> Antigen, Antibodies, ELISA, Western Blot > Primary Antibody > Monoclonal Antibodies > MD-2 Antibody [1A2E3]Brand |
Leading Biology | Catalog Number |
APR17338G |
Product Type |
Monoclonal Antibodies | Field of Research |
|
Product Overview |
We constantly strive to ensure we provide our customers with the best antibodies. As a result of this work we offer this antibody in purified format.
We are in the process of updating our datasheets. If you have any questions regarding this update, please feel free to contact our technical support team.
This product is a high quality MD-2 antibody [1A2E3] .
|
||
Molecular Weight |
18546 Da
|
||
Cellular Localization |
Antigen Cellular Localization:
Secreted, extracellular space.
|
||
Host |
Mouse
|
||
Species Reactivity |
Human, Mouse, Rat
|
||
Target |
LY96;
|
||
Clone |
1A2E3
|
||
Isotype |
IgG1
|
||
Symbol |
ESOP1, MD2
|
||
GeneID |
|||
UniProt ID |
|||
Function |
Cooperates with TLR4 in the innate immune response to bacterial lipopolysaccharide (LPS), and with TLR2 in the response to cell wall components from Gram-positive and Gram-negative bacteria. Enhances TLR4-dependent activation of NF-kappa-B. Cells expressing both MD2 and TLR4, but not TLR4 alone, respond to LPS.
|
||
Summary |
MD-2 Monoclonal Antibody: MD-2 is a member of the Toll/interleukin-1 receptor (TIR) family, a group of proteins that include the Toll-like receptors (TLRs). TLRs are signaling molecules that recognize different pathogen-associated molecular patterns (PAMPs) and serve as an important link between the innate and adaptive immune responses. TLR4, the major signaling receptor for lipopolysaccharide (LPS), requires the binding of MD-2 to its extracellular region for maximal response to LPS. The specificity of this response is determined by the species of MD-2; e.g., human MD-2 transfected into mouse cells can cause mouse TLR4 to react to LPS analogs that are normally antagonistic to human but not mouse TLR4.
|
||
Form |
Liquid |
||
Storage & Stability |
Store at +4°C short term. For long-term storage, aliquot and store at -20°C or below. Stable for 12 months at -20°C. Avoid repeated freeze-thaw cycles.
|
||
Applications |
WB, IHC-P, E
|
||
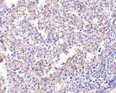
Images |
Western blot analysis of (A) 25 and (B) 125 ng of MD-2 recombinant protein with MD-2 antibody at 1 μg/mL.
Immunohistochemistry of MD-2 in human spleen with MD-2 antibody at 2.5 μg/mL. |
||
Specification |
|||
Quantity |
|
||
| Select | Brand | Catalog No. | Product Name | Pack Size | Type | Field of Research | Specification | Quantity | Price(USD) | |
| 1 | Leading Biology | APG02467G | CCK4 / PTK7 Antibody (clone 4F9) | 50 μl | Monoclonal Antibodies |
|
$495.00 | Add Ask | ||
| 2 | Leading Biology | AMM04683G | GALT Antibody (clone 4C11) | 50 μg | Monoclonal Antibodies |
|
$545.00 | Add Ask | ||
| 3 | Leading Biology | AMM01402G | Vimentin (Mesenchymal Cell Marker) Antibody - With BSA and Azide | 50 ug | Monoclonal Antibodies |
|
$395.00 | Add Ask | ||
| 4 | Leading Biology | APR08280G | LTA4H / LTA4 Antibody (clone 9G8) | 50 μl | Monoclonal Antibodies |
|
$495.00 | Add Ask | ||
| 5 | Leading Biology | AMM00172G | CD1a / HTA1 (Mature Langerhans Cells Marker) Antibody - With BSA and Azide | 50 ug | Monoclonal Antibodies |
|
$395.00 | Add Ask | ||
| 6 | Leading Biology | AMM05750G | CEBPA Antibody | 100 μl | Monoclonal Antibodies |
|
$545.00 | Add Ask |
Leading Biology Inc.
2600 Hilltop DR, Building G, B Suite C138
Richmond, CA, 94806
Tel: 1-661-524(LBI)-0262
Email: info@leadingbiology.com
Complete this form and click send to ask us a question, request a quote or simply say hello.

You have 0 item in your cart

You have 0 item in your inquiry list