> Antigen, Antibodies, ELISA, Western Blot > Primary Antibody > Monoclonal Antibodies > 4E-BP1/2/3 Antibody Phospho (pT45)Brand |
Leading Biology | Catalog Number |
APG01384G |
Product Type |
Monoclonal Antibodies | Field of Research |
|
Product Overview |
We constantly strive to ensure we provide our customers with the best antibodies. As a result of this work we offer this antibody in purified format.
We are in the process of updating our datasheets. If you have any questions regarding this update, please feel free to contact our technical support team.
This product is a high quality 4E-BP1/2/3 antibody Phospho (pT45).
|
||
Molecular Weight |
12580 Da
|
||
Host |
Rabbit
|
||
Species Reactivity |
Human, Mouse
|
||
Target |
A phospho specific peptide corresponding to residues surrounding threonine 45 was used as an immunogen. This antibody detects 4E-BP1/2/3 phosophorylated at threonine 45.
|
||
Clone |
EPR2169Y
|
||
GeneID |
|||
UniProt ID |
|||
Function |
Regulates eIF4E activity by preventing its assembly into the eIF4F complex: hypophosphorylated form competes with EIF4G1/EIF4G3 and strongly binds to EIF4E, leading to repress translation. Mediates the regulation of protein translation by hormones, growth factors and other stimuli that signal through the MAP kinase and mTORC1 pathways.
|
||
Summary |
4E-BP1 (eIF4E-binding protein) also known as PHAS, is a 10-12 kDa acidic protein that compete with eIF4G for binding of eiF4E to the mRNA 5 cap structure (1). Binding of the 4E-BPs to eIF4E is reversible and is dependent on the phosphorylation status of 4E-BP. Non-phosphorylated 4E-BP1 will bind strongly to eiF4E while, the phosphorylated form will no (2)t. Akt, TOR, MAP kinase, S6 kinase, and Cdc2 are known kinases capable of inactivating 4E-BP1 binding to eIF4E by phosphorylating either threonines 35, 45, 69 or serine 64. Although, not all phosphorylation events equally block the 4EBP1-eIF4E interaction (3-4)
|
||
Form |
50 mM Tris-Glycine (pH 7.4), 0.15 M NaCl, 40% Glycerol, 0.01% sodium azide and 0.05% BSA. |
||
Storage & Stability |
Store at +4°C short term. For long-term storage, aliquot and store at -20°C or below. Stable for 12 months at -20°C. Avoid repeated freeze-thaw cycles.
|
||
Applications |
WB, IHC
|
||
Dilution |
WB~~1:500~1000
IHC~~1:50
|
||
Synonyms |
Eukaryotic translation initiation factor 4E-binding protein 1, 4E-BP1, eIF4E-binding protein 1, Phosphorylated heat- and acid-stable protein regulated by insulin 1, PHAS-I, EIF4EBP1
|
||
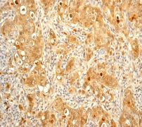
Images |
A. Western blot analysis on 293T cell lysates using anti-Phospho-4E-Bp1/2/3 (pT45) RabMAb (Cat. APG01384G), 1:10,000 dilution. Cells were either (A) untreated (B) treated with FBS.
B. Immunohistochemical analysis of paraffin-embedded human breast carcinoma using anti-4E-BPE1 RabMAb (Cat. APG01384G). |
||
Specification |
|||
Quantity |
|
||
| Select | Brand | Catalog No. | Product Name | Pack Size | Type | Field of Research | Specification | Quantity | Price(USD) | |
| 1 | Leading Biology | APG02467G | CCK4 / PTK7 Antibody (clone 4F9) | 50 μl | Monoclonal Antibodies |
|
$495.00 | Add Ask | ||
| 2 | Leading Biology | AMM04683G | GALT Antibody (clone 4C11) | 50 μg | Monoclonal Antibodies |
|
$545.00 | Add Ask | ||
| 3 | Leading Biology | AMM01402G | Vimentin (Mesenchymal Cell Marker) Antibody - With BSA and Azide | 50 ug | Monoclonal Antibodies |
|
$395.00 | Add Ask | ||
| 4 | Leading Biology | APR08280G | LTA4H / LTA4 Antibody (clone 9G8) | 50 μl | Monoclonal Antibodies |
|
$495.00 | Add Ask | ||
| 5 | Leading Biology | AMM00172G | CD1a / HTA1 (Mature Langerhans Cells Marker) Antibody - With BSA and Azide | 50 ug | Monoclonal Antibodies |
|
$395.00 | Add Ask | ||
| 6 | Leading Biology | AMM05750G | CEBPA Antibody | 100 μl | Monoclonal Antibodies |
|
$545.00 | Add Ask |
Leading Biology Inc.
2600 Hilltop DR, Building G, B Suite C138
Richmond, CA, 94806
Tel: 1-661-524(LBI)-0262
Email: info@leadingbiology.com
Complete this form and click send to ask us a question, request a quote or simply say hello.

You have 0 item in your cart

You have 0 item in your inquiry list