> Antigen, Antibodies, ELISA, Western Blot > Primary Antibody > Monoclonal Antibodies > Proinsulin Antibody (Clone HPI-B5)Brand |
Leading Biology | Catalog Number |
AMR09558G |
Product Type |
Monoclonal Antibodies | Field of Research |
|
Product Overview |
We constantly strive to ensure we provide our customers with the best antibodies. As a result of this work we offer this antibody in purified format.
We are in the process of updating our datasheets. If you have any questions regarding this update, please feel free to contact our technical support team.
This product is a high quality Proinsulin antibody (Clone HPI-B5).
|
||
Molecular Weight |
11981 Da
|
||
Cellular Localization |
Antigen Cellular Localization:
Secreted.
|
||
Host |
Mouse
|
||
Species Reactivity |
Human, Pig, Bovine
|
||
Target |
ProInsulin
|
||
Clone |
HPI-B5
|
||
Isotype |
Mouse IgG1
|
||
GeneID |
|||
UniProt ID |
|||
Function |
Insulin decreases blood glucose concentration. It increases cell permeability to monosaccharides, amino acids and fatty acids. It accelerates glycolysis, the pentose phosphate cycle, and glycogen synthesis in liver.
|
||
Summary |
Proinsulin is a prohormone precursor to Insulin, made by the pancreas in response to increased blood s μgar. Proinsulin is 39 amino acids longer than the mature Insulin, of which 4 are completely lost and the remaining 35 forms the C-peptide. The measurement of Proinsulin in serum provides a useful, valuable information for the diagnosis of insulinomas. Proinsulin levels have also been shown to be elevated in non-insulin dependent diabetics (NIDDM), in insulin dependent diabetics (IDDM) and other clinical situations. The antibody recognizes insulin and recombinant proinsulin, but does not react with synthetic C-peptide.
|
||
Form |
Liquid |
||
Storage & Stability |
Store at +4°C short term. For long-term storage, aliquot and store at -20°C or below. Stable for 12 months at -20°C. Avoid repeated freeze-thaw cycles.
|
||
Applications |
WB, IHC, E
|
||
Synonyms |
Proinsulin
|
||
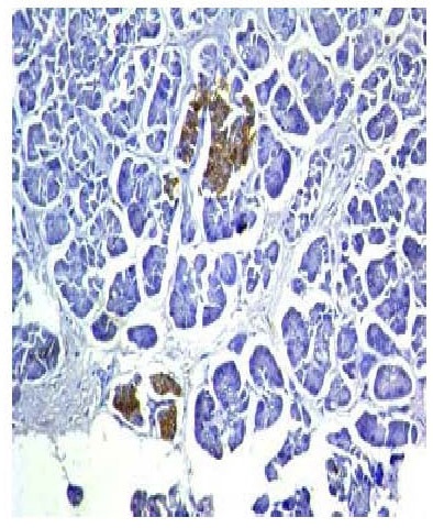
Images |
Serial dilution of the recombinant insulin was done to check the affinity. The antibody used at 10 μg/ml can sensitively detect antigen up to 4 ng per well.
Antigen retrieval was done with Tris-EDTA, pH 9.0 in pressure cooker for 20 minutes. Optimum staining of the islet cell was observed |
||
Specification |
|||
Quantity |
|
||
| Select | Brand | Catalog No. | Product Name | Pack Size | Type | Field of Research | Specification | Quantity | Price(USD) | |
| 1 | Leading Biology | APG02467G | CCK4 / PTK7 Antibody (clone 4F9) | 50 μl | Monoclonal Antibodies |
|
$495.00 | Add Ask | ||
| 2 | Leading Biology | AMM04683G | GALT Antibody (clone 4C11) | 50 μg | Monoclonal Antibodies |
|
$545.00 | Add Ask | ||
| 3 | Leading Biology | AMM01402G | Vimentin (Mesenchymal Cell Marker) Antibody - With BSA and Azide | 50 ug | Monoclonal Antibodies |
|
$395.00 | Add Ask | ||
| 4 | Leading Biology | APR08280G | LTA4H / LTA4 Antibody (clone 9G8) | 50 μl | Monoclonal Antibodies |
|
$495.00 | Add Ask | ||
| 5 | Leading Biology | AMM00172G | CD1a / HTA1 (Mature Langerhans Cells Marker) Antibody - With BSA and Azide | 50 ug | Monoclonal Antibodies |
|
$395.00 | Add Ask | ||
| 6 | Leading Biology | AMM05750G | CEBPA Antibody | 100 μl | Monoclonal Antibodies |
|
$545.00 | Add Ask |
Leading Biology Inc.
2600 Hilltop DR, Building G, B Suite C138
Richmond, CA, 94806
Tel: 1-661-524(LBI)-0262
Email: info@leadingbiology.com
Complete this form and click send to ask us a question, request a quote or simply say hello.

You have 0 item in your cart

You have 0 item in your inquiry list