> Antigen, Antibodies, ELISA, Western Blot > Primary Antibody > Monoclonal Antibodies > Cytokeratin, pan (Epithelial Marker) Antibody - Without BSA and AzideBrand |
Leading Biology | Catalog Number |
APR14624G |
Product Type |
Monoclonal Antibodies | Field of Research |
|
Product Overview |
We constantly strive to ensure we provide our customers with the best antibodies. As a result of this work we offer this antibody in purified format.
We are in the process of updating our datasheets. If you have any questions regarding this update, please feel free to contact our technical support team.
This product is a high quality Cytokeratin, pan (Epithelial Marker) antibody - Without BSA and Azide.
|
||
Molecular Weight |
67kDa (CK1); 64kDa (CK3); 59kDa (CK4); 58kDa (CK5); 56kDa (CK6); 52kDa (CK8); 56.5kDa (CK10); 50kDa (CK14); 50kDa (CK15); 48kDa (CK16); 40kDa (CK19)
|
||
Host |
Mouse
|
||
Species Reactivity |
Human, Rat
|
||
Clone |
KRTL/1077 + KRTH/1076
|
||
Isotype |
Mouse / IgG's
|
||
Symbol |
KRT1B
|
||
GeneID |
|||
UniProt ID |
|||
Summary |
Twenty human keratins are resolved with two-dimensional gel electrophoresis into acidic (pI 6.0) subfamilies. This antibody cocktail recognizes acidic (Type I or LMW) and basic (Type II or HMW) cytokeratins, which include CK1, CK3, CK4, CK5, CK6, CK8, CK10, CK14, CK15, CK16, and CK19. Many studies have shown the usefulness of keratins as markers in cancer research and tumor diagnosis. KRTL/KRTH is a broad spectrum anti pan-cytokeratin antibody cocktail, which differentiates epithelial tumors from non-epithelial tumors e.g. squamous vs. adenocarcinoma of the lung, liver carcinoma, breast cancer, and esophageal cancer. It has been used to characterize the source of various neoplasms and to study the distribution of cytokeratin containing cells in epithelia during normal development and during the development of epithelial neoplasms. This antibody stains cytokeratins present in normal and abnormal human tissues and has shown high sensitivity in the recognition of epithelial cells and carcinomas.
|
||
Form |
Liquid |
||
Storage & Stability |
Store at +4°C short term. For long-term storage, aliquot and store at -20°C or below. Stable for 12 months at -20°C. Avoid repeated freeze-thaw cycles.
|
||
Applications |
IHC-P, IF, FC
|
||
Synonyms |
Keratin, type II cytoskeletal 1b, Cytokeratin-1B, CK-1B, Keratin-77, K77, Type-II keratin Kb39, KRT77, KRT1B
|
||
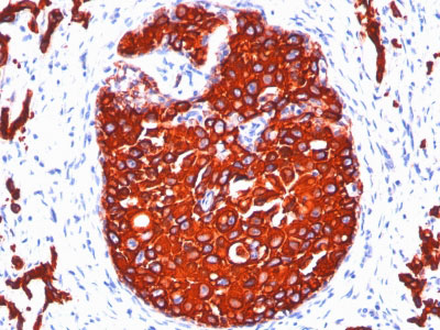
Images |
Formalin-fixed, paraffin-embedded human Breast Carcinoma stained with Cytokeratin, pan Monoclonal Antibody cocktail (KRTL/1077 + KRTH/1076).
Formalin paraffin Rat Stomach stained with Cytokeratin, pan Monoclonal Antibody cocktail (KRTL/1077 + KRTH/1076).
Formalin-fixed, paraffin-embedded Rat Oviduct with Cytokeratin, pan Monoclonal Antibody cocktail (KRTL/1077 + KRTH/1076). |
||
Specification |
|||
Quantity |
|
||
| Select | Brand | Catalog No. | Product Name | Pack Size | Type | Field of Research | Specification | Quantity | Price(USD) | |
| 1 | Leading Biology | APG02467G | CCK4 / PTK7 Antibody (clone 4F9) | 50 μl | Monoclonal Antibodies |
|
$495.00 | Add Ask | ||
| 2 | Leading Biology | AMM04683G | GALT Antibody (clone 4C11) | 50 μg | Monoclonal Antibodies |
|
$545.00 | Add Ask | ||
| 3 | Leading Biology | AMM01402G | Vimentin (Mesenchymal Cell Marker) Antibody - With BSA and Azide | 50 ug | Monoclonal Antibodies |
|
$395.00 | Add Ask | ||
| 4 | Leading Biology | APR08280G | LTA4H / LTA4 Antibody (clone 9G8) | 50 μl | Monoclonal Antibodies |
|
$495.00 | Add Ask | ||
| 5 | Leading Biology | AMM00172G | CD1a / HTA1 (Mature Langerhans Cells Marker) Antibody - With BSA and Azide | 50 ug | Monoclonal Antibodies |
|
$395.00 | Add Ask | ||
| 6 | Leading Biology | AMM05750G | CEBPA Antibody | 100 μl | Monoclonal Antibodies |
|
$545.00 | Add Ask |
Leading Biology Inc.
2600 Hilltop DR, Building G, B Suite C138
Richmond, CA, 94806
Tel: 1-661-524(LBI)-0262
Email: info@leadingbiology.com
Complete this form and click send to ask us a question, request a quote or simply say hello.

You have 0 item in your cart

You have 0 item in your inquiry list