> Antigen, Antibodies, ELISA, Western Blot > Primary Antibody > Monoclonal Antibodies > CYTH1 / Cytohesin-1 Antibody (clone 1D6)Brand |
Leading Biology | Catalog Number |
APR15655G |
Product Type |
Monoclonal Antibodies | Field of Research |
|
Product Overview |
We constantly strive to ensure we provide our customers with the best antibodies. As a result of this work we offer this antibody in purified format.
We are in the process of updating our datasheets. If you have any questions regarding this update, please feel free to contact our technical support team.
This product is a high quality CYTH1 / Cytohesin-1 antibody (clone 1D6).
|
||
Molecular Weight |
46kDa
|
||
Cellular Localization |
Antigen Cellular Localization:
Cell membrane; Peripheral membrane protein Cytoplasm, cytosol
|
||
Host |
Mouse
|
||
Species Reactivity |
Human
|
||
Clone |
1D6
|
||
Symbol |
D17S811E, PSCD1
|
||
GeneID |
|||
UniProt ID |
|||
Function |
Promotes guanine-nucleotide exchange on ARF1 and ARF5. Promotes the activation of ARF factors through replacement of GDP with GTP.
|
||
Summary |
Promotes guanine-nucleotide exchange on ARF1 and ARF5. Promotes the activation of ARF factors through replacement of GDP with GTP.
|
||
Form |
Liquid |
||
Storage & Stability |
Store at +4°C short term. For long-term storage, aliquot and store at -20°C or below. Stable for 12 months at -20°C. Avoid repeated freeze-thaw cycles.
|
||
Applications |
WB, IHC-P, IF, E
|
||
Dilution |
IF (10 μg/ml), IHC-P (5 μg/ml), WB (1:500-1:1000)
|
||
Synonyms |
Cytohesin-1, PH, SEC7 and coiled-coil domain-containing protein 1, SEC7 homolog B2-1, CYTH1, D17S811E, PSCD1
|
||
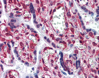
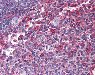
Images |
Immunofluorescence of monoclonal antibody to PSCD1 on HeLa cell (antibody concentration 10 ug/ml).
Anti-CYTH1 antibody IHC of human placenta.
Anti-CYTH1 antibody IHC of human tonsil. |
||
Specification |
|||
Quantity |
|
||
| Select | Brand | Catalog No. | Product Name | Pack Size | Type | Field of Research | Specification | Quantity | Price(USD) | |
| 1 | Leading Biology | APG02467G | CCK4 / PTK7 Antibody (clone 4F9) | 50 μl | Monoclonal Antibodies |
|
$495.00 | Add Ask | ||
| 2 | Leading Biology | AMM04683G | GALT Antibody (clone 4C11) | 50 μg | Monoclonal Antibodies |
|
$545.00 | Add Ask | ||
| 3 | Leading Biology | AMM01402G | Vimentin (Mesenchymal Cell Marker) Antibody - With BSA and Azide | 50 ug | Monoclonal Antibodies |
|
$395.00 | Add Ask | ||
| 4 | Leading Biology | APR08280G | LTA4H / LTA4 Antibody (clone 9G8) | 50 μl | Monoclonal Antibodies |
|
$495.00 | Add Ask | ||
| 5 | Leading Biology | AMM00172G | CD1a / HTA1 (Mature Langerhans Cells Marker) Antibody - With BSA and Azide | 50 ug | Monoclonal Antibodies |
|
$395.00 | Add Ask | ||
| 6 | Leading Biology | AMM05750G | CEBPA Antibody | 100 μl | Monoclonal Antibodies |
|
$545.00 | Add Ask |
Leading Biology Inc.
2600 Hilltop DR, Building G, B Suite C138
Richmond, CA, 94806
Tel: 1-661-524(LBI)-0262
Email: info@leadingbiology.com
Complete this form and click send to ask us a question, request a quote or simply say hello.

You have 0 item in your cart

You have 0 item in your inquiry list