> Antigen, Antibodies, ELISA, Western Blot > Primary Antibody > Monoclonal Antibodies > PODXL AntibodyBrand |
Leading Biology | Catalog Number |
AMR09417G |
Product Type |
Monoclonal Antibodies | Field of Research |
|
Product Overview |
We constantly strive to ensure we provide our customers with the best antibodies. As a result of this work we offer this antibody in purified format.
We are in the process of updating our datasheets. If you have any questions regarding this update, please feel free to contact our technical support team.
This product is a high quality PODXL antibody.
|
||
Molecular Weight |
49kDa
|
||
Cellular Localization |
Antigen Cellular Localization:
Apical cell membrane. Cell projection, lamellipodium. Cell projection, filopodium. Cell projection, ruffle. Cell projection, microvillus. Membrane raft. Membrane; Single-pass type I membrane protein. Note=In single attached epithelial cells is restricted to a preapical pole on the free plasma membrane whereas other apical and basolateral proteins are not yet polarized Colocalizes with SLC9A3R2 at the apical plasma membrane during epithelial polarization. Colocalizes with SLC9A3R1 at the trans- Golgi network (transiently) and at the apical plasma membrane. Its association with the membrane raft is transient. Colocalizes with actin filaments, EZR and SLC9A3R1 in a punctate pattern at the apical cell surface where microvilli form. Colocalizes with EZR and SLC9A3R2 at the apical cell membrane of glomerular epithelium cells (By similarity). Forms granular, punctuated pattern, forming patches, preferentially adopting a polar distribution, located on the migrating poles of the cell or forming clusters along the terminal ends of filipodia establishing contact with the endothelial cells. Colocalizes with the submembrane actin of lamellipodia, particularly associated with ruffles. Colocalizes with vinculin at protrusions of cells. Colocalizes with ITGB1 Colocalizes with PARD3, PRKCI, EXOC5, OCLN, RAB11A and RAB8A in apical membrane initiation sites (AMIS) during the generation of apical surface and luminogenesis (By similarity).
|
||
Host |
Mouse
|
||
Species Reactivity |
Human
|
||
Clone |
5F5
|
||
Isotype |
IgG1
|
||
Symbol |
PCLP, PCLP1
|
||
GeneID |
|||
UniProt ID |
|||
Function |
Involved in the regulation of both adhesion and cell morphology and cancer progression. Function as an anti-adhesive molecule that maintains an open filtration pathway between neighboring foot processes in the podocyte by charge repulsion. Acts as a pro-adhesive molecule, enhancing the adherence of cells to immobilized ligands, increasing the rate of migration and cell- cell contacts in an integrin-dependent manner. Induces the formation of apical actin-dependent microvilli. Involved in the formation of a preapical plasma membrane subdomain to set up inital epithelial polarization and the apical lumen formation during renal tubulogenesis. Plays a role in cancer development and aggressiveness by inducing cell migration and invasion through its interaction with the actin-binding protein EZR. Affects EZR- dependent signaling events, leading to increased activities of the MAPK and PI3K pathways in cancer cells.
|
||
Form |
Liquid. In PBS containing 0.02% sodium azide. |
||
Storage & Stability |
Store at +4°C short term. For long-term storage, aliquot and store at -20°C or below. Stable for 12 months at -20°C. Avoid repeated freeze-thaw cycles.
|
||
Applications |
WB, IHC, FC, E
|
||
Dilution |
E~~1/10000
WB~~1/500 - 1/2000
IHC~~1/500 - 1/2000
FC~~1/200 - 1/400
|
||
Synonyms |
Podocalyxin, GCTM-2 antigen, Gp200, Podocalyxin-like protein 1, PC, PCLP-1, PODXL, PCLP, PCLP1
|
||
Images |
Red: Control Antigen (100ng); Purple: Antigen (10ng); Green: Antigen (50ng); Blue: Antigen (100ng);
Figure 1: Western blot analysis using PODXL mAb against human PODXL (AA: 109-324) recombinant protein. (Expected MW is 47.3 kDa)
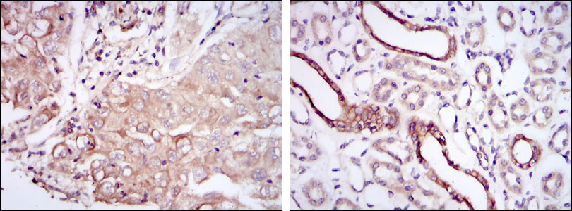
Figure 2: Immunohistochemical analysis of paraffin-embedded lung cancer tissues (left) and kidney tissues (right) using PODXL mouse mAb with DAB staining. |
||
Specification |
|||
Quantity |
|
||
| Select | Brand | Catalog No. | Product Name | Pack Size | Type | Field of Research | Specification | Quantity | Price(USD) | |
| 1 | Leading Biology | APG02467G | CCK4 / PTK7 Antibody (clone 4F9) | 50 μl | Monoclonal Antibodies |
|
$495.00 | Add Ask | ||
| 2 | Leading Biology | AMM04683G | GALT Antibody (clone 4C11) | 50 μg | Monoclonal Antibodies |
|
$545.00 | Add Ask | ||
| 3 | Leading Biology | AMM01402G | Vimentin (Mesenchymal Cell Marker) Antibody - With BSA and Azide | 50 ug | Monoclonal Antibodies |
|
$395.00 | Add Ask | ||
| 4 | Leading Biology | APR08280G | LTA4H / LTA4 Antibody (clone 9G8) | 50 μl | Monoclonal Antibodies |
|
$495.00 | Add Ask | ||
| 5 | Leading Biology | AMM00172G | CD1a / HTA1 (Mature Langerhans Cells Marker) Antibody - With BSA and Azide | 50 ug | Monoclonal Antibodies |
|
$395.00 | Add Ask | ||
| 6 | Leading Biology | AMM05750G | CEBPA Antibody | 100 μl | Monoclonal Antibodies |
|
$545.00 | Add Ask |
Leading Biology Inc.
2600 Hilltop DR, Building G, B Suite C138
Richmond, CA, 94806
Tel: 1-661-524(LBI)-0262
Email: info@leadingbiology.com
Complete this form and click send to ask us a question, request a quote or simply say hello.

You have 0 item in your cart

You have 0 item in your inquiry list