> Antigen, Antibodies, ELISA, Western Blot > Primary Antibody > Monoclonal Antibodies > RPS6KB2 / S6K2 Antibody (clone 4B11)Brand |
Leading Biology | Catalog Number |
AMR09775G |
Product Type |
Monoclonal Antibodies | Field of Research |
|
Product Overview |
We constantly strive to ensure we provide our customers with the best antibodies. As a result of this work we offer this antibody in purified format.
We are in the process of updating our datasheets. If you have any questions regarding this update, please feel free to contact our technical support team.
This product is a high quality RPS6KB2 / S6K2 antibody (clone 4B11).
|
||
Molecular Weight |
53455 Da
|
||
Cellular Localization |
Antigen Cellular Localization:
Cytoplasm. Nucleus.
|
||
Host |
Mouse
|
||
Species Reactivity |
Human
|
||
Target |
Human RPS6KB2 / S6K2
|
||
Clone |
4B11
|
||
Isotype |
IgG2a,k
|
||
Symbol |
STK14B
|
||
GeneID |
|||
UniProt ID |
|||
Function |
Phosphorylates specifically ribosomal protein S6.
|
||
Summary |
Phosphorylates specifically ribosomal protein S6.
|
||
Form |
Liquid |
||
Storage & Stability |
Store at +4°C short term. For long-term storage, aliquot and store at -20°C or below. Stable for 12 months at -20°C. Avoid repeated freeze-thaw cycles.
|
||
Applications |
WB, IHC-P, IF, E
|
||
Dilution |
IF (10 μg/ml), IHC-P (10 μg/ml),
|
||
Synonyms |
RPS6KB2, KLS, p70 S6K-beta, p70-beta-1, p70-beta-2, p70S6Kb, p70 ribosomal S6 kinase beta, p70(S6K)-beta, p70-beta, S6K-beta, S6K-beta-2, S6K-beta2, SRK, p70-S6K 2, S6 kinase-related kinase, p70 S6 kinase beta, p70 S6KB, p70S6K2, S6 kinase 2, S6K2, STK14B
|
||
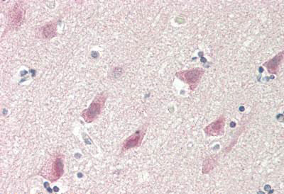
Images |
Human Brain, Cortex: Formalin-Fixed, Paraffin-Embedded (FFPE)
Immunofluorescence of monoclonal antibody to RPS6KB2 on HeLa cell .
Western Blot analysis of RPS6KB2 expression in transfected 293T cell line by RPS6KB2 monoclonal... |
||
Specification |
|||
Quantity |
|
||
| Select | Brand | Catalog No. | Product Name | Pack Size | Type | Field of Research | Specification | Quantity | Price(USD) | |
| 1 | Leading Biology | APG02467G | CCK4 / PTK7 Antibody (clone 4F9) | 50 μl | Monoclonal Antibodies |
|
$495.00 | Add Ask | ||
| 2 | Leading Biology | AMM04683G | GALT Antibody (clone 4C11) | 50 μg | Monoclonal Antibodies |
|
$545.00 | Add Ask | ||
| 3 | Leading Biology | AMM01402G | Vimentin (Mesenchymal Cell Marker) Antibody - With BSA and Azide | 50 ug | Monoclonal Antibodies |
|
$395.00 | Add Ask | ||
| 4 | Leading Biology | APR08280G | LTA4H / LTA4 Antibody (clone 9G8) | 50 μl | Monoclonal Antibodies |
|
$495.00 | Add Ask | ||
| 5 | Leading Biology | AMM00172G | CD1a / HTA1 (Mature Langerhans Cells Marker) Antibody - With BSA and Azide | 50 ug | Monoclonal Antibodies |
|
$395.00 | Add Ask | ||
| 6 | Leading Biology | AMM05750G | CEBPA Antibody | 100 μl | Monoclonal Antibodies |
|
$545.00 | Add Ask |
Leading Biology Inc.
2600 Hilltop DR, Building G, B Suite C138
Richmond, CA, 94806
Tel: 1-661-524(LBI)-0262
Email: info@leadingbiology.com
Complete this form and click send to ask us a question, request a quote or simply say hello.

You have 0 item in your cart

You have 0 item in your inquiry list