> Antigen, Antibodies, ELISA, Western Blot > Primary Antibody > Monoclonal Antibodies > Fibulin 5 AntibodyBrand |
Leading Biology | Catalog Number |
APR11912G |
Product Type |
Monoclonal Antibodies | Field of Research |
|
Product Overview |
We constantly strive to ensure we provide our customers with the best antibodies. As a result of this work we offer this antibody in purified format.
We are in the process of updating our datasheets. If you have any questions regarding this update, please feel free to contact our technical support team.
This product is a high quality Fibulin 5 antibody.
|
||
Molecular Weight |
50180 Da
|
||
Cellular Localization |
Antigen Cellular Localization:
Secreted Secreted, extracellular space, extracellular matrix. Note=co-localizes with ELN in elastic fibers.
|
||
Host |
Mouse
|
||
Species Reactivity |
Human
|
||
Clone |
3F10A5; 3F8A12
|
||
Isotype |
IgG1
|
||
Symbol |
DANCE
|
||
GeneID |
|||
UniProt ID |
|||
Function |
Essential for elastic fiber formation, is involved in the assembly of continuous elastin (ELN) polymer and promotes the interaction of microfibrils and ELN (PubMed:18185537). Stabilizes and organizes elastic fibers in the skin, lung and vasculature (By similarity). Promotes adhesion of endothelial cells through interaction of integrins and the RGD motif. Vascular ligand for integrin receptors which may play a role in vascular development and remodeling (PubMed:10428823).
|
||
Form |
Liquid. In PBS containing 0.02% sodium azide. |
||
Storage & Stability |
Store at +4°C short term. For long-term storage, aliquot and store at -20°C or below. Stable for 12 months at -20°C. Avoid repeated freeze-thaw cycles.
|
||
Applications |
WB, IHC, E
|
||
Dilution |
WB~~1/500 - 1/2000
IHC~~1/200 - 1/1000
|
||
Synonyms |
Fibulin-5, FIBL-5, Developmental arteries and neural crest EGF-like protein, Dance, Urine p50 protein, UP50, FBLN5, DANCE
|
||
Images |
Figure 1: Western blot analysis using Fibulin5 mouse mAb against truncated fibulin5 recombinant protein (1) and Hela cell lysate (2).
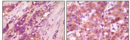
Figure 2: Immunohistochemical analysis of paraffin-embedded human stomach carcinoma (left) and breast carcinoma (right), showing cytoplasmic localization using fibulin5 mouse mAb with DAB staining. |
||
Specification |
|||
Quantity |
|
||
| Select | Brand | Catalog No. | Product Name | Pack Size | Type | Field of Research | Specification | Quantity | Price(USD) | |
| 1 | Leading Biology | APG02467G | CCK4 / PTK7 Antibody (clone 4F9) | 50 μl | Monoclonal Antibodies |
|
$495.00 | Add Ask | ||
| 2 | Leading Biology | AMM04683G | GALT Antibody (clone 4C11) | 50 μg | Monoclonal Antibodies |
|
$545.00 | Add Ask | ||
| 3 | Leading Biology | AMM01402G | Vimentin (Mesenchymal Cell Marker) Antibody - With BSA and Azide | 50 ug | Monoclonal Antibodies |
|
$395.00 | Add Ask | ||
| 4 | Leading Biology | APR08280G | LTA4H / LTA4 Antibody (clone 9G8) | 50 μl | Monoclonal Antibodies |
|
$495.00 | Add Ask | ||
| 5 | Leading Biology | AMM00172G | CD1a / HTA1 (Mature Langerhans Cells Marker) Antibody - With BSA and Azide | 50 ug | Monoclonal Antibodies |
|
$395.00 | Add Ask | ||
| 6 | Leading Biology | AMM05750G | CEBPA Antibody | 100 μl | Monoclonal Antibodies |
|
$545.00 | Add Ask |
Leading Biology Inc.
2600 Hilltop DR, Building G, B Suite C138
Richmond, CA, 94806
Tel: 1-661-524(LBI)-0262
Email: info@leadingbiology.com
Complete this form and click send to ask us a question, request a quote or simply say hello.

You have 0 item in your cart

You have 0 item in your inquiry list