> Antigen, Antibodies, ELISA, Western Blot > Primary Antibody > Acetylated Antibodies > Acetyl-Histone H2B-K15 pAbBrand |
Leading Biology | Catalog Number |
AMR00695N |
Product Type |
Acetylated Antibodies | Field of Research |
|
Product Overview |
We constantly strive to ensure we provide our customers with the best antibodies. As a result of this work we offer this antibody in purified format.
We are in the process of updating our datasheets. If you have any questions regarding this update, please feel free to contact our technical support team.
This product is a high quality Acetyl-Histone H2B-K15 pAb.
|
||
Molecular Weight |
Calculated MW:
_
Observed MW:
Refer to figures
|
||
Species Reactivity |
Rabbit
|
||
Immunogen |
AA synthetic acetylated peptide corresponding to residues surrounding K15 of human Histone H2B
|
||
Cross Reactivity |
Human,Mouse,Rat,OtheRat,(Wide,Range)
|
||
Isotype |
IgG
|
||
GeneID |
|||
UniProt ID |
|||
Purity |
Affinity purification |
||
Storage & Stability |
Store at +4°C short term. For long-term storage, aliquot and store at -20°C or below. Stable for 12 months at -20°C. Avoid repeated freeze-thaw cycles.
|
||
Storage Buffer |
Buffer: PBS with 50% glycerol, pH7.3.
|
||
Applications |
WB,IHC,IF,IP
|
||
Dilution |
WB 1:500 - 1:2000
IHC 1:50 - 1:200
IF 1:50 - 1:100
|
||
Product Description |
_
|
||
Synonyms |
_
|
||
Images |
Western blot analysis of extracts of various cell lines, using Acetyl-Histone H2B-K15 antibody.
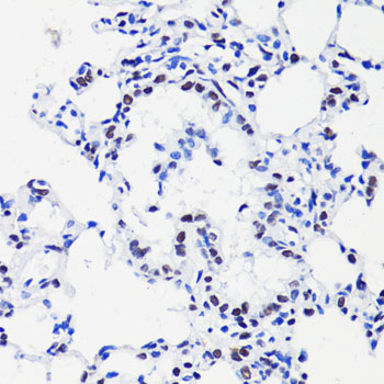
Immunohistochemistry of paraffin-embedded rat lung using H2B K15ac antibody.
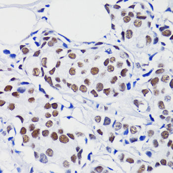
Immunohistochemistry of paraffin-embedded human breast cancer using H2B K15ac antibody. |
||
Specification |
|||
Quantity |
|
||
| Select | Brand | Catalog No. | Product Name | Pack Size | Type | Field of Research | Specification | Quantity | Price(USD) | |
| 1 | Leading Biology | AMR00748N | Acetyl-DNMT1-K1127/K1129/K1131/K1133 pAb | 100ul | Acetylated Antibodies | Epigenetics & Nuclear Signaling>Epigenetic writers and erasers of core Histones |
|
$495.00 | Add Ask | |
| 2 | Leading Biology | AMR00699N | Acetyl-Histone H3-K4 pAb | 100ul | Acetylated Antibodies | Epigenetics & Nuclear Signaling>Epigenetic Modifications |
|
$495.00 | Add Ask | |
| 3 | Leading Biology | AMR00691N | Acetyl-Histone H4-K5 pAb | 100ul | Acetylated Antibodies | Epigenetics & Nuclear Signaling>Epigenetic Modifications |
|
$495.00 | Add Ask | |
| 4 | Leading Biology | AMR00759N | Acetyl-Histone H4-K91 pAb | 100ul | Acetylated Antibodies | Epigenetics & Nuclear Signaling>Epigenetic Modifications |
|
$495.00 | Add Ask | |
| 5 | Leading Biology | AMR00698N | Acetyl-Histone H3-K36 pAb | 100ul | Acetylated Antibodies | Epigenetics & Nuclear Signaling>Epigenetic Modifications |
|
$495.00 | Add Ask | |
| 6 | Leading Biology | AMR00753N | Acetyl-Histone H3-K9 pAb | 100ul | Acetylated Antibodies | Epigenetics & Nuclear Signaling>Epigenetic Modifications |
|
$495.00 | Add Ask |
Leading Biology Inc.
2600 Hilltop DR, Building G, B Suite C138
Richmond, CA, 94806
Tel: 1-661-524(LBI)-0262
Email: info@leadingbiology.com
Complete this form and click send to ask us a question, request a quote or simply say hello.

You have 0 item in your cart

You have 0 item in your inquiry list