> Antigen, Antibodies, ELISA, Western Blot > Primary Antibody > Monoclonal Antibodies > KDM3A AntibodyBrand |
Leading Biology | Catalog Number |
APR08084G |
Product Type |
Monoclonal Antibodies | Field of Research |
|
Product Overview |
We constantly strive to ensure we provide our customers with the best antibodies. As a result of this work we offer this antibody in purified format.
We are in the process of updating our datasheets. If you have any questions regarding this update, please feel free to contact our technical support team.
This product is a high quality KDM3A antibody.
|
||
Molecular Weight |
147kDa
|
||
Cellular Localization |
Antigen Cellular Localization:
Cytoplasm. Nucleus. Note=Nuclear in round spermatids. When spermatids start to elongate, localizes to the cytoplasm where it forms distinct foci which disappear in mature spermatozoa (By similarity).
|
||
Host |
Mouse
|
||
Species Reactivity |
Human
|
||
Clone |
1E12
|
||
Isotype |
IgG1
|
||
Symbol |
JHDM2A, JMJD1, JMJD1A, KIAA0742, TSGA
|
||
GeneID |
|||
UniProt ID |
|||
Function |
Histone demethylase that specifically demethylates 'Lys- 9' of histone H3, thereby playing a central role in histone code. Preferentially demethylates mono- and dimethylated H3 'Lys-9' residue, with a preference for dimethylated residue, while it has weak or no activity on trimethylated H3 'Lys-9'. Demethylation of Lys residue generates formaldehyde and succinate. Involved in hormone-dependent transcriptional activation, by participating in recruitment to androgen-receptor target genes, resulting in H3 'Lys-9' demethylation and transcriptional activation. Involved in spermatogenesis by regulating expression of target genes such as PRM1 and TMP1 which are required for packaging and condensation of sperm chromatin. Involved in obesity resistance through regulation of metabolic genes such as PPARA and UCP1.
|
||
Form |
Liquid. In PBS containing 0.02% sodium azide. |
||
Storage & Stability |
Store at +4°C short term. For long-term storage, aliquot and store at -20°C or below. Stable for 12 months at -20°C. Avoid repeated freeze-thaw cycles.
|
||
Applications |
WB, IHC, E
|
||
Dilution |
WB~~1/500 - 1/2000
IHC~~1/200 - 1/1000
|
||
Synonyms |
Lysine-specific demethylase 3A, 1.14.11.-, JmjC domain-containing histone demethylation protein 2A, Jumonji domain-containing protein 1A, KDM3A, JHDM2A, JMJD1, JMJD1A, KIAA0742, TSGA
|
||
Images |
Figure 1: Western blot analysis using KDM3A mouse mAb against Hela (1) and HepG2 (2) cell lysate.
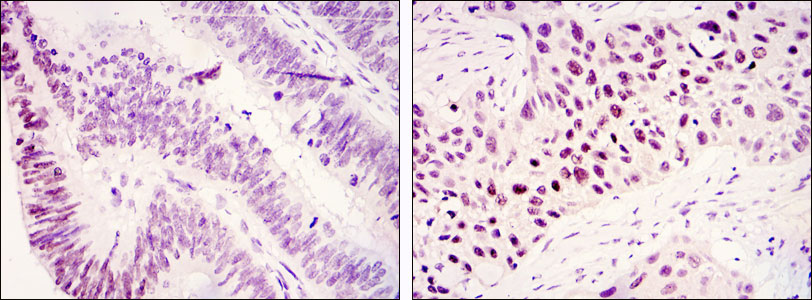
Figure 2: Immunohistochemical analysis of paraffin-embedded colonic cancer tissues (left) and lung cancer tissues (right) using KDM3A mouse mAb with DAB staining. |
||
Specification |
|||
Quantity |
|
||
| Select | Brand | Catalog No. | Product Name | Pack Size | Type | Field of Research | Specification | Quantity | Price(USD) | |
| 1 | Leading Biology | APG02467G | CCK4 / PTK7 Antibody (clone 4F9) | 50 μl | Monoclonal Antibodies |
|
$495.00 | Add Ask | ||
| 2 | Leading Biology | AMM04683G | GALT Antibody (clone 4C11) | 50 μg | Monoclonal Antibodies |
|
$545.00 | Add Ask | ||
| 3 | Leading Biology | AMM01402G | Vimentin (Mesenchymal Cell Marker) Antibody - With BSA and Azide | 50 ug | Monoclonal Antibodies |
|
$395.00 | Add Ask | ||
| 4 | Leading Biology | APR08280G | LTA4H / LTA4 Antibody (clone 9G8) | 50 μl | Monoclonal Antibodies |
|
$495.00 | Add Ask | ||
| 5 | Leading Biology | AMM00172G | CD1a / HTA1 (Mature Langerhans Cells Marker) Antibody - With BSA and Azide | 50 ug | Monoclonal Antibodies |
|
$395.00 | Add Ask | ||
| 6 | Leading Biology | AMM05750G | CEBPA Antibody | 100 μl | Monoclonal Antibodies |
|
$545.00 | Add Ask |
Leading Biology Inc.
2600 Hilltop DR, Building G, B Suite C138
Richmond, CA, 94806
Tel: 1-661-524(LBI)-0262
Email: info@leadingbiology.com
Complete this form and click send to ask us a question, request a quote or simply say hello.

You have 0 item in your cart

You have 0 item in your inquiry list