> Antigen, Antibodies, ELISA, Western Blot > Primary Antibody > Monoclonal Antibodies > Cytokeratin(Pan) AntibodyBrand |
Leading Biology | Catalog Number |
AMM05824G |
Product Type |
Monoclonal Antibodies | Field of Research |
|
Product Overview |
We constantly strive to ensure we provide our customers with the best antibodies. As a result of this work we offer this antibody in purified format.
We are in the process of updating our datasheets. If you have any questions regarding this update, please feel free to contact our technical support team.
This product is a high quality Cytokeratin(Pan) antibody.
|
||
Molecular Weight |
62378 Da
|
||
Host |
Mouse
|
||
Species Reactivity |
Human
|
||
Clone |
7H8
|
||
Isotype |
IgG1
|
||
GeneID |
|||
UniProt ID |
|||
Form |
Liquid. In PBS containing 0.02% sodium azide. |
||
Storage & Stability |
Store at +4°C short term. For long-term storage, aliquot and store at -20°C or below. Stable for 12 months at -20°C. Avoid repeated freeze-thaw cycles.
|
||
Applications |
IHC, ICC, E
|
||
Dilution |
IHC~~1/200 - 1/1000
IF~~1/200 - 1/1000
WB~~1:500~~2000
|
||
Synonyms |
Keratin, type II cytoskeletal 5, 58 kDa cytokeratin, Cytokeratin-5, CK-5, Keratin-5, K5, Type-II keratin Kb5, KRT5
|
||
Images |
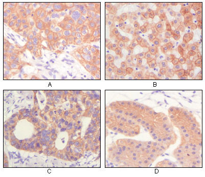
Figure 1: Immunohistochemical analysis of paraffin-embedded human lung squamous cell carcinoma (A),normal hepatocyte (B), colon adenocacinoma, normal stomach tissue (D), showing cytoplasmic and membrane localization using CK mouse mAb with DAB staining.
Figure 2: Confocal immunofluorescence analysis of methanol-fixed Eca-109 cells using Cytokeratin (Pan) mouse mAb (green), showing cytoplasmic localization. Blue: DRAQ5 fluorescent DNA dye.
Figure 1: Western blot analysis using ISL1 mouse mAb against full-length ISL1 (aa1-349)-hIgGFc transfected HEK293 cell lysate(1). |
||
Specification |
|||
Quantity |
|
||
| Select | Brand | Catalog No. | Product Name | Pack Size | Type | Field of Research | Specification | Quantity | Price(USD) | |
| 1 | Leading Biology | APG02467G | CCK4 / PTK7 Antibody (clone 4F9) | 50 μl | Monoclonal Antibodies |
|
$495.00 | Add Ask | ||
| 2 | Leading Biology | AMM04683G | GALT Antibody (clone 4C11) | 50 μg | Monoclonal Antibodies |
|
$545.00 | Add Ask | ||
| 3 | Leading Biology | AMM01402G | Vimentin (Mesenchymal Cell Marker) Antibody - With BSA and Azide | 50 ug | Monoclonal Antibodies |
|
$395.00 | Add Ask | ||
| 4 | Leading Biology | APR08280G | LTA4H / LTA4 Antibody (clone 9G8) | 50 μl | Monoclonal Antibodies |
|
$495.00 | Add Ask | ||
| 5 | Leading Biology | AMM00172G | CD1a / HTA1 (Mature Langerhans Cells Marker) Antibody - With BSA and Azide | 50 ug | Monoclonal Antibodies |
|
$395.00 | Add Ask | ||
| 6 | Leading Biology | AMM05750G | CEBPA Antibody | 100 μl | Monoclonal Antibodies |
|
$545.00 | Add Ask |
Leading Biology Inc.
2600 Hilltop DR, Building G, B Suite C138
Richmond, CA, 94806
Tel: 1-661-524(LBI)-0262
Email: info@leadingbiology.com
Complete this form and click send to ask us a question, request a quote or simply say hello.

You have 0 item in your cart

You have 0 item in your inquiry list