> Antigen, Antibodies, ELISA, Western Blot > Primary Antibody > Monoclonal Antibodies > C5AR1 / CD88 / C5a Receptor Antibody (clone S5/1)Brand |
Leading Biology | Catalog Number |
APG02301G |
Product Type |
Monoclonal Antibodies | Field of Research |
|
Product Overview |
We constantly strive to ensure we provide our customers with the best antibodies. As a result of this work we offer this antibody in purified format.
We are in the process of updating our datasheets. If you have any questions regarding this update, please feel free to contact our technical support team.
This product is a high quality C5AR1 / CD88 / C5a Receptor antibody (clone S5/1).
|
||
Molecular Weight |
39kDa
|
||
Cellular Localization |
Antigen Cellular Localization:
Cell membrane; Multi-pass membrane protein. Cytoplasmic vesicle. Note=Phosphorylated C5aR colocalizes with ARRB1 and ARRB2 in cytoplasmic vesicles
|
||
Host |
Mouse
|
||
Species Reactivity |
Human, Rabbit, Bovine
|
||
Target |
Recognizes the C5a receptor (C5aR) CD88, which is predominantly expressed on cells of the myeloid lineage. Clone S5/1 was raised against a synthetic peptide comprising the N-terminal extracellular domain of the C5aR (met1-Asn31) and has recently been ...
|
||
Clone |
S5/1
|
||
Symbol |
C5AR, C5R1
|
||
GeneID |
|||
UniProt ID |
|||
Function |
Receptor for the chemotactic and inflammatory peptide anaphylatoxin C5a (PubMed:1847994, PubMed:8182049, PubMed:7622471, PubMed:9553099, PubMed:10636859, PubMed:15153520). The ligand interacts with at least two sites on the receptor: a high-affinity site on the extracellular N-terminus, and a second site in the transmembrane region which activates downstream signaling events (PubMed:8182049, PubMed:7622471, PubMed:9553099). Receptor activation stimulates chemotaxis, granule enzyme release, intracellular calcium release and superoxide anion production (PubMed:10636859, PubMed:15153520).
|
||
Summary |
Receptor for the chemotactic and inflammatory peptide anaphylatoxin C5a (PubMed:1847994, PubMed:8182049, PubMed:7622471, PubMed:9553099, PubMed:10636859, PubMed:15153520). The ligand interacts with at least two sites on the receptor: a high-affinity site on the extracellular N-terminus, and a second site in the transmembrane region which activates downstream signaling events (PubMed:8182049, PubMed:7622471, PubMed:9553099). Receptor activation stimulates chemotaxis, granule enzyme release, intracellular calcium release and superoxide anion production (PubMed:10636859, PubMed:15153520).
|
||
Form |
Liquid |
||
Storage & Stability |
Store at +4°C short term. For long-term storage, aliquot and store at -20°C or below. Stable for 12 months at -20°C. Avoid repeated freeze-thaw cycles.
|
||
Applications |
WB, IHC-P, Flo, Func
|
||
Dilution |
Flo (1:50-1:100), IHC-P (2.5 μg/ml),
|
||
Synonyms |
C5a anaphylatoxin chemotactic receptor 1, C5a anaphylatoxin chemotactic receptor, C5a-R, C5aR, CD88, C5AR1, C5AR, C5R1
|
||
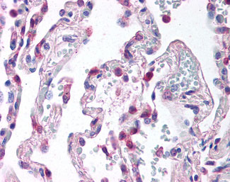
Images |
Anti-C5AR1 / CD88 antibody IHC of human lung. |
||
Specification |
|||
Quantity |
|
||
| Select | Brand | Catalog No. | Product Name | Pack Size | Type | Field of Research | Specification | Quantity | Price(USD) | |
| 1 | Leading Biology | APG02467G | CCK4 / PTK7 Antibody (clone 4F9) | 50 μl | Monoclonal Antibodies |
|
$495.00 | Add Ask | ||
| 2 | Leading Biology | AMM04683G | GALT Antibody (clone 4C11) | 50 μg | Monoclonal Antibodies |
|
$545.00 | Add Ask | ||
| 3 | Leading Biology | AMM01402G | Vimentin (Mesenchymal Cell Marker) Antibody - With BSA and Azide | 50 ug | Monoclonal Antibodies |
|
$395.00 | Add Ask | ||
| 4 | Leading Biology | APR08280G | LTA4H / LTA4 Antibody (clone 9G8) | 50 μl | Monoclonal Antibodies |
|
$495.00 | Add Ask | ||
| 5 | Leading Biology | AMM00172G | CD1a / HTA1 (Mature Langerhans Cells Marker) Antibody - With BSA and Azide | 50 ug | Monoclonal Antibodies |
|
$395.00 | Add Ask | ||
| 6 | Leading Biology | AMM05750G | CEBPA Antibody | 100 μl | Monoclonal Antibodies |
|
$545.00 | Add Ask |
Leading Biology Inc.
2600 Hilltop DR, Building G, B Suite C138
Richmond, CA, 94806
Tel: 1-661-524(LBI)-0262
Email: info@leadingbiology.com
Complete this form and click send to ask us a question, request a quote or simply say hello.

You have 0 item in your cart

You have 0 item in your inquiry list