> Antigen, Antibodies, ELISA, Western Blot > Primary Antibody > Monoclonal Antibodies > TCF7L2 Antibody (monoclonal) (M06)Brand |
Leading Biology | Catalog Number |
APR10387G |
Product Type |
Monoclonal Antibodies | Field of Research |
|
Product Overview |
We constantly strive to ensure we provide our customers with the best antibodies. As a result of this work we offer this antibody in purified format.
We are in the process of updating our datasheets. If you have any questions regarding this update, please feel free to contact our technical support team.
This product is a high quality TCF7L2 antibody (monoclonal) (M06).
|
||
Molecular Weight |
67919 Da
|
||
Host |
Mouse
|
||
Species Reactivity |
Human
|
||
Target |
TCF7L2 (NP_110383, 490 a.a. ~ 596 a.a) partial recombinant protein with GST tag. MW of the GST tag alone is 26 KDa.
|
||
Clone |
3A4
|
||
Isotype |
IgG1 Kappa
|
||
GeneID |
|||
UniProt ID |
|||
Summary |
This gene encodes a high mobility group (HMG) box-containing transcription factor that plays a key role in the Wnt signaling pathway. The protein has been implicated in blood glucose homeostasis. Genetic variants of this gene are associated with increased risk of type 2 diabetes.
|
||
Form |
Clear, colorless solution in phosphate buffered saline, pH 7.2 . |
||
Storage & Stability |
Store at +4°C short term. For long-term storage, aliquot and store at -20°C or below. Stable for 12 months at -20°C. Avoid repeated freeze-thaw cycles.
|
||
Applications |
WB, IHC, IF, E
|
||
Dilution |
WB~~1:500~1000
|
||
Synonyms |
Transcription factor 7-like 2, HMG box transcription factor 4, T-cell-specific transcription factor 4, T-cell factor 4, TCF-4, hTCF-4, TCF7L2, TCF4
|
||
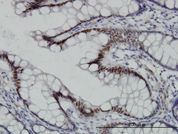
Images |
Antibody Reactive Against Recombinant Protein.Western Blot detection against Immunogen (37.51 KDa) .
TCF7L2 monoclonal antibody (M06), clone 3A4 Western Blot analysis of TCF7L2 expression in K-562 ( (Cat APR10387G )
Immunoperoxidase of monoclonal antibody to TCF7L2 on formalin-fixed paraffin-embedded human colon. [antibody concentration 3 ug/ml] |
||
Specification |
|||
Quantity |
|
||
| Select | Brand | Catalog No. | Product Name | Pack Size | Type | Field of Research | Specification | Quantity | Price(USD) | |
| 1 | Leading Biology | APG02467G | CCK4 / PTK7 Antibody (clone 4F9) | 50 μl | Monoclonal Antibodies |
|
$495.00 | Add Ask | ||
| 2 | Leading Biology | AMM04683G | GALT Antibody (clone 4C11) | 50 μg | Monoclonal Antibodies |
|
$545.00 | Add Ask | ||
| 3 | Leading Biology | AMM01402G | Vimentin (Mesenchymal Cell Marker) Antibody - With BSA and Azide | 50 ug | Monoclonal Antibodies |
|
$395.00 | Add Ask | ||
| 4 | Leading Biology | APR08280G | LTA4H / LTA4 Antibody (clone 9G8) | 50 μl | Monoclonal Antibodies |
|
$495.00 | Add Ask | ||
| 5 | Leading Biology | AMM00172G | CD1a / HTA1 (Mature Langerhans Cells Marker) Antibody - With BSA and Azide | 50 ug | Monoclonal Antibodies |
|
$395.00 | Add Ask | ||
| 6 | Leading Biology | AMM05750G | CEBPA Antibody | 100 μl | Monoclonal Antibodies |
|
$545.00 | Add Ask |
Leading Biology Inc.
2600 Hilltop DR, Building G, B Suite C138
Richmond, CA, 94806
Tel: 1-661-524(LBI)-0262
Email: info@leadingbiology.com
Complete this form and click send to ask us a question, request a quote or simply say hello.

You have 0 item in your cart

You have 0 item in your inquiry list