> Antigen, Antibodies, ELISA, Western Blot > Primary Antibody > Monoclonal Antibodies > C20orf31 Antibody (monoclonal) (M01)Brand |
Leading Biology | Catalog Number |
APR15202G |
Product Type |
Monoclonal Antibodies | Field of Research |
|
Product Overview |
We constantly strive to ensure we provide our customers with the best antibodies. As a result of this work we offer this antibody in purified format.
We are in the process of updating our datasheets. If you have any questions regarding this update, please feel free to contact our technical support team.
This product is a high quality C20orf31 antibody (monoclonal) (M01).
|
||
Molecular Weight |
64753 Da
|
||
Host |
mouse
|
||
Species Reactivity |
Human
|
||
Target |
C20orf31 (NP_060687, 479 a.a. ~ 578 a.a) partial recombinant protein with GST tag. MW of the GST tag alone is 26 KDa.
|
||
Clone |
2E5
|
||
Isotype |
IgG1 Kappa
|
||
GeneID |
|||
UniProt ID |
|||
Summary |
In the endoplasmic reticulum (ER), misfolded proteins are retrotranslocated to the cytosol and degraded by the proteasome in a process known as ER-associated degradation (ERAD). EDEM2 belongs to a family of proteins involved in ERAD of glycoproteins (Mast et al., 2005 [PubMed 15537790]).
|
||
Form |
Clear, colorless solution in phosphate buffered saline, pH 7.2 . |
||
Storage & Stability |
Store at +4°C short term. For long-term storage, aliquot and store at -20°C or below. Stable for 12 months at -20°C. Avoid repeated freeze-thaw cycles.
|
||
Applications |
WB, IHC, IP, E
|
||
Dilution |
WB~~1:500~1000
|
||
Synonyms |
ER degradation-enhancing alpha-mannosidase-like protein 2, EDEM2, C20orf31, C20orf49
|
||
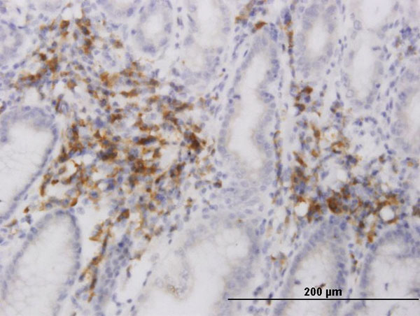
Images |
Antibody Reactive Against Recombinant Protein.Western Blot detection against Immunogen (36.74 KDa) .
Western Blot analysis of EDEM2 expression in transfected 293T cell line by C20orf31 monoclonal antibody (M01), clone 2E4. Lane 1: EDEM2 transfected lysate(64.8 KDa). Lane 2: Non-transfected lysate.
Immunoperoxidase of monoclonal antibody to C20orf31 on formalin-fixed paraffin-embedded human stomach. [antibody concentration 1.5 ug/ml] |
||
Specification |
|||
Quantity |
|
||
| Select | Brand | Catalog No. | Product Name | Pack Size | Type | Field of Research | Specification | Quantity | Price(USD) | |
| 1 | Leading Biology | APG02467G | CCK4 / PTK7 Antibody (clone 4F9) | 50 μl | Monoclonal Antibodies |
|
$495.00 | Add Ask | ||
| 2 | Leading Biology | AMM04683G | GALT Antibody (clone 4C11) | 50 μg | Monoclonal Antibodies |
|
$545.00 | Add Ask | ||
| 3 | Leading Biology | AMM01402G | Vimentin (Mesenchymal Cell Marker) Antibody - With BSA and Azide | 50 ug | Monoclonal Antibodies |
|
$395.00 | Add Ask | ||
| 4 | Leading Biology | APR08280G | LTA4H / LTA4 Antibody (clone 9G8) | 50 μl | Monoclonal Antibodies |
|
$495.00 | Add Ask | ||
| 5 | Leading Biology | AMM00172G | CD1a / HTA1 (Mature Langerhans Cells Marker) Antibody - With BSA and Azide | 50 ug | Monoclonal Antibodies |
|
$395.00 | Add Ask | ||
| 6 | Leading Biology | AMM05750G | CEBPA Antibody | 100 μl | Monoclonal Antibodies |
|
$545.00 | Add Ask |
Leading Biology Inc.
2600 Hilltop DR, Building G, B Suite C138
Richmond, CA, 94806
Tel: 1-661-524(LBI)-0262
Email: info@leadingbiology.com
Complete this form and click send to ask us a question, request a quote or simply say hello.

You have 0 item in your cart

You have 0 item in your inquiry list