> Antigen, Antibodies, ELISA, Western Blot > Primary Antibody > Acetylated Antibodies > Acetyl-Histone H2A-K5 pAbBrand |
Leading Biology | Catalog Number |
AMR00693N |
Product Type |
Acetylated Antibodies | Field of Research |
Epigenetics & Nuclear Signaling>Epigenetic Modifications |
Product Overview |
We constantly strive to ensure we provide our customers with the best antibodies. As a result of this work we offer this antibody in purified format.
We are in the process of updating our datasheets. If you have any questions regarding this update, please feel free to contact our technical support team.
This product is a high quality Acetyl-Histone H2A-K5 pAb.
|
||
Molecular Weight |
Calculated MW:
14kDa
Observed MW:
Refer to figures
|
||
Species Reactivity |
Rabbit
|
||
Immunogen |
A synthetic acetylated peptide around K5 of human Histone H2A (NP_003508.1).
|
||
Cross Reactivity |
Human,Mouse,Rat
|
||
Isotype |
IgG
|
||
GeneID |
|||
UniProt ID |
|||
Purity |
Affinity purification |
||
Storage & Stability |
Store at +4°C short term. For long-term storage, aliquot and store at -20°C or below. Stable for 12 months at -20°C. Avoid repeated freeze-thaw cycles.
|
||
Storage Buffer |
Buffer: PBS with 50% glycerol, pH7.3.
|
||
Applications |
WB,IHC,IF
|
||
Dilution |
WB 1:500 - 1:2000
IHC 1:50 - 1:100
IF 1:50 - 1:100
|
||
Product Description |
Histones are basic nuclear proteins that are responsible for the nucleosome structure of the chromosomal fiber in eukaryotes. Two molecules of each of the four core histones (H2A, H2B, H3, and H4) form an octamer, around which approximately 146 bp of DNA is wrapped in repeating units, called nucleosomes. The linker histone, H1, interacts with linker DNA between nucleosomes and functions in the compaction of chromatin into higher order structures. This gene is intronless and encodes a replication-dependent histone that is a member of the histone H2A family. Transcripts from this gene lack polyA tails but instead contain a palindromic termination element. This gene is found in the small histone gene cluster on chromosome 6p22-p21.3.
|
||
Synonyms |
HIST1H2AI; H2A/c; H2AFC; histone H2A type 1
|
||
Images |
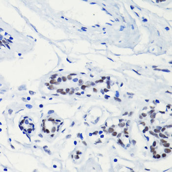
Immunohistochemistry of paraffin-embedded human breast using H2AK5ac antibody.
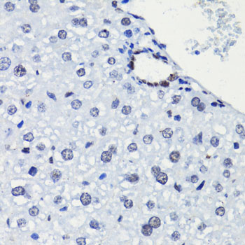
Immunohistochemistry of paraffin-embedded mouse liver using H2AK5ac antibody.
Immunofluorescence analysis of C6 cells using Acetyl-Histone H2A-K5 antibody. |
||
Specification |
|||
Quantity |
|
||
| Select | Brand | Catalog No. | Product Name | Pack Size | Type | Field of Research | Specification | Quantity | Price(USD) | |
| 1 | Leading Biology | AMR00748N | Acetyl-DNMT1-K1127/K1129/K1131/K1133 pAb | 100ul | Acetylated Antibodies | Epigenetics & Nuclear Signaling>Epigenetic writers and erasers of core Histones |
|
$495.00 | Add Ask | |
| 2 | Leading Biology | AMR00699N | Acetyl-Histone H3-K4 pAb | 100ul | Acetylated Antibodies | Epigenetics & Nuclear Signaling>Epigenetic Modifications |
|
$495.00 | Add Ask | |
| 3 | Leading Biology | AMR00691N | Acetyl-Histone H4-K5 pAb | 100ul | Acetylated Antibodies | Epigenetics & Nuclear Signaling>Epigenetic Modifications |
|
$495.00 | Add Ask | |
| 4 | Leading Biology | AMR00759N | Acetyl-Histone H4-K91 pAb | 100ul | Acetylated Antibodies | Epigenetics & Nuclear Signaling>Epigenetic Modifications |
|
$495.00 | Add Ask | |
| 5 | Leading Biology | AMR00698N | Acetyl-Histone H3-K36 pAb | 100ul | Acetylated Antibodies | Epigenetics & Nuclear Signaling>Epigenetic Modifications |
|
$495.00 | Add Ask | |
| 6 | Leading Biology | AMR00753N | Acetyl-Histone H3-K9 pAb | 100ul | Acetylated Antibodies | Epigenetics & Nuclear Signaling>Epigenetic Modifications |
|
$495.00 | Add Ask |
Leading Biology Inc.
2600 Hilltop DR, Building G, B Suite C138
Richmond, CA, 94806
Tel: 1-661-524(LBI)-0262
Email: info@leadingbiology.com
Complete this form and click send to ask us a question, request a quote or simply say hello.

You have 0 item in your cart

You have 0 item in your inquiry list