> Antigen, Antibodies, ELISA, Western Blot > Primary Antibody > Monoclonal Antibodies > S100A10 AntibodyBrand |
Leading Biology | Catalog Number |
APR13182G |
Product Type |
Monoclonal Antibodies | Field of Research |
|
Product Overview |
We constantly strive to ensure we provide our customers with the best antibodies. As a result of this work we offer this antibody in purified format.
We are in the process of updating our datasheets. If you have any questions regarding this update, please feel free to contact our technical support team.
This product is a high quality S100A10 antibody.
|
||
Molecular Weight |
11kDa
|
||
Host |
Mouse
|
||
Species Reactivity |
Human
|
||
Target |
Ni-NTA purified truncated recombinant P11 expressed in E. Coli strain BL21 (DE3)
|
||
Symbol |
ANX2LG, CAL1L, CLP11
|
||
GeneID |
|||
UniProt ID |
|||
Function |
Because S100A10 induces the dimerization of ANXA2/p36, it may function as a regulator of protein phosphorylation in that the ANXA2 monomer is the preferred target (in vitro) of tyrosine- specific kinase.
|
||
Summary |
Because S100A10 induces the dimerization of ANXA2/p36, it may function as a regulator of protein phosphorylation in that the ANXA2 monomer is the preferred target (in vitro) of tyrosine- specific kinase.
|
||
Form |
Liquid. In PBS containing 0.02% sodium azide. |
||
Storage & Stability |
Store at +4°C short term. For long-term storage, aliquot and store at -20°C or below. Stable for 12 months at -20°C. Avoid repeated freeze-thaw cycles.
|
||
Applications |
WB, IHC-P, IF, E
|
||
Dilution |
ELISA (1:10000), IF (1:100-1:500), IHC-P (1:200)
|
||
Synonyms |
Protein S100-A10, Calpactin I light chain, Calpactin-1 light chain, Cellular ligand of annexin II, S100 calcium-binding protein A10, p10 protein, p11, S100A10, ANX2LG, CAL1L, CLP11
|
||
Images |
Confocal immunofluorescence of HeLa (left) and L-02 (right) cells using S100A10/P11 mouse...
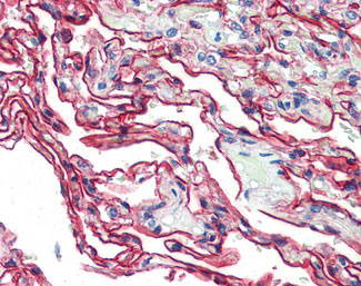
Anti-S100A10 antibody IHC of human lung.
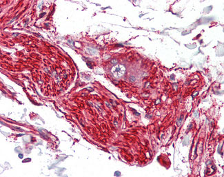
Anti-S100A10 antibody IHC of human nerve and ganglion cell. |
||
Specification |
|||
Quantity |
|
||
| Select | Brand | Catalog No. | Product Name | Pack Size | Type | Field of Research | Specification | Quantity | Price(USD) | |
| 1 | Leading Biology | APG02467G | CCK4 / PTK7 Antibody (clone 4F9) | 50 μl | Monoclonal Antibodies |
|
$495.00 | Add Ask | ||
| 2 | Leading Biology | AMM04683G | GALT Antibody (clone 4C11) | 50 μg | Monoclonal Antibodies |
|
$545.00 | Add Ask | ||
| 3 | Leading Biology | AMM01402G | Vimentin (Mesenchymal Cell Marker) Antibody - With BSA and Azide | 50 ug | Monoclonal Antibodies |
|
$395.00 | Add Ask | ||
| 4 | Leading Biology | APR08280G | LTA4H / LTA4 Antibody (clone 9G8) | 50 μl | Monoclonal Antibodies |
|
$495.00 | Add Ask | ||
| 5 | Leading Biology | AMM00172G | CD1a / HTA1 (Mature Langerhans Cells Marker) Antibody - With BSA and Azide | 50 ug | Monoclonal Antibodies |
|
$395.00 | Add Ask | ||
| 6 | Leading Biology | AMM05750G | CEBPA Antibody | 100 μl | Monoclonal Antibodies |
|
$545.00 | Add Ask |
Leading Biology Inc.
2600 Hilltop DR, Building G, B Suite C138
Richmond, CA, 94806
Tel: 1-661-524(LBI)-0262
Email: info@leadingbiology.com
Complete this form and click send to ask us a question, request a quote or simply say hello.

You have 0 item in your cart

You have 0 item in your inquiry list