> Antigen, Antibodies, ELISA, Western Blot > Primary Antibody > Monoclonal Antibodies > ABCG1 AntibodyBrand |
Leading Biology | Catalog Number |
APG01450G |
Product Type |
Monoclonal Antibodies | Field of Research |
|
Product Overview |
We constantly strive to ensure we provide our customers with the best antibodies. As a result of this work we offer this antibody in purified format.
We are in the process of updating our datasheets. If you have any questions regarding this update, please feel free to contact our technical support team.
This product is a high quality ABCG1 antibody.
|
||
Molecular Weight |
75592 Da
|
||
Cellular Localization |
Antigen Cellular Localization:
Mitochondrion. Endoplasmic reticulum membrane; Multi-pass membrane protein. Golgi apparatus membrane; Multi-pass membrane protein. Note=Predominantly localized in the intracellular compartments mainly associated with the endoplasmic reticulum (ER) and Golgi membranes
|
||
Host |
Rabbit
|
||
Species Reactivity |
Human, Mouse, Rat
|
||
Target |
A synthetic peptide corresponding to residues on human ABCG1 was used as an immunogen.
|
||
Clone |
EP1366Y
|
||
Symbol |
ABC8, WHT1
|
||
GeneID |
|||
UniProt ID |
|||
Function |
Transporter involved in macrophage lipid homeostasis. Is an active component of the macrophage lipid export complex. Could also be involved in intracellular lipid transport processes. The role in cellular lipid homeostasis may not be limited to macrophages.
|
||
Summary |
ATP-binding cassette (ABC) transporter ABCG1 (ABC8) is induced in monocyte-derived macrophages during cholesterol influx mediated by acetylated low-density lipoprotein. Conversely, lipid efflux in cholesterol-laden macrophages, mediated by the cholesterol acceptor HDL(3), suppresses the expression of ABCG1. Immunocytochemical and flow cytometric analyses revealed that ABCG1 is expressed on the cell surface and in intracellular compartments of cholesterol-laden macrophages. Results demonstrate a regulator function for ABCG1 in cholesterol and phospholipid transport define a biologic activity for ABC transporters in macrophages (1). ABC transporters belonging to the ABCG (White) subfamily (ABCG1, ABCG5, and ABCG8) have been shown to be critically involved in the regulation of lipid-trafficking mechanisms in macrophages, hepatocytes, and intestinal mucosa cells (2) Studies show that treatment with Rhodobacter sphaeroiders LPS, an LPS antagonist, or PD169316, a specific p38 MAP kinase inhibitor, prevented the induction of ABCA1 by LPS. Therefore, this suggests that both transport of LPS from the plasma membrane to an intracellular site and activation of p38 MAP kinase are involved in the LPS-mediated induction of ABCA1 (3).
|
||
Form |
50 mM Tris-Glycine (pH 7.4), 0.15 M NaCl, 40% Glycerol, 0.01% sodium azide and 0.05% BSA. |
||
Storage & Stability |
Store at +4°C short term. For long-term storage, aliquot and store at -20°C or below. Stable for 12 months at -20°C. Avoid repeated freeze-thaw cycles.
|
||
Applications |
WB, IHC
|
||
Dilution |
WB~~1:2000~10000
IHC~~1:50~100
|
||
Synonyms |
ATP-binding cassette sub-family G member 1, ATP-binding cassette transporter 8, White protein homolog, ABCG1, ABC8, WHT1
|
||
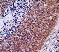
Images |
A. Western blot analysis on HUVEC cell lysate using anti-ABCG1 RabMAb (Cat. APG01450G), dilution 1:2000
B. Immunohistochemical staining of paraffin-embedded human cervical carcinoma using anti-ABCG1 RabMAb (Cat. APG01450G). |
||
Specification |
|||
Quantity |
|
||
| Select | Brand | Catalog No. | Product Name | Pack Size | Type | Field of Research | Specification | Quantity | Price(USD) | |
| 1 | Leading Biology | APG02467G | CCK4 / PTK7 Antibody (clone 4F9) | 50 μl | Monoclonal Antibodies |
|
$495.00 | Add Ask | ||
| 2 | Leading Biology | AMM04683G | GALT Antibody (clone 4C11) | 50 μg | Monoclonal Antibodies |
|
$545.00 | Add Ask | ||
| 3 | Leading Biology | AMM01402G | Vimentin (Mesenchymal Cell Marker) Antibody - With BSA and Azide | 50 ug | Monoclonal Antibodies |
|
$395.00 | Add Ask | ||
| 4 | Leading Biology | APR08280G | LTA4H / LTA4 Antibody (clone 9G8) | 50 μl | Monoclonal Antibodies |
|
$495.00 | Add Ask | ||
| 5 | Leading Biology | AMM00172G | CD1a / HTA1 (Mature Langerhans Cells Marker) Antibody - With BSA and Azide | 50 ug | Monoclonal Antibodies |
|
$395.00 | Add Ask | ||
| 6 | Leading Biology | AMM05750G | CEBPA Antibody | 100 μl | Monoclonal Antibodies |
|
$545.00 | Add Ask |
Leading Biology Inc.
2600 Hilltop DR, Building G, B Suite C138
Richmond, CA, 94806
Tel: 1-661-524(LBI)-0262
Email: info@leadingbiology.com
Complete this form and click send to ask us a question, request a quote or simply say hello.

You have 0 item in your cart

You have 0 item in your inquiry list