
| 6 | Leading Biology | AMM05750G | CEBPA Antibody | 100 μl | Monoclonal Antibodies |
|
$545.00 | Add Ask |
Leading Biology Inc.
2600 Hilltop DR, Building G, B Suite C138
Richmond, CA, 94806
Tel: 1-661-524(LBI)-0262
Email: info@leadingbiology.com
Complete this form and click send to ask us a question, request a quote or simply say hello.

You have 0 item in your cart

You have 0 item in your inquiry list