> Antigen, Antibodies, ELISA, Western Blot > Primary Antibody > Monoclonal Antibodies > NAK / TBK1 Antibody (aa563-577, clone 108A429)Brand |
Leading Biology | Catalog Number |
APR17527G |
Product Type |
Monoclonal Antibodies | Field of Research |
|
Product Overview |
We constantly strive to ensure we provide our customers with the best antibodies. As a result of this work we offer this antibody in purified format.
We are in the process of updating our datasheets. If you have any questions regarding this update, please feel free to contact our technical support team.
This product is a high quality NAK / TBK1 antibody (aa563-577, clone 108A429).
|
||
Molecular Weight |
84kDa
|
||
Cellular Localization |
Antigen Cellular Localization:
Cytoplasm. Note=Upon mitogen stimulation or triggering of the immune system, TBK1 is recruited to the exocyst by EXOC2
|
||
Host |
Mouse
|
||
Species Reactivity |
Human, Mouse, Rat, Rabbit, Hamster, Monkey, Pig, Horse, Bovine, Dog
|
||
Target |
A synthetic peptide corresponding to amino acids 563-577 YYQFKKDKAERRLAYC of human TBK1. GenBank no. NP-037386.1 was used as immunogen. This sequence is 100% conserved between human, mouse, rat, dog and cow.
|
||
Clone |
108A429
|
||
Symbol |
NAK
|
||
GeneID |
|||
UniProt ID |
|||
Function |
Serine/threonine kinase that plays an essential role in regulating inflammatory responses to foreign agents. Following activation of toll-like receptors by viral or bacterial components, associates with TRAF3 and TANK and phosphorylates interferon regulatory factors (IRFs) IRF3 and IRF7 as well as DDX3X. This activity allows subsequent homodimerization and nuclear translocation of the IRFs leading to transcriptional activation of pro-inflammatory and antiviral genes including IFNA and IFNB. In order to establish such an antiviral state, TBK1 form several different complexes whose composition depends on the type of cell and cellular stimuli. Thus, several scaffolding molecules including FADD, TRADD, MAVS, AZI2, TANK or TBKBP1/SINTBAD can be recruited to the TBK1-containing-complexes. Under particular conditions, functions as a NF-kappa-B effector by phosphorylating NF-kappa-B inhibitor alpha/NFKBIA, IKBKB or RELA to translocate NF-Kappa-B to the nucleus. Restricts bacterial proliferation by phosphorylating the autophagy receptor OPTN/Optineurin on 'Ser- 177', thus enhancing LC3 binding affinity and antibacterial autophagy. Phosphorylates and activates AKT1. Seems to play a role in energy balance regulation by sustaining a state of chronic, low-grade inflammation in obesity, wich leads to a negative impact on insulin sensitivity. Attenuates retroviral budding by phosphorylating the endosomal sorting complex required for transport-I (ESCRT-I) subunit VPS37C. Phosphorylates Borna disease virus (BDV) P protein.
|
||
Summary |
Serine/threonine kinase that plays an essential role in regulating inflammatory responses to foreign agents. Following activation of toll-like receptors by viral or bacterial components, associates with TRAF3 and TANK and phosphorylates interferon regulatory factors (IRFs) IRF3 and IRF7 as well as DDX3X. This activity allows subsequent homodimerization and nuclear translocation of the IRFs leading to transcriptional activation of pro-inflammatory and antiviral genes including IFNA and IFNB. In order to establish such an antiviral state, TBK1 form several different complexes whose composition depends on the type of cell and cellular stimuli. Thus, several scaffolding molecules including FADD, TRADD, MAVS, AZI2, TANK or TBKBP1/SINTBAD can be recruited to the TBK1-containing-complexes. Under particular conditions, functions as a NF-kappa-B effector by phosphorylating NF-kappa-B inhibitor alpha/NFKBIA, IKBKB or RELA to translocate NF-Kappa-B to the nucleus. Restricts bacterial proliferation by phosphorylating the autophagy receptor OPTN/Optineurin on 'Ser- 177', thus enhancing LC3 binding affinity and antibacterial autophagy. Phosphorylates and activates AKT1. Seems to play a role in energy balance regulation by sustaining a state of chronic, low-grade inflammation in obesity, wich leads to a negative impact on insulin sensitivity. Attenuates retroviral budding by phosphorylating the endosomal sorting complex required for transport-I (ESCRT-I) subunit VPS37C. Phosphorylates Borna disease virus (BDV) P protein.
|
||
Form |
Liquid |
||
Storage & Stability |
Store at +4°C short term. For long-term storage, aliquot and store at -20°C or below. Stable for 12 months at -20°C. Avoid repeated freeze-thaw cycles.
|
||
Applications |
WB, IHC-P
|
||
Dilution |
IHC-P (10 μg/ml), WB (1-2 μg/ml),
|
||
Synonyms |
Serine/threonine-protein kinase TBK1, 2.7.11.1, NF-kappa-B-activating kinase, T2K, TANK-binding kinase 1, TBK1, NAK
|
||
Images |
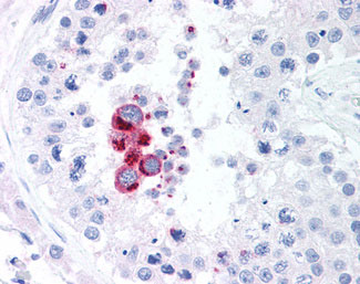
Anti-TBK1 antibody IHC of human testis. |
||
Specification |
|||
Quantity |
|
||
| Select | Brand | Catalog No. | Product Name | Pack Size | Type | Field of Research | Specification | Quantity | Price(USD) | |
| 1 | Leading Biology | APG02467G | CCK4 / PTK7 Antibody (clone 4F9) | 50 μl | Monoclonal Antibodies |
|
$495.00 | Add Ask | ||
| 2 | Leading Biology | AMM04683G | GALT Antibody (clone 4C11) | 50 μg | Monoclonal Antibodies |
|
$545.00 | Add Ask | ||
| 3 | Leading Biology | AMM01402G | Vimentin (Mesenchymal Cell Marker) Antibody - With BSA and Azide | 50 ug | Monoclonal Antibodies |
|
$395.00 | Add Ask | ||
| 4 | Leading Biology | APR08280G | LTA4H / LTA4 Antibody (clone 9G8) | 50 μl | Monoclonal Antibodies |
|
$495.00 | Add Ask | ||
| 5 | Leading Biology | AMM00172G | CD1a / HTA1 (Mature Langerhans Cells Marker) Antibody - With BSA and Azide | 50 ug | Monoclonal Antibodies |
|
$395.00 | Add Ask | ||
| 6 | Leading Biology | AMM05750G | CEBPA Antibody | 100 μl | Monoclonal Antibodies |
|
$545.00 | Add Ask |
Leading Biology Inc.
2600 Hilltop DR, Building G, B Suite C138
Richmond, CA, 94806
Tel: 1-661-524(LBI)-0262
Email: info@leadingbiology.com
Complete this form and click send to ask us a question, request a quote or simply say hello.

You have 0 item in your cart

You have 0 item in your inquiry list