> Antigen, Antibodies, ELISA, Western Blot > Primary Antibody > Monoclonal Antibodies > ORAI1 Antibody [3F6H5]Brand |
Leading Biology | Catalog Number |
APR17667G |
Product Type |
Monoclonal Antibodies | Field of Research |
|
Product Overview |
We constantly strive to ensure we provide our customers with the best antibodies. As a result of this work we offer this antibody in purified format.
We are in the process of updating our datasheets. If you have any questions regarding this update, please feel free to contact our technical support team.
This product is a high quality ORAI1 antibody [3F6H5] .
|
||
Molecular Weight |
Predicted: 33 kDa Observed: 56 kDa
|
||
Cellular Localization |
Antigen Cellular Localization:
Cell membrane; Multi- pass membrane protein Note=Isoform beta is more mobile in the plasma membrane
|
||
Host |
Mouse
|
||
Species Reactivity |
Human, Mouse, Rat
|
||
Target |
ORAI1; ORAI1 antibody is predicted to have no cross reactivity to other members in the ORAI family.
|
||
Clone |
3F6H5
|
||
Isotype |
IgG1
|
||
Symbol |
CRACM1, TMEM142A
|
||
GeneID |
|||
UniProt ID |
|||
Function |
Ca(2+) release-activated Ca(2+) (CRAC) channel subunit which mediates Ca(2+) influx following depletion of intracellular Ca(2+) stores and channel activation by the Ca(2+) sensor, STIM1. CRAC channels are the main pathway for Ca(2+) influx in T-cells and promote the immune response to pathogens by activating the transcription factor NFAT.
|
||
Summary |
ORAI1 Monoclonal Antibody: Antigen stimulation of immune cells triggers Ca++ entry through Ca++ release-activated Ca++ (CRAC) channels. ORAI1 is a recently identified four-transmembrane spanning protein that is an essential component of CRAC. A missense mutation in this protein in humans is the cause of one fo rm of hereditary severe combined immune deficiency (SCID) which results in ablated T-cell Ca++ entry. It has been suggested that ORAI1 functions as a highly selective Ca++ plasma membrane channel that is gated through interactions with STIM1, the store-activated endoplasmic reticulum Ca++ sensor. ORAI1 often migrates at a higher than expected molecular weight in SDS-PAGE. This antibody is predicted to have no cross-reactivity to ORAI2 or ORAI3.
|
||
Form |
Liquid |
||
Storage & Stability |
Store at +4°C short term. For long-term storage, aliquot and store at -20°C or below. Stable for 12 months at -20°C. Avoid repeated freeze-thaw cycles.
|
||
Applications |
WB, IHC-P, IF, E
|
||
Images |
Western blot analysis of ORAI1 in human ovary tissue lysate with ORAI1 antibody at (A) 1 and (B) 2 μg/mL.
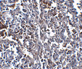
Immunohistochemistry of ORAI1 in human spleen tissue with ORAI1 antibody at 2.5 μg/mL.
Immunofluorescence of ORAI1 in human spleen tissue with ORAI1 antibody at 20 μg/ml. |
||
Specification |
|||
Quantity |
|
||
| Select | Brand | Catalog No. | Product Name | Pack Size | Type | Field of Research | Specification | Quantity | Price(USD) | |
| 1 | Leading Biology | APG02467G | CCK4 / PTK7 Antibody (clone 4F9) | 50 μl | Monoclonal Antibodies |
|
$495.00 | Add Ask | ||
| 2 | Leading Biology | AMM04683G | GALT Antibody (clone 4C11) | 50 μg | Monoclonal Antibodies |
|
$545.00 | Add Ask | ||
| 3 | Leading Biology | AMM01402G | Vimentin (Mesenchymal Cell Marker) Antibody - With BSA and Azide | 50 ug | Monoclonal Antibodies |
|
$395.00 | Add Ask | ||
| 4 | Leading Biology | APR08280G | LTA4H / LTA4 Antibody (clone 9G8) | 50 μl | Monoclonal Antibodies |
|
$495.00 | Add Ask | ||
| 5 | Leading Biology | AMM00172G | CD1a / HTA1 (Mature Langerhans Cells Marker) Antibody - With BSA and Azide | 50 ug | Monoclonal Antibodies |
|
$395.00 | Add Ask | ||
| 6 | Leading Biology | AMM05750G | CEBPA Antibody | 100 μl | Monoclonal Antibodies |
|
$545.00 | Add Ask |
Leading Biology Inc.
2600 Hilltop DR, Building G, B Suite C138
Richmond, CA, 94806
Tel: 1-661-524(LBI)-0262
Email: info@leadingbiology.com
Complete this form and click send to ask us a question, request a quote or simply say hello.

You have 0 item in your cart

You have 0 item in your inquiry list