> Antigen, Antibodies, ELISA, Western Blot > Primary Antibody > Methylated Antibodies > Asymmetric DiMethyl-Histone H4-R3 pAbBrand |
Leading Biology | Catalog Number |
AMR00731N |
Product Type |
Methylated Antibodies | Field of Research |
Epigenetics & Nuclear Signaling>Epigenetic Modifications |
Product Overview |
We constantly strive to ensure we provide our customers with the best antibodies. As a result of this work we offer this antibody in purified format.
We are in the process of updating our datasheets. If you have any questions regarding this update, please feel free to contact our technical support team.
This product is a high quality Asymmetric DiMethyl-Histone H4-R3 pAb.
|
||
Molecular Weight |
Calculated MW:
11kDa
Observed MW:
13kDa
|
||
Species Reactivity |
Rabbit
|
||
Immunogen |
A synthetic methylated peptide corresponding to residues surrounding Arg3 of human histone H4
|
||
Cross Reactivity |
Human,Mouse,Rat,Other (Wide Range)
|
||
Isotype |
IgG
|
||
GeneID |
|||
UniProt ID |
|||
Purity |
Affinity purification |
||
Storage & Stability |
Store at +4°C short term. For long-term storage, aliquot and store at -20°C or below. Stable for 12 months at -20°C. Avoid repeated freeze-thaw cycles.
|
||
Storage Buffer |
Buffer: PBS with 50% glycerol, pH7.3.
|
||
Applications |
WB,IHC,IF,IP
|
||
Dilution |
WB 1:500 - 1:2000
IHC 1:50 - 1:200
IF 1:50 - 1:200
|
||
Product Description |
Histones are basic nuclear proteins that are responsible for the nucleosome structure of the chromosomal fiber in eukaryotes. This structure consists of approximately 146 bp of DNA wrapped around a nucleosome, an octamer composed of pairs of each of the four core histones (H2A, H2B, H3, and H4). The chromatin fiber is further compacted through the interaction of a linker histone, H1, with the DNA between the nucleosomes to form higher order chromatin structures. This gene is intronless and encodes a replication-dependent histone that is a member of the histone H4 family. Transcripts from this gene lack polyA tails; instead, they contain a palindromic termination element. This gene is found in a histone cluster on chromosome 1. This gene is one of four histone genes in the cluster that are duplicated; this record represents the centromeric copy.
|
||
Synonyms |
HIST2H4A; FO108; H4; H4/n; H4F2; H4FN; HIST2H4; histone H4
|
||
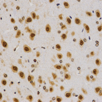
Images |
Western blot analysis of extracts of various cell lines, using Asymmetric DiMethyl-Histone H4-R3 antibody.
Dot-blot analysis of all sorts of methylation peptides using Asymmetric DiMethyl-Histone H4-R3 antibody.
Immunohistochemistry of paraffin-embedded rat brain using Asymmetric DiMethyl-Histone H4-R3 antibody. |
||
Specification |
|||
Quantity |
|
||
| Select | Brand | Catalog No. | Product Name | Pack Size | Type | Field of Research | Specification | Quantity | Price(USD) | |
| 1 | Leading Biology | AMR00715N | TriMethyl-Histone H3-K9 pAb | 100ul | Methylated Antibodies | Epigenetics & Nuclear Signaling>Epigenetic Modifications |
|
$495.00 | Add Ask | |
| 2 | Leading Biology | AMR00696N | DiMethyl-UHRF1-K385 pAb | 100ul | Methylated Antibodies | Cell Biology & Developmental Biology>Apoptosis |
|
$495.00 | Add Ask | |
| 3 | Leading Biology | AMR00697N | DiMethyl-DNMT3A-K44 pAb | 100ul | Methylated Antibodies |
|
$495.00 | Add Ask | ||
| 4 | Leading Biology | AMR00721N | TriMethyl-Histone H3-K36 pAb | 100ul | Methylated Antibodies | Epigenetics & Nuclear Signaling>Epigenetic Modifications |
|
$495.00 | Add Ask | |
| 5 | Leading Biology | AMR00710N | MonoMethyl-Histone H3-K4 pAb | 100ul | Methylated Antibodies | Epigenetics & Nuclear Signaling>Epigenetic Modifications |
|
$495.00 | Add Ask | |
| 6 | Leading Biology | AMR00711N | DiMethyl-Histone H3-K4 pAb | 100ul | Methylated Antibodies | Epigenetics & Nuclear Signaling>Epigenetic Modifications |
|
$495.00 | Add Ask |
Leading Biology Inc.
2600 Hilltop DR, Building G, B Suite C138
Richmond, CA, 94806
Tel: 1-661-524(LBI)-0262
Email: info@leadingbiology.com
Complete this form and click send to ask us a question, request a quote or simply say hello.

You have 0 item in your cart

You have 0 item in your inquiry list