> Antigen, Antibodies, ELISA, Western Blot > Primary Antibody > Monoclonal Antibodies > AKR1B10 Antibody (clone 1A6)Brand |
Leading Biology | Catalog Number |
APG01656G |
Product Type |
Monoclonal Antibodies | Field of Research |
|
Product Overview |
We constantly strive to ensure we provide our customers with the best antibodies. As a result of this work we offer this antibody in purified format.
We are in the process of updating our datasheets. If you have any questions regarding this update, please feel free to contact our technical support team.
This product is a high quality AKR1B10 antibody (clone 1A6).
|
||
Molecular Weight |
36kDa
|
||
Cellular Localization |
Antigen Cellular Localization:
Lysosome. Secreted. Note=Secreted through a lysosome-mediated non-classical pathway
|
||
Host |
Mouse
|
||
Species Reactivity |
Human
|
||
Clone |
1A6
|
||
Symbol |
AKR1B11
|
||
GeneID |
|||
UniProt ID |
|||
Function |
Acts as all-trans-retinaldehyde reductase. Can efficiently reduce aliphatic and aromatic aldehydes, and is less active on hexoses (in vitro). May be responsible for detoxification of reactive aldehydes in the digested food before the nutrients are passed on to other organs.
|
||
Summary |
Acts as all-trans-retinaldehyde reductase. Can efficiently reduce aliphatic and aromatic aldehydes, and is less active on hexoses (in vitro). May be responsible for detoxification of reactive aldehydes in the digested food before the nutrients are passed on to other organs.
|
||
Form |
Liquid |
||
Storage & Stability |
Store at +4°C short term. For long-term storage, aliquot and store at -20°C or below. Stable for 12 months at -20°C. Avoid repeated freeze-thaw cycles.
|
||
Applications |
WB, IHC-P, IF, E
|
||
Dilution |
IF (10 μg/ml), IHC-P (5 μg/ml),
|
||
Synonyms |
Aldo-keto reductase family 1 member B10, 1.1.1.-, ARL-1, Aldose reductase-like, Aldose reductase-related protein, ARP, hARP, Small intestine reductase, SI reductase, AKR1B10, AKR1B11
|
||
Images |
AKR1B10 monoclonal antibody, clone 1A6 Western blot of AKR1B10 expression in HepG2.
Immunofluorescence of monoclonal antibody to AKR1B10 on HeLa cell (antibody concentration 10 ug/ml).
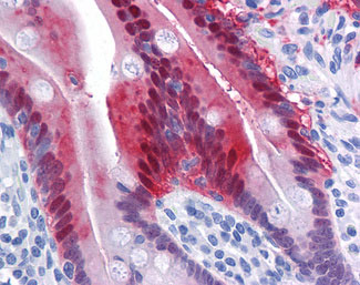
Anti-AKR1B10 antibody IHC of human small intestine. |
||
Specification |
|||
Quantity |
|
||
| Select | Brand | Catalog No. | Product Name | Pack Size | Type | Field of Research | Specification | Quantity | Price(USD) | |
| 1 | Leading Biology | APG02467G | CCK4 / PTK7 Antibody (clone 4F9) | 50 μl | Monoclonal Antibodies |
|
$495.00 | Add Ask | ||
| 2 | Leading Biology | AMM04683G | GALT Antibody (clone 4C11) | 50 μg | Monoclonal Antibodies |
|
$545.00 | Add Ask | ||
| 3 | Leading Biology | AMM01402G | Vimentin (Mesenchymal Cell Marker) Antibody - With BSA and Azide | 50 ug | Monoclonal Antibodies |
|
$395.00 | Add Ask | ||
| 4 | Leading Biology | APR08280G | LTA4H / LTA4 Antibody (clone 9G8) | 50 μl | Monoclonal Antibodies |
|
$495.00 | Add Ask | ||
| 5 | Leading Biology | AMM00172G | CD1a / HTA1 (Mature Langerhans Cells Marker) Antibody - With BSA and Azide | 50 ug | Monoclonal Antibodies |
|
$395.00 | Add Ask | ||
| 6 | Leading Biology | AMM05750G | CEBPA Antibody | 100 μl | Monoclonal Antibodies |
|
$545.00 | Add Ask |
Leading Biology Inc.
2600 Hilltop DR, Building G, B Suite C138
Richmond, CA, 94806
Tel: 1-661-524(LBI)-0262
Email: info@leadingbiology.com
Complete this form and click send to ask us a question, request a quote or simply say hello.

You have 0 item in your cart

You have 0 item in your inquiry list