> Antigen, Antibodies, ELISA, Western Blot > Primary Antibody > Monoclonal Antibodies > GHRL / Ghrelin Antibody (clone 2F4)Brand |
Leading Biology | Catalog Number |
AMM04782G |
Product Type |
Monoclonal Antibodies | Field of Research |
|
Product Overview |
We constantly strive to ensure we provide our customers with the best antibodies. As a result of this work we offer this antibody in purified format.
We are in the process of updating our datasheets. If you have any questions regarding this update, please feel free to contact our technical support team.
This product is a high quality GHRL / Ghrelin antibody (clone 2F4).
|
||
Molecular Weight |
13kDa
|
||
Cellular Localization |
Antigen Cellular Localization:
Secreted.
|
||
Host |
Mouse
|
||
Species Reactivity |
Human
|
||
Target |
Human GHRL
|
||
Clone |
2F4
|
||
Symbol |
MTLRP
|
||
GeneID |
|||
UniProt ID |
|||
Function |
Ghrelin is the ligand for growth hormone secretagogue receptor type 1 (GHSR). Induces the release of growth hormone from the pituitary. Has an appetite-stimulating effect, induces adiposity and stimulates gastric acid secretion. Involved in growth regulation.
|
||
Summary |
Ghrelin is the ligand for growth hormone secretagogue receptor type 1 (GHSR). Induces the release of growth hormone from the pituitary. Has an appetite-stimulating effect, induces adiposity and stimulates gastric acid secretion. Involved in growth regulation.
|
||
Form |
Liquid |
||
Storage & Stability |
Store at +4°C short term. For long-term storage, aliquot and store at -20°C or below. Stable for 12 months at -20°C. Avoid repeated freeze-thaw cycles.
|
||
Applications |
WB, IHC-P, E
|
||
Dilution |
IHC-P (5 μg/ml), WB (1:500-1:1000),
|
||
Synonyms |
Appetite-regulating hormone, Growth hormone secretagogue, Growth hormone-releasing peptide, Motilin-related peptide, Protein M46, Ghrelin-27, Ghrelin-28, Ghrelin, Obestatin, GHRL, MTLRP
|
||
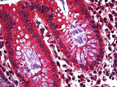
Images |
GHRL monoclonal antibody (M01), clone 2F4. Western blot of GHRL expression in HeLa.
Anti-Ghrelin antibody IHC of human colon, epithelium. |
||
Specification |
|||
Quantity |
|
||
| Select | Brand | Catalog No. | Product Name | Pack Size | Type | Field of Research | Specification | Quantity | Price(USD) | |
| 1 | Leading Biology | APG02467G | CCK4 / PTK7 Antibody (clone 4F9) | 50 μl | Monoclonal Antibodies |
|
$495.00 | Add Ask | ||
| 2 | Leading Biology | AMM04683G | GALT Antibody (clone 4C11) | 50 μg | Monoclonal Antibodies |
|
$545.00 | Add Ask | ||
| 3 | Leading Biology | AMM01402G | Vimentin (Mesenchymal Cell Marker) Antibody - With BSA and Azide | 50 ug | Monoclonal Antibodies |
|
$395.00 | Add Ask | ||
| 4 | Leading Biology | APR08280G | LTA4H / LTA4 Antibody (clone 9G8) | 50 μl | Monoclonal Antibodies |
|
$495.00 | Add Ask | ||
| 5 | Leading Biology | AMM00172G | CD1a / HTA1 (Mature Langerhans Cells Marker) Antibody - With BSA and Azide | 50 ug | Monoclonal Antibodies |
|
$395.00 | Add Ask | ||
| 6 | Leading Biology | AMM05750G | CEBPA Antibody | 100 μl | Monoclonal Antibodies |
|
$545.00 | Add Ask |
Leading Biology Inc.
2600 Hilltop DR, Building G, B Suite C138
Richmond, CA, 94806
Tel: 1-661-524(LBI)-0262
Email: info@leadingbiology.com
Complete this form and click send to ask us a question, request a quote or simply say hello.

You have 0 item in your cart

You have 0 item in your inquiry list