> Antigen, Antibodies, ELISA, Western Blot > Primary Antibody > Monoclonal Antibodies > PPP2R4 AntibodyBrand |
Leading Biology | Catalog Number |
AMR09491G |
Product Type |
Monoclonal Antibodies | Field of Research |
|
Product Overview |
We constantly strive to ensure we provide our customers with the best antibodies. As a result of this work we offer this antibody in purified format.
We are in the process of updating our datasheets. If you have any questions regarding this update, please feel free to contact our technical support team.
This product is a high quality PPP2R4 antibody.
|
||
Molecular Weight |
41kDa
|
||
Cellular Localization |
Antigen Cellular Localization:
Cytoplasm. Nucleus
|
||
Host |
Mouse
|
||
Species Reactivity |
Human
|
||
Clone |
4D9
|
||
Isotype |
IgG1
|
||
Symbol |
PTPA
|
||
GeneID |
|||
UniProt ID |
|||
Function |
PPIases accelerate the folding of proteins. It catalyzes the cis-trans isomerization of proline imidic peptide bonds in oligopeptides. Acts as a regulatory subunit for serine/threonine- protein phosphatase 2A (PP2A) modulating its activity or substrate specificity, probably by inducing a conformational change in the catalytic subunit, a proposed direct target of the PPIase. Can reactivate inactive phosphatase PP2A-phosphatase methylesterase complexes (PP2A(i)) in presence of ATP and Mg(2+) (By similarity). Reversibly stimulates the variable phosphotyrosyl phosphatase activity of PP2A core heterodimer PP2A(D) in presence of ATP and Mg(2+) (in vitro). The phosphotyrosyl phosphatase activity is dependent of an ATPase activity of the PP2A(D):PPP2R4 complex. Is involved in apoptosis; the function appears to be independent from PP2A.
|
||
Form |
Liquid. In PBS containing 0.02% sodium azide. |
||
Storage & Stability |
Store at +4°C short term. For long-term storage, aliquot and store at -20°C or below. Stable for 12 months at -20°C. Avoid repeated freeze-thaw cycles.
|
||
Applications |
WB, IHC, FC, ICC, E
|
||
Dilution |
E~~1/10000
WB~~1/500 - 1/2000
IHC~~1/200 - 1/1000
IF~~1/200 - 1/1000
FC~~1/200 - 1/400
|
||
Synonyms |
Serine/threonine-protein phosphatase 2A activator, 5.2.1.8, PP2A, subunit B', PR53 isoform, Phosphotyrosyl phosphatase activator, PTPA, Serine/threonine-protein phosphatase 2A regulatory subunit 4, Serine/threonine-protein phosphatase 2A regulatory subunit B', PPP2R4, PTPA
|
||
Images |
Black line: Control Antigen (100 ng); Purple line: Antigen(10ng); Blue line: Antigen (50 ng); Red line: Antigen (100 ng);
Figure 1: Western blot analysis using PPP2R4 mAb against human PPP2R4 (AA: 1-154) recombinant protein. (Expected MW is 41 kDa)
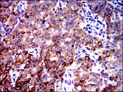
Figure 2: Immunohistochemical analysis of paraffin-embedded cervical cancer tissues using PPP2R4 mouse mAb with DAB staining. |
||
Specification |
|||
Quantity |
|
||
| Select | Brand | Catalog No. | Product Name | Pack Size | Type | Field of Research | Specification | Quantity | Price(USD) | |
| 1 | Leading Biology | APG02467G | CCK4 / PTK7 Antibody (clone 4F9) | 50 μl | Monoclonal Antibodies |
|
$495.00 | Add Ask | ||
| 2 | Leading Biology | AMM04683G | GALT Antibody (clone 4C11) | 50 μg | Monoclonal Antibodies |
|
$545.00 | Add Ask | ||
| 3 | Leading Biology | AMM01402G | Vimentin (Mesenchymal Cell Marker) Antibody - With BSA and Azide | 50 ug | Monoclonal Antibodies |
|
$395.00 | Add Ask | ||
| 4 | Leading Biology | APR08280G | LTA4H / LTA4 Antibody (clone 9G8) | 50 μl | Monoclonal Antibodies |
|
$495.00 | Add Ask | ||
| 5 | Leading Biology | AMM00172G | CD1a / HTA1 (Mature Langerhans Cells Marker) Antibody - With BSA and Azide | 50 ug | Monoclonal Antibodies |
|
$395.00 | Add Ask | ||
| 6 | Leading Biology | AMM05750G | CEBPA Antibody | 100 μl | Monoclonal Antibodies |
|
$545.00 | Add Ask |
Leading Biology Inc.
2600 Hilltop DR, Building G, B Suite C138
Richmond, CA, 94806
Tel: 1-661-524(LBI)-0262
Email: info@leadingbiology.com
Complete this form and click send to ask us a question, request a quote or simply say hello.

You have 0 item in your cart

You have 0 item in your inquiry list