> Antigen, Antibodies, ELISA, Western Blot > Primary Antibody > Monoclonal Antibodies > SOCS3 Antibody (monoclonal) (M02)Brand |
Leading Biology | Catalog Number |
APR10172G |
Product Type |
Monoclonal Antibodies | Field of Research |
|
Product Overview |
We constantly strive to ensure we provide our customers with the best antibodies. As a result of this work we offer this antibody in purified format.
We are in the process of updating our datasheets. If you have any questions regarding this update, please feel free to contact our technical support team.
This product is a high quality SOCS3 antibody (monoclonal) (M02).
|
||
Molecular Weight |
24770 Da
|
||
Host |
mouse
|
||
Species Reactivity |
Human
|
||
Target |
SOCS3 (AAH60858, 1 a.a. ~ 225 a.a) full-length recombinant protein with GST tag. MW of the GST tag alone is 26 KDa.
|
||
Clone |
1E5
|
||
Isotype |
IgG2b Kappa
|
||
GeneID |
|||
UniProt ID |
|||
Summary |
This gene encodes a member of the STAT-induced STAT inhibitor (SSI), also known as suppressor of cytokine signaling (SOCS), family. SSI family members are cytokine-inducible negative regulators of cytokine signaling. The expression of this gene is induced by various cytokines, including IL6, IL10, and interferon (IFN)-gamma. The protein encoded by this gene can bind to JAK2 kinase, and inhibit the activity of JAK2 kinase. Studies of the mouse counterpart of this gene suggested the roles of this gene in the negative regulation of fetal liver hematopoiesis, and placental development.
|
||
Form |
Clear, colorless solution in phosphate buffered saline, pH 7.2 . |
||
Storage & Stability |
Store at +4°C short term. For long-term storage, aliquot and store at -20°C or below. Stable for 12 months at -20°C. Avoid repeated freeze-thaw cycles.
|
||
Applications |
IHC, IF, E
|
||
Synonyms |
Suppressor of cytokine signaling 3, SOCS-3, Cytokine-inducible SH2 protein 3, CIS-3, STAT-induced STAT inhibitor 3, SSI-3, SOCS3, CIS3, SSI3
|
||
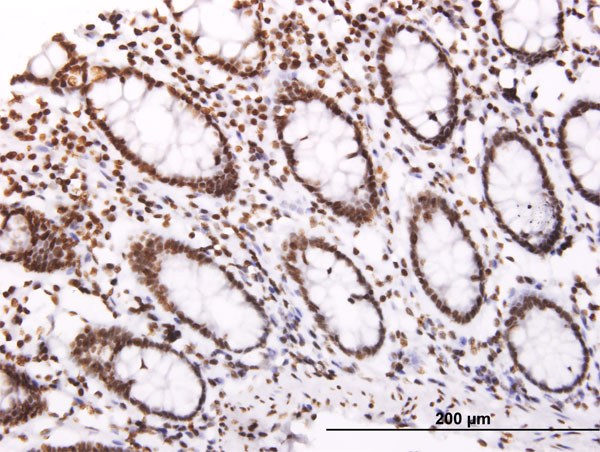
Images |
Immunoperoxidase of monoclonal antibody to SOCS3 on formalin-fixed paraffin-embedded human colon. [antibody concentration 1.5 ug/ml]
Immunofluorescence of monoclonal antibody to SOCS3 on HeLa cell . [antibody concentration 10 ug/ml]
Detection limit for recombinant GST tagged SOCS3 is approximately 3ng/ml as a capture antibody. |
||
Specification |
|||
Quantity |
|
||
| Select | Brand | Catalog No. | Product Name | Pack Size | Type | Field of Research | Specification | Quantity | Price(USD) | |
| 1 | Leading Biology | APG02467G | CCK4 / PTK7 Antibody (clone 4F9) | 50 μl | Monoclonal Antibodies |
|
$495.00 | Add Ask | ||
| 2 | Leading Biology | AMM04683G | GALT Antibody (clone 4C11) | 50 μg | Monoclonal Antibodies |
|
$545.00 | Add Ask | ||
| 3 | Leading Biology | AMM01402G | Vimentin (Mesenchymal Cell Marker) Antibody - With BSA and Azide | 50 ug | Monoclonal Antibodies |
|
$395.00 | Add Ask | ||
| 4 | Leading Biology | APR08280G | LTA4H / LTA4 Antibody (clone 9G8) | 50 μl | Monoclonal Antibodies |
|
$495.00 | Add Ask | ||
| 5 | Leading Biology | AMM00172G | CD1a / HTA1 (Mature Langerhans Cells Marker) Antibody - With BSA and Azide | 50 ug | Monoclonal Antibodies |
|
$395.00 | Add Ask | ||
| 6 | Leading Biology | AMM05750G | CEBPA Antibody | 100 μl | Monoclonal Antibodies |
|
$545.00 | Add Ask |
Leading Biology Inc.
2600 Hilltop DR, Building G, B Suite C138
Richmond, CA, 94806
Tel: 1-661-524(LBI)-0262
Email: info@leadingbiology.com
Complete this form and click send to ask us a question, request a quote or simply say hello.

You have 0 item in your cart

You have 0 item in your inquiry list