> Antigen, Antibodies, ELISA, Western Blot > Primary Antibody > Monoclonal Antibodies > TPSAB1 / Mast Cell Tryptase Antibody (clone AA1)Brand |
Leading Biology | Catalog Number |
APR10528G |
Product Type |
Monoclonal Antibodies | Field of Research |
|
Product Overview |
We constantly strive to ensure we provide our customers with the best antibodies. As a result of this work we offer this antibody in purified format.
We are in the process of updating our datasheets. If you have any questions regarding this update, please feel free to contact our technical support team.
This product is a high quality TPSAB1 / Mast Cell Tryptase antibody (clone AA1).
|
||
Molecular Weight |
31kDa
|
||
Cellular Localization |
Antigen Cellular Localization:
Secreted. Note=Released from the secretory granules upon mast cell activation.
|
||
Host |
Mouse
|
||
Species Reactivity |
Human, Rat, Monkey, Dog, Cat
|
||
Target |
Recognizes human mast cell tryptase, both alpha and beta isoforms. Is an excellent marker for mast cells, and does not bind to any other cell type in immunohistology.
|
||
Clone |
AA1
|
||
Symbol |
TPS1, TPS2, TPSB1
|
||
GeneID |
|||
UniProt ID |
|||
Function |
Tryptase is the major neutral protease present in mast cells and is secreted upon the coupled activation-degranulation response of this cell type.
|
||
Summary |
Tryptase is the major neutral protease present in mast cells and is secreted upon the coupled activation-degranulation response of this cell type.
|
||
Form |
Liquid |
||
Storage & Stability |
Store at +4°C short term. For long-term storage, aliquot and store at -20°C or below. Stable for 12 months at -20°C. Avoid repeated freeze-thaw cycles.
|
||
Applications |
WB, IHC-P, E, IHC-Fr
|
||
Dilution |
IHC-P (2.5 μg/ml)
|
||
Synonyms |
Tryptase alpha/beta-1, Tryptase-1, 3.4.21.59, Tryptase I, Tryptase alpha-1, TPSAB1, TPS1, TPS2, TPSB1
|
||
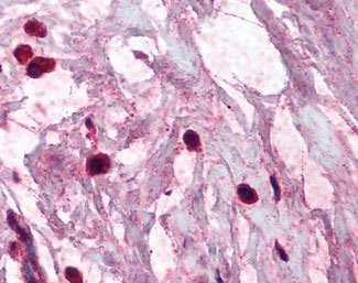
Images |
Anti-TPSAB1 / Mast Cell Tryptase antibody IHC of human breast, mast cells. |
||
Specification |
|||
Quantity |
|
||
| Select | Brand | Catalog No. | Product Name | Pack Size | Type | Field of Research | Specification | Quantity | Price(USD) | |
| 1 | Leading Biology | APG02467G | CCK4 / PTK7 Antibody (clone 4F9) | 50 μl | Monoclonal Antibodies |
|
$495.00 | Add Ask | ||
| 2 | Leading Biology | AMM04683G | GALT Antibody (clone 4C11) | 50 μg | Monoclonal Antibodies |
|
$545.00 | Add Ask | ||
| 3 | Leading Biology | AMM01402G | Vimentin (Mesenchymal Cell Marker) Antibody - With BSA and Azide | 50 ug | Monoclonal Antibodies |
|
$395.00 | Add Ask | ||
| 4 | Leading Biology | APR08280G | LTA4H / LTA4 Antibody (clone 9G8) | 50 μl | Monoclonal Antibodies |
|
$495.00 | Add Ask | ||
| 5 | Leading Biology | AMM00172G | CD1a / HTA1 (Mature Langerhans Cells Marker) Antibody - With BSA and Azide | 50 ug | Monoclonal Antibodies |
|
$395.00 | Add Ask | ||
| 6 | Leading Biology | AMM05750G | CEBPA Antibody | 100 μl | Monoclonal Antibodies |
|
$545.00 | Add Ask |
Leading Biology Inc.
2600 Hilltop DR, Building G, B Suite C138
Richmond, CA, 94806
Tel: 1-661-524(LBI)-0262
Email: info@leadingbiology.com
Complete this form and click send to ask us a question, request a quote or simply say hello.

You have 0 item in your cart

You have 0 item in your inquiry list