> Antigen, Antibodies, ELISA, Western Blot > Primary Antibody > Monoclonal Antibodies > ALOX15 / 15-Lipoxygenase Antibody (clone 3D8)Brand |
Leading Biology | Catalog Number |
APG01820G |
Product Type |
Monoclonal Antibodies | Field of Research |
|
Product Overview |
We constantly strive to ensure we provide our customers with the best antibodies. As a result of this work we offer this antibody in purified format.
We are in the process of updating our datasheets. If you have any questions regarding this update, please feel free to contact our technical support team.
This product is a high quality ALOX15 / 15-Lipoxygenase antibody (clone 3D8).
|
||
Molecular Weight |
75kDa
|
||
Cellular Localization |
Antigen Cellular Localization:
Cytoplasm, cytosol. Cell membrane; Peripheral membrane protein. Lipid droplet. Note=Predominantly cytosolic; becomes enriched at membranes upon calcium binding Translocates from the cytosol to the plasma membrane when stimulated by IL13/interleukin-13 and in macrophages binding apoptotic cells
|
||
Host |
Mouse
|
||
Species Reactivity |
Human
|
||
Clone |
3D8
|
||
Symbol |
LOG15
|
||
GeneID |
|||
UniProt ID |
|||
Function |
Non-heme iron-containing dioxygenase that catalyzes the stereo-specific peroxidation of free and esterified polyunsaturated fatty acids generating a spectrum of bioactive lipid mediators. Converts arachidonic acid into 12- hydroperoxyeicosatetraenoic acid/12-HPETE and 15- hydroperoxyeicosatetraenoic acid/15-HPETE. Also converts linoleic acid to 13-hydroperoxyoctadecadienoic acid. May also act on (12S)- hydroperoxyeicosatetraenoic acid/(12S)-HPETE to produce hepoxilin A3. Probably plays an important role in the immune and inflammatory responses. Through the oxygenation of membrane-bound phosphatidylethanolamine in macrophages may favor clearance of apoptotic cells during inflammation by resident macrophages and prevent an autoimmune response associated with the clearance of apoptotic cells by inflammatory monocytes. In parallel, may regulate actin polymerization which is crucial for several biological processes, including macrophage function. May also regulate macrophage function through regulation of the peroxisome proliferator activated receptor signaling pathway. Finally, it is also involved in the cellular response to IL13/interleukin-13. In addition to its role in the immune and inflammatory responses, may play a role in epithelial wound healing in the cornea maybe through production of lipoxin A4. May also play a role in endoplasmic reticulum stress response and the regulation of bone mass.
|
||
Summary |
Non-heme iron-containing dioxygenase that catalyzes the stereo-specific peroxidation of free and esterified polyunsaturated fatty acids generating a spectrum of bioactive lipid mediators. Converts arachidonic acid into 12- hydroperoxyeicosatetraenoic acid/12-HPETE and 15- hydroperoxyeicosatetraenoic acid/15-HPETE. Also converts linoleic acid to 13-hydroperoxyoctadecadienoic acid. May also act on (12S)- hydroperoxyeicosatetraenoic acid/(12S)-HPETE to produce hepoxilin A3. Probably plays an important role in the immune and inflammatory responses. Through the oxygenation of membrane-bound phosphatidylethanolamine in macrophages may favor clearance of apoptotic cells during inflammation by resident macrophages and prevent an autoimmune response associated with the clearance of apoptotic cells by inflammatory monocytes. In parallel, may regulate actin polymerization which is crucial for several biological processes, including macrophage function. May also regulate macrophage function through regulation of the peroxisome proliferator activated receptor signaling pathway. Finally, it is also involved in the cellular response to IL13/interleukin-13. In addition to its role in the immune and inflammatory responses, may play a role in epithelial wound healing in the cornea maybe through production of lipoxin A4. May also play a role in endoplasmic reticulum stress response and the regulation of bone mass.
|
||
Form |
Liquid |
||
Storage & Stability |
Store at +4°C short term. For long-term storage, aliquot and store at -20°C or below. Stable for 12 months at -20°C. Avoid repeated freeze-thaw cycles.
|
||
Applications |
WB, IHC-P, E
|
||
Dilution |
IHC-P (5 μg/ml)
|
||
Synonyms |
Arachidonate 15-lipoxygenase, 15-LOX, 15-LOX-1, 1.13.11.33, 12/15-lipoxygenase, Arachidonate 12-lipoxygenase, leukocyte-type, 12-LOX, 1.13.11.31, Arachidonate omega-6 lipoxygenase, ALOX15, LOG15
|
||
Images |
ALOX15 monoclonal antibody, clone 3D8 Western blot of ALOX15 expression in HeLa NE.
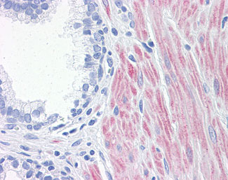
Anti-ALOX15 / 15 Lipoxygenase 1 antibody IHC of human prostate. |
||
Specification |
|||
Quantity |
|
||
| Select | Brand | Catalog No. | Product Name | Pack Size | Type | Field of Research | Specification | Quantity | Price(USD) | |
| 1 | Leading Biology | APG02467G | CCK4 / PTK7 Antibody (clone 4F9) | 50 μl | Monoclonal Antibodies |
|
$495.00 | Add Ask | ||
| 2 | Leading Biology | AMM04683G | GALT Antibody (clone 4C11) | 50 μg | Monoclonal Antibodies |
|
$545.00 | Add Ask | ||
| 3 | Leading Biology | AMM01402G | Vimentin (Mesenchymal Cell Marker) Antibody - With BSA and Azide | 50 ug | Monoclonal Antibodies |
|
$395.00 | Add Ask | ||
| 4 | Leading Biology | APR08280G | LTA4H / LTA4 Antibody (clone 9G8) | 50 μl | Monoclonal Antibodies |
|
$495.00 | Add Ask | ||
| 5 | Leading Biology | AMM00172G | CD1a / HTA1 (Mature Langerhans Cells Marker) Antibody - With BSA and Azide | 50 ug | Monoclonal Antibodies |
|
$395.00 | Add Ask | ||
| 6 | Leading Biology | AMM05750G | CEBPA Antibody | 100 μl | Monoclonal Antibodies |
|
$545.00 | Add Ask |
Leading Biology Inc.
2600 Hilltop DR, Building G, B Suite C138
Richmond, CA, 94806
Tel: 1-661-524(LBI)-0262
Email: info@leadingbiology.com
Complete this form and click send to ask us a question, request a quote or simply say hello.

You have 0 item in your cart

You have 0 item in your inquiry list