> Antigen, Antibodies, ELISA, Western Blot > Primary Antibody > Monoclonal Antibodies > MyD88 Antibody [2E9C2]Brand |
Leading Biology | Catalog Number |
AMM03218G |
Product Type |
Monoclonal Antibodies | Field of Research |
|
Product Overview |
We constantly strive to ensure we provide our customers with the best antibodies. As a result of this work we offer this antibody in purified format.
We are in the process of updating our datasheets. If you have any questions regarding this update, please feel free to contact our technical support team.
This product is a high quality MyD88 Antibody [2E9C2] .
|
||
Molecular Weight |
33233 Da
|
||
Cellular Localization |
Antigen Cellular Localization:
Cytoplasm
|
||
Host |
Mouse
|
||
Species Reactivity |
Human, Mouse
|
||
Target |
MYD88;
|
||
Clone |
2E9C2
|
||
Isotype |
IgG2b
|
||
GeneID |
|||
UniProt ID |
|||
Function |
Adapter protein involved in the Toll-like receptor and IL-1 receptor signaling pathway in the innate immune response. Acts via IRAK1, IRAK2, IRF7 and TRAF6, leading to NF-kappa-B activation, cytokine secretion and the inflammatory response. Increases IL-8 transcription. Involved in IL-18-mediated signaling pathway. Activates IRF1 resulting in its rapid migration into the nucleus to mediate an efficient induction of IFN-beta, NOS2/INOS, and IL12A genes. MyD88-mediated signaling in intestinal epithelial cells is crucial for maintenance of gut homeostasis and controls the expression of the antimicrobial lectin REG3G in the small intestine.
|
||
Summary |
MyD88 Monoclonal Antibody: The pro-inflammatory cytokine IL-1 induced cellular response requires IL-1 receptor complex including IL-1RI and IL-1RAcP. MyD88 has been identified as an adapter molecule in the IL-1 signaling pathway. MyD88 associates with and recruits IRAK to the IL-1 receptor complex in response to IL-1 treatment and dominant negative form of MyD88 attenuates IL-1R-mediated NF-κB activation. MyD88 is also employed as a regulator molecule by IL-18 receptor and human Toll receptor, which are members in the Toll/IL-1R family of receptors. Targeted disruption of the MyD88 gene results in lose of cellular responses to IL-1 and IL-18, and MyD88-deficient mice lack responses to bacterial product LPS that employs Toll-like receptors 2 and 4 (TLR2 and TLR4) as the signaling receptors. MyD88 is a general adapter protein for the Toll/IL-1R family of receptors and plays an important role in the inflammatory response induced by cytokines IL-1 and IL-18 and endotoxin. MyD88 gene is expressed in many tissues.
|
||
Storage & Stability |
Store at +4°C short term. For long-term storage, aliquot and store at -20°C or below. Stable for 12 months at -20°C. Avoid repeated freeze-thaw cycles.
|
||
Applications |
WB, IHC-P, IF, E
|
||
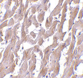
Images |
Western blot analysis of MyD88 in EL4 whole cell lysate with MyD88 antibody at 2 μg/mL.
Immunohistochemistry of MyD88 in human heart with MyD88 antibody at 2.5 μg/mL. |
||
Specification |
|||
Quantity |
|
||
| Select | Brand | Catalog No. | Product Name | Pack Size | Type | Field of Research | Specification | Quantity | Price(USD) | |
| 1 | Leading Biology | APG02467G | CCK4 / PTK7 Antibody (clone 4F9) | 50 μl | Monoclonal Antibodies |
|
$495.00 | Add Ask | ||
| 2 | Leading Biology | AMM04683G | GALT Antibody (clone 4C11) | 50 μg | Monoclonal Antibodies |
|
$545.00 | Add Ask | ||
| 3 | Leading Biology | AMM01402G | Vimentin (Mesenchymal Cell Marker) Antibody - With BSA and Azide | 50 ug | Monoclonal Antibodies |
|
$395.00 | Add Ask | ||
| 4 | Leading Biology | APR08280G | LTA4H / LTA4 Antibody (clone 9G8) | 50 μl | Monoclonal Antibodies |
|
$495.00 | Add Ask | ||
| 5 | Leading Biology | AMM00172G | CD1a / HTA1 (Mature Langerhans Cells Marker) Antibody - With BSA and Azide | 50 ug | Monoclonal Antibodies |
|
$395.00 | Add Ask | ||
| 6 | Leading Biology | AMM05750G | CEBPA Antibody | 100 μl | Monoclonal Antibodies |
|
$545.00 | Add Ask |
Leading Biology Inc.
2600 Hilltop DR, Building G, B Suite C138
Richmond, CA, 94806
Tel: 1-661-524(LBI)-0262
Email: info@leadingbiology.com
Complete this form and click send to ask us a question, request a quote or simply say hello.

You have 0 item in your cart

You have 0 item in your inquiry list