> Antigen, Antibodies, ELISA, Western Blot > Primary Antibody > Monoclonal Antibodies > FES AntibodyBrand |
Leading Biology | Catalog Number |
AMM02644G |
Product Type |
Monoclonal Antibodies | Field of Research |
|
Product Overview |
We constantly strive to ensure we provide our customers with the best antibodies. As a result of this work we offer this antibody in purified format.
We are in the process of updating our datasheets. If you have any questions regarding this update, please feel free to contact our technical support team.
This product is a high quality FES Antibody.
|
||
Molecular Weight |
93497 Da
|
||
Cellular Localization |
Antigen Cellular Localization:
Cytoplasm, cytosol. Cytoplasm, cytoskeleton. Cell membrane; Peripheral membrane protein; Cytoplasmic side Cytoplasmic vesicle. Golgi apparatus. Cell junction, focal adhesion. Note=Distributed throughout the cytosol when the kinase is not activated. Association with microtubules requires activation of the kinase activity. Shuttles between focal adhesions and cell-cell contacts in epithelial cells. Recruited to the lateral cell membrane in polarized epithelial cells by interaction with phosphorylated EZR. Detected at tubular membrane structures in the cytoplasm and at the cell periphery
|
||
Host |
Mouse
|
||
Species Reactivity |
Human
|
||
Clone |
2E3G3; 2G9G1
|
||
Isotype |
IgG1
|
||
Symbol |
FPS
|
||
GeneID |
|||
UniProt ID |
|||
Function |
Tyrosine-protein kinase that acts downstream of cell surface receptors and plays a role in the regulation of the actin cytoskeleton, microtubule assembly, cell attachment and cell spreading. Plays a role in FCER1 (high affinity immunoglobulin epsilon receptor)-mediated signaling in mast cells. Acts down- stream of the activated FCER1 receptor and the mast/stem cell growth factor receptor KIT. Plays a role in the regulation of mast cell degranulation. Plays a role in the regulation of cell differentiation and promotes neurite outgrowth in response to NGF signaling. Plays a role in cell scattering and cell migration in response to HGF-induced activation of EZR. Phosphorylates BCR and down-regulates BCR kinase activity. Phosphorylates HCLS1/HS1, PECAM1, STAT3 and TRIM28.
|
||
Storage & Stability |
Store at +4°C short term. For long-term storage, aliquot and store at -20°C or below. Stable for 12 months at -20°C. Avoid repeated freeze-thaw cycles.
|
||
Applications |
WB, IHC, E
|
||
Dilution |
WB~~1/500 - 1/2000
IHC~~1/200 - 1/1000
|
||
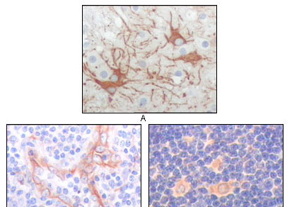
Images |
Figure 1: Western blot analysis using FES mouse mAb against truncated FES recombinant protein.
Figure 2: Immunohistochemical analysis of paraffin-embedded human cerebrum tumor (A), endothelium of vessel (B), lymphocyte of thymus(C), showing cytoplasmic localization using FES mouse mAb with DAB staining. |
||
Specification |
|||
Quantity |
|
||
| Select | Brand | Catalog No. | Product Name | Pack Size | Type | Field of Research | Specification | Quantity | Price(USD) | |
| 1 | Leading Biology | APG02467G | CCK4 / PTK7 Antibody (clone 4F9) | 50 μl | Monoclonal Antibodies |
|
$495.00 | Add Ask | ||
| 2 | Leading Biology | AMM04683G | GALT Antibody (clone 4C11) | 50 μg | Monoclonal Antibodies |
|
$545.00 | Add Ask | ||
| 3 | Leading Biology | AMM01402G | Vimentin (Mesenchymal Cell Marker) Antibody - With BSA and Azide | 50 ug | Monoclonal Antibodies |
|
$395.00 | Add Ask | ||
| 4 | Leading Biology | APR08280G | LTA4H / LTA4 Antibody (clone 9G8) | 50 μl | Monoclonal Antibodies |
|
$495.00 | Add Ask | ||
| 5 | Leading Biology | AMM00172G | CD1a / HTA1 (Mature Langerhans Cells Marker) Antibody - With BSA and Azide | 50 ug | Monoclonal Antibodies |
|
$395.00 | Add Ask | ||
| 6 | Leading Biology | AMM05750G | CEBPA Antibody | 100 μl | Monoclonal Antibodies |
|
$545.00 | Add Ask |
Leading Biology Inc.
2600 Hilltop DR, Building G, B Suite C138
Richmond, CA, 94806
Tel: 1-661-524(LBI)-0262
Email: info@leadingbiology.com
Complete this form and click send to ask us a question, request a quote or simply say hello.

You have 0 item in your cart

You have 0 item in your inquiry list