> Antigen, Antibodies, ELISA, Western Blot > Primary Antibody > Monoclonal Antibodies > SORL1 AntibodyBrand |
Leading Biology | Catalog Number |
APR13448G |
Product Type |
Monoclonal Antibodies | Field of Research |
|
Product Overview |
We constantly strive to ensure we provide our customers with the best antibodies. As a result of this work we offer this antibody in purified format.
We are in the process of updating our datasheets. If you have any questions regarding this update, please feel free to contact our technical support team.
This product is a high quality SORL1 antibody.
|
||
Molecular Weight |
248426 Da
|
||
Cellular Localization |
Antigen Cellular Localization:
Membrane; Single-pass type I membrane protein. Golgi apparatus. Endosome Secreted
|
||
Host |
Mouse
|
||
Species Reactivity |
Human
|
||
Clone |
3B6B11
|
||
Isotype |
IgG1
|
||
Symbol |
C11orf32
|
||
GeneID |
|||
UniProt ID |
|||
Function |
Likely to be a multifunctional endocytic receptor, that may be implicated in the uptake of lipoproteins and of proteases. Binds LDL, the major cholesterol-carrying lipoprotein of plasma, and transports it into cells by endocytosis. Binds the receptor- associated protein (RAP). Could play a role in cell-cell interaction. Involved in APP trafficking to and from the Golgi apparatus. It probably acts as a sorting receptor that protects APP from trafficking to late endosome and from processing into amyloid beta, thereby reducing the burden of amyloidogenic peptide formation. Involved in the regulation of smooth muscle cells migration, probably through PLAUR binding and decreased internalization.
|
||
Form |
Liquid. In PBS containing 0.02% sodium azide. |
||
Storage & Stability |
Store at +4°C short term. For long-term storage, aliquot and store at -20°C or below. Stable for 12 months at -20°C. Avoid repeated freeze-thaw cycles.
|
||
Applications |
WB, IHC, ICC, E
|
||
Dilution |
WB~~1/500 - 1/2000
IHC~~1/500 - 1/2000
IF~~1/200 - 1/1000
|
||
Synonyms |
Sortilin-related receptor, Low-density lipoprotein receptor relative with 11 ligand-binding repeats, LDLR relative with 11 ligand-binding repeats, LR11, SorLA-1, Sorting protein-related receptor containing LDLR class A repeats, SorLA, SORL1, C11orf32
|
||
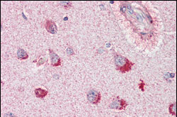
Images |
Figure 1: Western blot analysis using SORL1 mouse mAb against truncated SORL1 recombinant protein.
Figure 2: Immunohistochemical analysis of paraffin-embedded human cerebrum tissues using SORL1 mouse mAb with DAB staining.
Figure 3: Immunohistochemical analysis of paraffin-embedded human brain, cortex tissues using SORL1 mouse mAb. |
||
Specification |
|||
Quantity |
|
||
| Select | Brand | Catalog No. | Product Name | Pack Size | Type | Field of Research | Specification | Quantity | Price(USD) | |
| 1 | Leading Biology | APG02467G | CCK4 / PTK7 Antibody (clone 4F9) | 50 μl | Monoclonal Antibodies |
|
$495.00 | Add Ask | ||
| 2 | Leading Biology | AMM04683G | GALT Antibody (clone 4C11) | 50 μg | Monoclonal Antibodies |
|
$545.00 | Add Ask | ||
| 3 | Leading Biology | AMM01402G | Vimentin (Mesenchymal Cell Marker) Antibody - With BSA and Azide | 50 ug | Monoclonal Antibodies |
|
$395.00 | Add Ask | ||
| 4 | Leading Biology | APR08280G | LTA4H / LTA4 Antibody (clone 9G8) | 50 μl | Monoclonal Antibodies |
|
$495.00 | Add Ask | ||
| 5 | Leading Biology | AMM00172G | CD1a / HTA1 (Mature Langerhans Cells Marker) Antibody - With BSA and Azide | 50 ug | Monoclonal Antibodies |
|
$395.00 | Add Ask | ||
| 6 | Leading Biology | AMM05750G | CEBPA Antibody | 100 μl | Monoclonal Antibodies |
|
$545.00 | Add Ask |
Leading Biology Inc.
2600 Hilltop DR, Building G, B Suite C138
Richmond, CA, 94806
Tel: 1-661-524(LBI)-0262
Email: info@leadingbiology.com
Complete this form and click send to ask us a question, request a quote or simply say hello.

You have 0 item in your cart

You have 0 item in your inquiry list