> Antigen, Antibodies, ELISA, Western Blot > Primary Antibody > Monoclonal Antibodies > PAX7 (Rhabdomyosarcoma Marker) AntibodyBrand |
Leading Biology | Catalog Number |
AMM01165G |
Product Type |
Monoclonal Antibodies | Field of Research |
|
Product Overview |
We constantly strive to ensure we provide our customers with the best antibodies. As a result of this work we offer this antibody in purified format.
We are in the process of updating our datasheets. If you have any questions regarding this update, please feel free to contact our technical support team.
This product is a high quality PAX7 (Rhabdomyosarcoma Marker) Antibody.
|
||
Molecular Weight |
57kDa
|
||
Cellular Localization |
Antigen Cellular Localization:
Nucleus.
|
||
Host |
Mouse
|
||
Species Reactivity |
Human
|
||
Clone |
SPM613
|
||
Isotype |
Mouse / IgG1, kappa
|
||
Symbol |
HUP1
|
||
GeneID |
|||
UniProt ID |
|||
Function |
Transcription factor playing a role in myogenesis through regulation of muscle precursor cells proliferation.
|
||
Summary |
The Pax gene family of nuclear transcription factors is comprised of nine members that function during embryogenesis to regulate the temporal and position-dependent differentiation of cells. In addition, the family is involved in a variety of signal transduction pathways in the adult organism. Mutations in the Pax family of proteins have been linked to disease and cancer in humans. Pax-7 is a protein specifically expressed in cultured satellite cell-derived myoblasts. In situ hybridization reveals that Pax-7 is also expressed in satellite cells residing in adult muscle. A chromosomal aberration in the gene encoding Pax-7 causes rhabdomyosarcoma 2 (RMS2) (also called alveolar rhabdomyosarcoma).
|
||
Form |
Liquid |
||
Storage & Stability |
Store at +4°C short term. For long-term storage, aliquot and store at -20°C or below. Stable for 12 months at -20°C. Avoid repeated freeze-thaw cycles.
|
||
Applications |
IHC
|
||
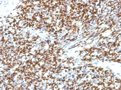
Images |
Formalin-fixed, paraffin-embedded human Rhabdomyosarcoma stained with PAX7 Monoclonal Antibody (SPM613). |
||
Specification |
|||
Quantity |
|
||
| Select | Brand | Catalog No. | Product Name | Pack Size | Type | Field of Research | Specification | Quantity | Price(USD) | |
| 1 | Leading Biology | APG02467G | CCK4 / PTK7 Antibody (clone 4F9) | 50 μl | Monoclonal Antibodies |
|
$495.00 | Add Ask | ||
| 2 | Leading Biology | AMM04683G | GALT Antibody (clone 4C11) | 50 μg | Monoclonal Antibodies |
|
$545.00 | Add Ask | ||
| 3 | Leading Biology | AMM01402G | Vimentin (Mesenchymal Cell Marker) Antibody - With BSA and Azide | 50 ug | Monoclonal Antibodies |
|
$395.00 | Add Ask | ||
| 4 | Leading Biology | APR08280G | LTA4H / LTA4 Antibody (clone 9G8) | 50 μl | Monoclonal Antibodies |
|
$495.00 | Add Ask | ||
| 5 | Leading Biology | AMM00172G | CD1a / HTA1 (Mature Langerhans Cells Marker) Antibody - With BSA and Azide | 50 ug | Monoclonal Antibodies |
|
$395.00 | Add Ask | ||
| 6 | Leading Biology | AMM05750G | CEBPA Antibody | 100 μl | Monoclonal Antibodies |
|
$545.00 | Add Ask |
Leading Biology Inc.
2600 Hilltop DR, Building G, B Suite C138
Richmond, CA, 94806
Tel: 1-661-524(LBI)-0262
Email: info@leadingbiology.com
Complete this form and click send to ask us a question, request a quote or simply say hello.

You have 0 item in your cart

You have 0 item in your inquiry list