> Antigen, Antibodies, ELISA, Western Blot > Primary Antibody > Monoclonal Antibodies > IL-33 Antibody [12B3C4]Brand |
Leading Biology | Catalog Number |
AMM03219G |
Product Type |
Monoclonal Antibodies | Field of Research |
|
Product Overview |
We constantly strive to ensure we provide our customers with the best antibodies. As a result of this work we offer this antibody in purified format.
We are in the process of updating our datasheets. If you have any questions regarding this update, please feel free to contact our technical support team.
This product is a high quality IL-33 Antibody [12B3C4] .
|
||
Molecular Weight |
Predicted: 30 kDa (recombinant protein) Observed: 30 kDa
|
||
Cellular Localization |
Antigen Cellular Localization:
Nucleus. Chromosome. Cytoplasmic vesicle, secretory vesicle. Secreted. Note=Associates with heterochromatin and mitotic chromosomes. Translocation from the nucleus occurs upon biomechanical strain, depends on an intact microtubule network, and is ATP-dependent
|
||
Host |
Mouse
|
||
Species Reactivity |
Human, Mouse
|
||
Target |
IL33;
|
||
Clone |
12B3C4
|
||
Isotype |
IgG1
|
||
Symbol |
C9orf26, IL1F11, NFHEV
|
||
GeneID |
|||
UniProt ID |
|||
Function |
Cytokine that binds to and signals through the IL1RL1/ST2 receptor which in turn activates NF-kappa-B and MAPK signaling pathways in target cells (PubMed:16286016). Involved in the maturation of Th2 cells inducing the secretion of T-helper type 2-associated cytokines. Also involved in activation of mast cells, basophils, eosinophils and natural killer cells. Acts as a chemoattractant for Th2 cells, and may function as an "alarmin", that amplifies immune responses during tissue injury (PubMed:17853410, PubMed:18836528).
|
||
Summary |
IL-33 Monoclonal Antibody: Interleukin-33 (IL-33) is a recently identified member of the IL-1 family of cytokines whose other members include IL-1αβ, IL-1Ra and IL-18. Its receptor has been shown to be ST2, an IL-1 receptor family member that also acts as a negative regulator of TLR-IL-1R signaling and IL-1R accessory protein (IL-1RAcP). Receptor binding of IL-33 activates NF-κB and MAP kinases and induces the expression of TH2-associated cytokines such as IL-4, IL-5 and IL-6. Prolonged IL-33 treatment of mice led to the development of eosinophilia, splenomegaly, and severe pathological changes in mucosal organs such as lungs, esophagus and small intestine. Recent experiments have shown that IL-33 can also co-localize with heterochromatin and possesses transcriptional repressor activities, indicating that IL-33 may function as both a proinflammatory cytokine and an intracellular nuclear factor with transcriptional regulatory properties.
|
||
Storage & Stability |
Store at +4°C short term. For long-term storage, aliquot and store at -20°C or below. Stable for 12 months at -20°C. Avoid repeated freeze-thaw cycles.
|
||
Applications |
WB, IHC-P, IF, E
|
||
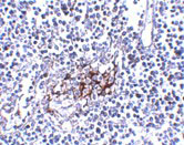
Images |
Western blot analysis of IL-33 using 125ng of recombinant IL-33 with IL-33 antibody at 1 μg/mL.
Immunohistochemistry of IL-33 in human lymph node tissue with IL-33 antibody at 5 μg/mL.
Immunofluorescence of IL-33 in human lymph node tissue with IL-33 antibody at 20 μg/mL. |
||
Specification |
|||
Quantity |
|
||
| Select | Brand | Catalog No. | Product Name | Pack Size | Type | Field of Research | Specification | Quantity | Price(USD) | |
| 1 | Leading Biology | APG02467G | CCK4 / PTK7 Antibody (clone 4F9) | 50 μl | Monoclonal Antibodies |
|
$495.00 | Add Ask | ||
| 2 | Leading Biology | AMM04683G | GALT Antibody (clone 4C11) | 50 μg | Monoclonal Antibodies |
|
$545.00 | Add Ask | ||
| 3 | Leading Biology | AMM01402G | Vimentin (Mesenchymal Cell Marker) Antibody - With BSA and Azide | 50 ug | Monoclonal Antibodies |
|
$395.00 | Add Ask | ||
| 4 | Leading Biology | APR08280G | LTA4H / LTA4 Antibody (clone 9G8) | 50 μl | Monoclonal Antibodies |
|
$495.00 | Add Ask | ||
| 5 | Leading Biology | AMM00172G | CD1a / HTA1 (Mature Langerhans Cells Marker) Antibody - With BSA and Azide | 50 ug | Monoclonal Antibodies |
|
$395.00 | Add Ask | ||
| 6 | Leading Biology | AMM05750G | CEBPA Antibody | 100 μl | Monoclonal Antibodies |
|
$545.00 | Add Ask |
Leading Biology Inc.
2600 Hilltop DR, Building G, B Suite C138
Richmond, CA, 94806
Tel: 1-661-524(LBI)-0262
Email: info@leadingbiology.com
Complete this form and click send to ask us a question, request a quote or simply say hello.

You have 0 item in your cart

You have 0 item in your inquiry list