> Antigen, Antibodies, ELISA, Western Blot > Primary Antibody > Monoclonal Antibodies > KRT17 Antibody (monoclonal) (M01)Brand |
Leading Biology | Catalog Number |
APR17066G |
Product Type |
Monoclonal Antibodies | Field of Research |
|
Product Overview |
We constantly strive to ensure we provide our customers with the best antibodies. As a result of this work we offer this antibody in purified format.
We are in the process of updating our datasheets. If you have any questions regarding this update, please feel free to contact our technical support team.
This product is a high quality KRT17 antibody (monoclonal) (M01).
|
||
Molecular Weight |
48106 Da
|
||
Host |
mouse
|
||
Species Reactivity |
Human
|
||
Target |
KRT17 (AAH00159, 1 a.a. ~ 432 a.a) full-length recombinant protein with GST tag. MW of the GST tag alone is 26 KDa.
|
||
Clone |
2D4-1G9
|
||
Isotype |
IgG1 kappa
|
||
GeneID |
|||
UniProt ID |
|||
Summary |
This gene encodes the type I intermediate filament chain keratin 17, expressed in nail bed, hair follicle, sebaceous glands, and other epidermal appendages. Mutations in this gene lead to Jackson-Lawler type pachyonychia congenita and steatocystoma multiplex.
|
||
Form |
Clear, colorless solution in phosphate buffered saline, pH 7.2 . |
||
Storage & Stability |
Store at +4°C short term. For long-term storage, aliquot and store at -20°C or below. Stable for 12 months at -20°C. Avoid repeated freeze-thaw cycles.
|
||
Applications |
WB, IHC, IF, IP
|
||
Dilution |
WB~~1:500~1000
|
||
Synonyms |
Keratin, type I cytoskeletal 17, Cytokeratin-17, CK-17, Keratin-17, K17, KRT17
|
||
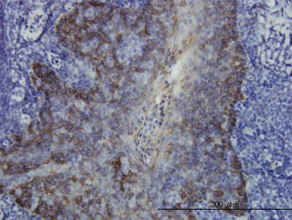
Images |
Antibody Reactive Against Recombinant Protein.Western Blot detection against Immunogen (73.26 KDa) .
KRT17 monoclonal antibody (M01), clone 2D4-1G9 Western Blot analysis of KRT17 expression in A-431 ( (Cat APR17066G )
Immunoperoxidase of monoclonal antibody to KRT17 on formalin-fixed paraffin-embedded human tonsil. [antibody concentration 3 ug/ml] |
||
Specification |
|||
Quantity |
|
||
| Select | Brand | Catalog No. | Product Name | Pack Size | Type | Field of Research | Specification | Quantity | Price(USD) | |
| 1 | Leading Biology | APG02467G | CCK4 / PTK7 Antibody (clone 4F9) | 50 μl | Monoclonal Antibodies |
|
$495.00 | Add Ask | ||
| 2 | Leading Biology | AMM04683G | GALT Antibody (clone 4C11) | 50 μg | Monoclonal Antibodies |
|
$545.00 | Add Ask | ||
| 3 | Leading Biology | AMM01402G | Vimentin (Mesenchymal Cell Marker) Antibody - With BSA and Azide | 50 ug | Monoclonal Antibodies |
|
$395.00 | Add Ask | ||
| 4 | Leading Biology | APR08280G | LTA4H / LTA4 Antibody (clone 9G8) | 50 μl | Monoclonal Antibodies |
|
$495.00 | Add Ask | ||
| 5 | Leading Biology | AMM00172G | CD1a / HTA1 (Mature Langerhans Cells Marker) Antibody - With BSA and Azide | 50 ug | Monoclonal Antibodies |
|
$395.00 | Add Ask | ||
| 6 | Leading Biology | AMM05750G | CEBPA Antibody | 100 μl | Monoclonal Antibodies |
|
$545.00 | Add Ask |
Leading Biology Inc.
2600 Hilltop DR, Building G, B Suite C138
Richmond, CA, 94806
Tel: 1-661-524(LBI)-0262
Email: info@leadingbiology.com
Complete this form and click send to ask us a question, request a quote or simply say hello.

You have 0 item in your cart

You have 0 item in your inquiry list