> Antigen, Antibodies, ELISA, Western Blot > Primary Antibody > Monoclonal Antibodies > YWHAB Antibody (N-term)Brand |
Leading Biology | Catalog Number |
APR13980G |
Product Type |
Monoclonal Antibodies | Field of Research |
|
Product Overview |
We constantly strive to ensure we provide our customers with the best antibodies. As a result of this work we offer this antibody in purified format.
We are in the process of updating our datasheets. If you have any questions regarding this update, please feel free to contact our technical support team.
This product is a high quality YWHAB antibody (N-term).
|
||
Molecular Weight |
28082 Da
|
||
Cellular Localization |
Antigen Cellular Localization:
Cytoplasm. Melanosome. Note=Identified by mass spectrometry in melanosome fractions from stage I to stage IV
|
||
Host |
Rabbit
|
||
Species Reactivity |
Human, Mouse, Rat
|
||
Target |
A synthetic peptide corresponding to residues near N-terminus of human 14-3-3 beta/alpha was used as immunogen. Predicted to cross-react with sheep and bovine, based on sequence homology.
|
||
Clone |
E58
|
||
GeneID |
|||
UniProt ID |
|||
Function |
Adapter protein implicated in the regulation of a large spectrum of both general and specialized signaling pathways. Binds to a large number of partners, usually by recognition of a phosphoserine or phosphothreonine motif. Binding generally results in the modulation of the activity of the binding partner. Negative regulator of osteogenesis. Blocks the nuclear translocation of the phosphorylated form (by AKT1) of SRPK2 and antagonizes its stimulatory effect on cyclin D1 expression resulting in blockage of neuronal apoptosis elicited by SRPK2.
|
||
Summary |
The 14-3-3 proteins are a family of proteins involved in the regulation of apoptosis, mitogenic signaling and cell-cycle checkpoints (1). The 14-3-3 proteins are thought to be key regulators of signal transduction events mediated through their binding to serine-phosphorylated proteins (2,3). Through binding Bad, 14-3-3 prevents apoptosis by sequestering Bad to the cytosol (3)
|
||
Form |
50 mM Tris-Glycine (pH 7.4), 0.15 M NaCl, 40% Glycerol, 0.01% sodium azide and 0.05% BSA. |
||
Storage & Stability |
Store at +4°C short term. For long-term storage, aliquot and store at -20°C or below. Stable for 12 months at -20°C. Avoid repeated freeze-thaw cycles.
|
||
Applications |
WB, IHC, FC
|
||
Dilution |
WB~~1:1000
IHC~~1:250
FC~~1:50
|
||
Synonyms |
14-3-3 protein beta/alpha, Protein 1054, Protein kinase C inhibitor protein 1, KCIP-1, 14-3-3 protein beta/alpha, N-terminally processed, YWHAB
|
||
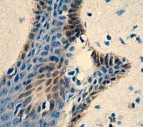
Images |
A. Western blot analysis of HeLa cell lysate probed with anti-14-3-3 b/a RabMab (Cat. APR13980G).
B. Immunohistochemical analysis of human skin using anti-14-3-3 b/a RabMab (Cat. APR13980G).
C. Flow cytometric analysis of permeabilized HeLa cells using anti-14-3-3 b/a RabMAb (red) (Cat. APR13980G) or a rabbit IgG (negative) (green). |
||
Specification |
|||
Quantity |
|
||
| Select | Brand | Catalog No. | Product Name | Pack Size | Type | Field of Research | Specification | Quantity | Price(USD) | |
| 1 | Leading Biology | APG02467G | CCK4 / PTK7 Antibody (clone 4F9) | 50 μl | Monoclonal Antibodies |
|
$495.00 | Add Ask | ||
| 2 | Leading Biology | AMM04683G | GALT Antibody (clone 4C11) | 50 μg | Monoclonal Antibodies |
|
$545.00 | Add Ask | ||
| 3 | Leading Biology | AMM01402G | Vimentin (Mesenchymal Cell Marker) Antibody - With BSA and Azide | 50 ug | Monoclonal Antibodies |
|
$395.00 | Add Ask | ||
| 4 | Leading Biology | APR08280G | LTA4H / LTA4 Antibody (clone 9G8) | 50 μl | Monoclonal Antibodies |
|
$495.00 | Add Ask | ||
| 5 | Leading Biology | AMM00172G | CD1a / HTA1 (Mature Langerhans Cells Marker) Antibody - With BSA and Azide | 50 ug | Monoclonal Antibodies |
|
$395.00 | Add Ask | ||
| 6 | Leading Biology | AMM05750G | CEBPA Antibody | 100 μl | Monoclonal Antibodies |
|
$545.00 | Add Ask |
Leading Biology Inc.
2600 Hilltop DR, Building G, B Suite C138
Richmond, CA, 94806
Tel: 1-661-524(LBI)-0262
Email: info@leadingbiology.com
Complete this form and click send to ask us a question, request a quote or simply say hello.

You have 0 item in your cart

You have 0 item in your inquiry list