> Antigen, Antibodies, ELISA, Western Blot > Primary Antibody > Monoclonal Antibodies > SOX9 Antibody (clone 3F11)Brand |
Leading Biology | Catalog Number |
APR13497G |
Product Type |
Monoclonal Antibodies | Field of Research |
|
Product Overview |
We constantly strive to ensure we provide our customers with the best antibodies. As a result of this work we offer this antibody in purified format.
We are in the process of updating our datasheets. If you have any questions regarding this update, please feel free to contact our technical support team.
This product is a high quality SOX9 antibody (clone 3F11).
|
||
Molecular Weight |
56kDa
|
||
Cellular Localization |
Antigen Cellular Localization:
Nucleus {ECO:0000255|PROSITE- ProRule:PRU00267}
|
||
Host |
Mouse
|
||
Species Reactivity |
Human
|
||
Clone |
3F11
|
||
GeneID |
|||
UniProt ID |
|||
Function |
Plays an important role in the normal skeletal development. May regulate the expression of other genes involved in chondrogenesis by acting as a transcription factor for these genes.
|
||
Summary |
Plays an important role in the normal skeletal development. May regulate the expression of other genes involved in chondrogenesis by acting as a transcription factor for these genes.
|
||
Form |
Liquid |
||
Storage & Stability |
Store at +4°C short term. For long-term storage, aliquot and store at -20°C or below. Stable for 12 months at -20°C. Avoid repeated freeze-thaw cycles.
|
||
Applications |
WB, IHC-P, IF, E
|
||
Dilution |
IF (10 μg/ml), IHC-P (5 μg/ml),
|
||
Synonyms |
Transcription factor SOX-9, SOX9
|
||
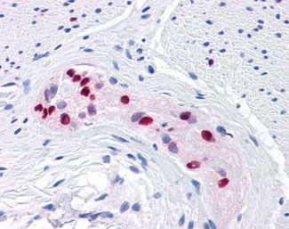
Images |
SOX9 monoclonal antibody clone 3F11 Western blot of SOX9 expression in HepG2.
Immunofluorescence of monoclonal antibody to SOX9 on HepG2 cell (antibody concentration 10 ug/ml).
Anti-SOX9 antibody IHC of human colon, myenteric plexus. |
||
Specification |
|||
Quantity |
|
||
| Select | Brand | Catalog No. | Product Name | Pack Size | Type | Field of Research | Specification | Quantity | Price(USD) | |
| 1 | Leading Biology | APG02467G | CCK4 / PTK7 Antibody (clone 4F9) | 50 μl | Monoclonal Antibodies |
|
$495.00 | Add Ask | ||
| 2 | Leading Biology | AMM04683G | GALT Antibody (clone 4C11) | 50 μg | Monoclonal Antibodies |
|
$545.00 | Add Ask | ||
| 3 | Leading Biology | AMM01402G | Vimentin (Mesenchymal Cell Marker) Antibody - With BSA and Azide | 50 ug | Monoclonal Antibodies |
|
$395.00 | Add Ask | ||
| 4 | Leading Biology | APR08280G | LTA4H / LTA4 Antibody (clone 9G8) | 50 μl | Monoclonal Antibodies |
|
$495.00 | Add Ask | ||
| 5 | Leading Biology | AMM00172G | CD1a / HTA1 (Mature Langerhans Cells Marker) Antibody - With BSA and Azide | 50 ug | Monoclonal Antibodies |
|
$395.00 | Add Ask | ||
| 6 | Leading Biology | AMM05750G | CEBPA Antibody | 100 μl | Monoclonal Antibodies |
|
$545.00 | Add Ask |
Leading Biology Inc.
2600 Hilltop DR, Building G, B Suite C138
Richmond, CA, 94806
Tel: 1-661-524(LBI)-0262
Email: info@leadingbiology.com
Complete this form and click send to ask us a question, request a quote or simply say hello.

You have 0 item in your cart

You have 0 item in your inquiry list